• Tel: 858.663.9055
  • SeparatorEmail: info@nsjbio.com
  • Tel: 858.663.9055
  • Email: info@nsjbio.com
Home >> Antibodies >> Cytokeratin 19 Antibody

Cytokeratin 19 Antibody [clone 3D4] (RQ4521)

  Catalog No Formulation Size Price (USD)  
Image RQ4521 0.5mg/ml if reconstituted with 0.2ml sterile DI water 100 ug 449
Bulk quote request
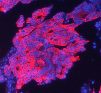
Immunofluorescent staining of human intestinal cancer with Cytokeratin 19 antibody at 1ug/ml. HIER: boil tissue sections in pH6, 10mM citrate buffer, for 10-20 min followed by cooling at RT for 20 min.
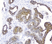
IHC testing of FFPE human intestinal cancer with Cytokeratin 19 antibody at 1ug/ml. HIER: boil tissue sections in pH6, 10mM citrate buffer, for 10-20 min followed by cooling at RT for 20 min.
Western blot testing of human 1) HeLa, 2) placenta, 3) SK-OV-3, 4) COLO-320 and 5) SW620 lysate with Cytokeratin 19 antibody at 0.5ug/ml. Predicted molecular weight ~43 kDa.
Availability 1-3 business days
Species Reactivity Human
Format Purified
Host Mouse
Clonality Monoclonal
Isotype Mouse IgG1
Clone Name 3D4
Purity Protein G affinity
Buffer Lyophilized from 1X PBS with 2% Trehalose and 0.025% sodium azide
UniProt P08727
Localization Cytoplasmic
Applications Western Blot : 0.5-1ug/ml
Immunohistochemistry (FFPE) : 1-2ug/ml
Limitations This Cytokeratin 19 antibody is available for research use only.
Review this product on BioCompare and get a $20 Amazon gift card

Related Products

Description

Keratin, type I cytoskeletal 19 is a protein that in humans is encoded by the KRT19 gene. The protein encoded by this gene is a member of the keratin family. It is specifically expressed in the periderm, the transiently superficial layer that envelops the developing epidermis. The type I cytokeratins are clustered in a region of chromosome 17q12-q21. Due to its high sensitivity, KRT19 is the most used marker for the RT-PCR-mediated detection of tumor cells disseminated in lymph nodes, peripheral blood, and bone marrow of breast cancer patients. Keratin 19 is often used together with keratin 8 and keratin 18 to differentiate cells of epithelial origin from hematopoietic cells in tests that enumerate circulating tumor cells in blood.

Application Notes

Optimal dilution of the Cytokeratin 19 antibody should be determined by the researcher.

Immunogen

Amino acids QLAHIQALISGIEAQLGDVRADSERQNQEYQRLMDIKSR were used as the immunogen for the Cytokeratin 19 antibody.

Storage

After reconstitution, the Cytokeratin 19 antibody can be stored for up to one month at 4oC. For long-term, aliquot and store at -20oC. Avoid repeated freezing and thawing.

Cross
Bulk Quote Request Form
Name*:
Organization*:
Email*:
Phone Number*:
Catalog No.*:
Comments and Specifics(amount, formulation, etc.)*:
Validation code: Captchapackage Image


Can't read the image? click here to refresh.
    *required field

Your bulk quote request has been submitted successfully!

Please contact us if you have any questions.