• Tel: 858.663.9055
  • SeparatorEmail: info@nsjbio.com
  • Tel: 858.663.9055
  • Email: info@nsjbio.com
Home >> Antibodies >> Cytochrome P450 2C9 Antibody / CYP2C9

Cytochrome P450 2C9 Antibody / CYP2C9 [clone CYP2C9/13122] (V5841)

  Catalog No Formulation Size Price (USD)  
Image V5841-100UG 0.2 mg/ml in 1X PBS with 0.1 mg/ml BSA (US sourced), 0.05% sodium azide 100 ug 559
Image
V5841-20UG 0.2 mg/ml in 1X PBS with 0.1 mg/ml BSA (US sourced), 0.05% sodium azide 20 ug 259
Image
V5841SAF-100UG 1 mg/ml in 1X PBS; BSA free, sodium azide free 100 ug 559
Bulk quote request
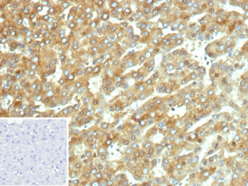
IHC staining of FFPE human hepatocellular carcinoma tissue with Cytochrome P450 2C9 antibody (clone CYP2C9/13122). Inset: PBS used in place of primary Ab (secondary Ab negative control). HIER: boil tissue sections in pH 9 10mM Tris with 1mM EDTA for 20 min and allow to cool before testing.
SDS-PAGE analysis of purified, BSA-free Cytochrome P450 2C9 antibody (clone CYP2C9/13122) as confirmation of integrity and purity.
Availability 1-3 business days
Species Reactivity Human
Format Purified
Host Mouse
Clonality Monoclonal (mouse origin)
Isotype Mouse IgG2b, kappa
Clone Name CYP2C9/13122
Purity Protein G affinity
UniProt P11712
Localization Cytoplasm
Applications Immunohistochemistry (FFPE) : 1-2ug/ml
Limitations This Cytochrome P450 2C9 antibody is available for research use only.
Review this product on BioCompare and get a $20 Amazon gift card

Related Products

Description

This gene encodes a member of the cytochrome P450 superfamily of enzymes. The cytochrome P450 proteins are monooxygenases which catalyze many reactions involved in drug metabolism and synthesis of cholesterol, steroids and other lipids. This protein localizes to the endoplasmic reticulum and its expression is induced by rifampin. The enzyme is known to metabolize many xenobiotics, including phenytoin, tolbutamide, ibuprofen and S-warfarin. Studies identifying individuals who are poor metabolizers of phenytoin and tolbutamide suggest that this gene is polymorphic. The gene is located within a cluster of cytochrome P450 genes on chromosome 10q24.

Application Notes

Optimal dilution of the Cytochrome P450 2C9 antibody should be determined by the researcher.

Immunogen

A portion of amino acids 1-200 from the human protein was used as the immunogen for the Cytochrome P450 2C9 antibody.

Storage

Aliquot the Cytochrome P450 2C9 antibody and store frozen at -20oC or colder. Avoid repeated freeze-thaw cycles.

Cross
Bulk Quote Request Form
Name*:
Organization*:
Email*:
Phone Number*:
Catalog No.*:
Comments and Specifics(amount, formulation, etc.)*:
Validation code: Captchapackage Image


Can't read the image? click here to refresh.
    *required field

Your bulk quote request has been submitted successfully!

Please contact us if you have any questions.