• Tel: 858.663.9055
  • SeparatorEmail: info@nsjbio.com
  • Tel: 858.663.9055
  • Email: info@nsjbio.com
Home >> Antibodies >> Zebrafish Lmo2 Antibody / Hematopoietic Development Marker Antibody

Zebrafish Lmo2 Antibody / Hematopoietic Development Marker Antibody (RZ1235)

  Catalog No Formulation Size Price (USD)  
Image RZ1235 0.5mg/ml if reconstituted with 0.2ml sterile DI water 100 ug 539
Bulk quote request
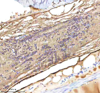
Zebrafish Lmo2 Antibody Spinal Cord Tissue IHC. Immunohistochemistry analysis of LIM domain only 2 Lmo2, also known as Rhombotin 2, in FFPE zebrafish spinal cord tissue from Danio rerio using Zebrafish Lmo2 antibody. Nuclear staining is observed in cell populations within the spinal cord, with signal present in vascular-associated and progenitor-like cells, consistent with its role as a hematopoietic development marker in endothelial and blood lineage specification. HRP-labeled secondary and DAB substrate were used for detection. HIER: boil tissue sections in pH8 EDTA for 20 min and allow to cool before testing.
Zebrafish Lmo2 Antibody Tissue WB. Western blot analysis of LIM domain only 2 Lmo2, also known as Rhombotin 2, in Danio rerio tissue lysates using Zebrafish Lmo2 antibody. Lane 1: zebrafish head lysate, Lane 2: whole female zebrafish lysate, Lane 3: whole male zebrafish lysate. A band is detected at approximately 18 kDa, consistent with the predicted molecular weight of Lmo2, supporting its role as a hematopoietic development marker involved in transcriptional regulation of blood and vascular lineages.
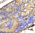
Zebrafish Lmo2 Antibody Kidney Tissue IHC. Immunohistochemistry analysis of LIM domain only 2 Lmo2, also known as Rhombotin 2, in FFPE zebrafish kidney tissue from Danio rerio using Zebrafish Lmo2 antibody. Nuclear staining is observed in scattered cell populations within the renal tissue, with signal present in vascular-associated and hematopoietic lineage cells, consistent with its role as a hematopoietic development marker in progenitor cell regulation and blood lineage specification. HRP-labeled secondary and DAB substrate were used for detection. HIER: boil tissue sections in pH8 EDTA for 20 min and allow to cool before testing.
Availability 2-3 weeks
Species Reactivity Zebrafish
Format Antigen affinity purified
Host Rabbit
Clonality Polyclonal (rabbit origin)
Isotype Rabbit Ig
Purity Antigen affinity chromatography
Buffer Lyophilized from 1X PBS with 2% Trehalose
UniProt Q9PTJ3
Localization Nucleus, Cytoplasm, Cell surface
Applications Western Blot : 0.5-1ug/ml
Immunohistochemistry (FFPE) : 2-5ug/ml
Limitations This Zebrafish Lmo2 Antibody / Hematopoietic Development Marker Antibody is available for research use only.
Review this product on BioCompare and get a $20 Amazon gift card

Related Products

Description

LIM domain only 2 (Lmo2) is a nuclear transcriptional regulator encoded by the lmo2 gene and widely known as Rhombotin 2, a critical factor in hematopoietic development and vascular formation in Danio rerio. Zebrafish Lmo2 antibody targets this protein, which is prominently expressed in hematopoietic progenitors, endothelial cells, and developing vascular structures during embryogenesis. Zebrafish, also known as Danio rerio, utilize Lmo2 as a central regulator of early blood lineage specification and angiogenic patterning, making it a key marker for studies of developmental hematopoiesis and vascular biology. Zebrafish Lmo2 antibody, also referred to as Rhombotin 2 antibody or LIM domain only protein 2 antibody, is widely used to identify progenitor and endothelial-associated cell populations in tissue-based studies.

Zebrafish Lmo2 antibody recognizes a member of the LIM-only family of transcriptional cofactors that lack DNA-binding domains but function through protein-protein interactions. Lmo2 forms multi-protein transcriptional complexes with factors such as Tal1, Gata2, and Ldb1 to regulate gene expression programs controlling blood cell differentiation and endothelial identity. Detection of Lmo2 in zebrafish spinal cord and kidney tissue highlights its association with vascular-associated cell populations and developing progenitor niches within organ systems, reinforcing its value as a tissue-level marker of hematopoietic and vascular development.

Functionally, Lmo2 is indispensable for hematopoietic stem cell emergence and vascular development. In zebrafish embryos, lmo2 expression is observed in the intermediate cell mass and developing vasculature, where it drives erythroid and endothelial lineage commitment. Its activity supports the formation of functional blood vessels and circulating blood cells, and disruption of lmo2 expression leads to severe defects in hematopoiesis and angiogenesis. These roles make Lmo2 a widely used marker in developmental biology, vascular research, and studies examining lineage specification.

At the cellular level, Lmo2 localizes to the nucleus, where it participates in transcriptional regulatory complexes that control lineage-specific gene expression. In tissue-based studies, detection of Lmo2 highlights endothelial and hematopoietic lineage cells, including vascular-associated populations within organs such as kidney and neural-associated structures such as spinal cord. This spatial expression pattern supports its use in immunohistochemical analysis for mapping developing vasculature and progenitor cell localization.

Structurally, Lmo2 contains two LIM zinc-binding domains that mediate protein-protein interactions necessary for transcriptional complex assembly. These domains enable precise regulation of gene expression by coordinating multiple transcription factors within a single complex. The zebrafish lmo2 gene maps to chromosome 12 and is tightly regulated during embryogenesis and tissue differentiation.

A Zebrafish Lmo2 antibody is suitable for research applications involving hematopoietic development, vascular biology, and transcriptional regulation in Danio rerio. Immunohistochemical detection in spinal cord and kidney tissue supports analysis of vascular structures and progenitor-associated cells, while western blot analysis enables confirmation of Lmo2 protein expression across experimental conditions. This antibody supports studies of blood formation, angiogenesis, and developmental signaling pathways and is supplied for research use by NSJ Bioreagents.

This Zebrafish antibody is part of a broader Zebrafish / Danio rerio antibody panel offered by NSJ Bioreagents.

Application Notes

Optimal dilution of the Zebrafish Lmo2 Antibody / Hematopoietic Development Marker Antibody should be determined by the researcher.

Immunogen

E. coli-derived Danre Lmo2 recombinant protein (amino acids M1-V159) was used as the immunogen for the Danre Lmo2 antibody.

Storage

After reconstitution, the Danre Lmo2 antibody can be stored for up to one month at 4oC. For long-term, aliquot and store at -20oC. Avoid repeated freezing and thawing.

Alternate Names

Lmo2 antibody, Rhombotin 2 antibody, LIM domain only protein 2 antibody, Rbtn2 antibody, LIM domain transcription regulator Lmo2 antibody

Cross
Bulk Quote Request Form
Name*:
Organization*:
Email*:
Phone Number*:
Catalog No.*:
Comments and Specifics(amount, formulation, etc.)*:
Validation code: Captchapackage Image


Can't read the image? click here to refresh.
    *required field

Your bulk quote request has been submitted successfully!

Please contact us if you have any questions.