- Tel: 858.663.9055
- 
									 Email: info@nsjbio.com Email: info@nsjbio.com
- Tel: 858.663.9055
- Email: info@nsjbio.com
 Email: info@nsjbio.com
Email: info@nsjbio.com
								Related Products
| 
 | 
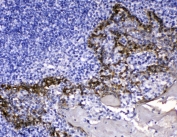
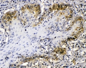
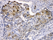
Cytokeratin 14, also known as cytokeratin-14 (CK-14) or keratin-14 (KRT14), is a member of the type I keratin family of intermediate filament proteins. In humans it is encoded by the KRT14 gene. This gene product, a type I keratin, is usually found as a heterotetramer with two keratin 5 molecules, a type II keratin. Mutations in the genes for these keratins are associated with epidermolysis bullosa simplex. At least one pseudogene has been identified at 17p12-p11.
Optimal dilution of the Cytokeratin 14 antibody should be determined by the researcher.
Amino acids 446-472 (RQIRTKVMDVHDGKVVSTHEQVLRTKN-human) were used as the immunogen for the Cytokeratin 14 antibody.
After reconstitution, the Cytokeratin 14 antibody can be stored for up to one month at 4oC. For long-term, aliquot and store at -20oC. Avoid repeated freezing and thawing.
 
Your bulk quote request has been submitted successfully!
Please contact us if you have any questions.