• Tel: 858.663.9055
  • SeparatorEmail: info@nsjbio.com
  • Tel: 858.663.9055
  • Email: info@nsjbio.com
Home >> Antibodies >> Cytochrome C Antibody

Cytochrome C Antibody (R30284)

  Catalog No Formulation Size Price (USD)  
Image R30284 0.5mg/ml if reconstituted with 0.2ml sterile DI water 100 ug 449
Bulk quote request
Immunofluorescent staining of FFPE human Caco-2 cells with Cytochrome C antibody (green) and DAPI nuclear stain (blue). HIER: steam section in pH6 citrate buffer for 20 min.
ICC testing of Cytochrome C antibody and FFPE A549 cells. HIER: steam section in pH6 citrate buffer for 20 min.
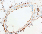
IHC-P: Cytochrome C antibody testing of FFPE rat lung tissue. HIER: steam section in pH6 citrate buffer for 20 min.
IHC-F testing of Cytochrome C antibody and rat brain tissue.
IHC staining of FFPE human skeletal muscle with Cytochrome C antibody. HIER: steam section in pH6 citrate buffer for 20 min.
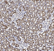
IHC staining of FFPE rat kidney with Cytochrome C antibody. HIER: steam section in pH6 citrate buffer for 20 min.
Western blot testing of 1) human HeLa, 2) human 293T, 3) human HepG2, 4) human HT-1080, 5) rat kidney, 6) rat skeletal muscle, 7) mouse kidney and 8) mouse skeletal muscle tissue lysate with Cytochrome C antibody. Predicted molecular weight ~11 kDa.
Flow cytometry testing of fixed and permeabilized human Caco-2 cells with Cytochrome C antibody at 1ug/million cells (blocked with goat sera); Red=cells alone, Green=isotype control, Blue= Cytochrome C antibody.
Availability 1-3 business days
Species Reactivity Human, Mouse, Rat
Format Antigen affinity purified
Host Rabbit
Clonality Polyclonal (rabbit origin)
Isotype Rabbit IgG
Purity Antigen affinity
Buffer Lyophilized from 1X PBS with 2.5% BSA and 0.025% sodium azide/thimerosal
UniProt P99999
Localization Cytoplasm
Applications Western Blot : 0.5-1ug/ml
Immunohistochemistry (FFPE) : 1-2ug/ml
Immunohistochemistry (Frozen) : 1-2ug/ml
Immunocytochemistry : 1-2ug/ml
Immunofluorescence : 5ug/ml
Flow Cytometry : 1-3ug/million cells
Limitations This Cytochrome C antibody is available for research use only.
Review this product on BioCompare and get a $20 Amazon gift card

Related Products

Description

Cytochrome C is located in the mitochondria of all aerobic cells and is involved in the electron transport system. Human cytochrome c has 104 amino acid residues and a molecular weight of 11,458 and is mapped to 7p15.2. Cytochrome c released from mitochondria has been proposed to be an essential component of an apoptotic pathway responsive to DNA damage and other forms of cell stress. And it has a role in different apoptotic signaling cascades.

Application Notes

The stated application concentrations are suggested starting points. Titration of the Cytochrome C antibody may be required due to differences in protocols and secondary/substrate sensitivity.

Immunogen

Amino acids 91-105 (ERADLIAYLKKATNE) were used as the immunogen for this Cytochrome C antibody (100% homologous in human, mouse and rat).

Storage

After reconstitution, the Cytochrome C antibody can be stored for up to one month at 4oC. For long-term, aliquot and store at -20oC. Avoid repeated freezing and thawing.

Cross
Bulk Quote Request Form
Name*:
Organization*:
Email*:
Phone Number*:
Catalog No.*:
Comments and Specifics(amount, formulation, etc.)*:
Validation code: Captchapackage Image


Can't read the image? click here to refresh.
    *required field

Your bulk quote request has been submitted successfully!

Please contact us if you have any questions.