• Tel: 858.663.9055
  • SeparatorEmail: info@nsjbio.com
  • Tel: 858.663.9055
  • Email: info@nsjbio.com
Home >> Antibodies >> Cytochrome C Antibody

Cytochrome C Antibody [clone 5F10] (RQ4499)

  Catalog No Formulation Size Price (USD)  
Image RQ4499 0.5mg/ml if reconstituted with 0.2ml sterile DI water 100 ug 449
Bulk quote request
Flow cytometry testing of human K562 cells with Cytochrome C antibody at 1ug/10^6 cells (blocked with goat sera); Red=cells alone, Green=isotype control, Blue= Cytochrome C antibody.
Flow cytometry testing of human A431 cells with Cytochrome C antibody at 1ug/10^6 cells (blocked with goat sera); Red=cells alone, Green=isotype control, Blue= Cytochrome C antibody.
Western blot testing of human 1) HeLa, 2) HepG2, 3) K562 and 4) Caco-2 lysate with Cytochrome C antibody at 0.5ug/ml. Expected molecular weight: 12-14 kDa.
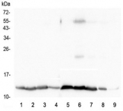
Western blot testing of 1) rat brain, 2) rat heart, 3) rat kidney, 4) rat testis, 5) mouse brain, 6) mouse heart, 7) mouse kidney, 8) mouse testis and 9) mouse Neuro-2a lysate with Cytochrome C antibody at 0.5ug/ml. Expected molecular weight: 12-14 kDa.
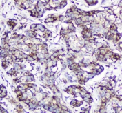
IHC testing of FFPE human breast cancer with Cytochrome C antibody at 2ug/ml. HIER: boil tissue sections in pH6, 10mM citrate buffer, for 10-20 min followed by cooling at RT for 20 min.
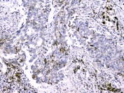
IHC testing of FFPE human intestinal cancer with Cytochrome C antibody at 2ug/ml. HIER: boil tissue sections in pH6, 10mM citrate buffer, for 10-20 min followed by cooling at RT for 20 min.
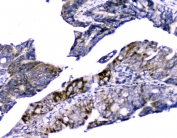
IHC testing of FFPE human lung cancer with Cytochrome C antibody at 2ug/ml. HIER: boil tissue sections in pH6, 10mM citrate buffer, for 10-20 min followed by cooling at RT for 20 min.
Immunofluorescent staining of FFPE human MCF7 cells with Cytochrome C antibody (green) and DAPI nuclear stain (blue). HIER: steam section in pH6 citrate buffer for 20 min.
Availability 1-3 business days
Species Reactivity Human, Mouse, Rat
Format Purified
Host Mouse
Clonality Monoclonal (mouse origin)
Isotype Mouse IgG1
Clone Name 5F10
Purity Protein G affinity
Buffer Lyophilized from 1X PBS with 2% Trehalose and 0.025% sodium azide
UniProt P99999
Localization Cytoplasm
Applications Western Blot : 0.5-1ug/ml
Immunohistochemistry (FFPE) : 1-2ug/ml
Flow Cytometry : 1-3ug/10^6 cells
Immunofluorescence : 2-4ug/ml
Limitations This Cytochrome C antibody is available for research use only.
Review this product on BioCompare and get a $20 Amazon gift card

Related Products

Description

CYCS is also known as CYC, HCS or THC4. This gene encodes a small heme protein that functions as a central component of the electron transport chain in mitochondria. The encoded protein associates with the inner membrane of the mitochondrion where it accepts electrons from cytochrome b and transfers them to the cytochrome oxidase complex. This protein is also involved in initiation of apoptosis. Mutations in this gene are associated with autosomal dominant nonsyndromic thrombocytopenia. Numerous processed pseudogenes of this gene are found throughout the human genome.

Application Notes

Optimal dilution of the Cytochrome C antibody should be determined by the researcher.

Immunogen

Human Cytochrome C recombinant protein (amino acids G2-E105) was used as the immunogen for the Cytochrome C antibody.

Storage

After reconstitution, the Cytochrome C antibody can be stored for up to one month at 4oC. For long-term, aliquot and store at -20oC. Avoid repeated freezing and thawing.

Cross
Bulk Quote Request Form
Name*:
Organization*:
Email*:
Phone Number*:
Catalog No.*:
Comments and Specifics(amount, formulation, etc.)*:
Validation code: Captchapackage Image


Can't read the image? click here to refresh.
    *required field

Your bulk quote request has been submitted successfully!

Please contact us if you have any questions.