• Tel: 858.663.9055
  • SeparatorEmail: info@nsjbio.com
  • Tel: 858.663.9055
  • Email: info@nsjbio.com
Home >> Antibodies >> Cyt19 Antibody

Cyt19 Antibody (R33106)

  Catalog No Formulation Size Price (USD)  
Image R33106-100UG 0.5 mg/ml in 1X TBS, pH7.3, with 0.5% BSA (US sourced) and 0.02% sodium azide 100 ug 475
Bulk quote request
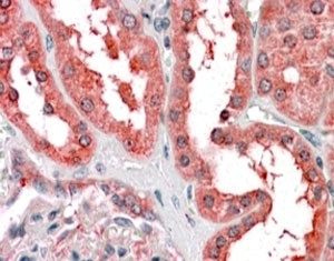
IHC testing of FFPE human kidney with Cyt19 antibody at 4ug/ml. HIER: steamed with pH6 citrate buffer, AP-staining.
Availability 1-3 business days
Species Reactivity Human
Format Antigen affinity purified
Host Goat
Clonality Polyclonal (goat origin)
Isotype Goat Ig
Purity Antigen affinity
Gene ID 57412
Applications Immunohistochemistry (FFPE) : 3-6ug/ml
ELISA (peptide) LOD : 1:32000
Limitations This Cyt19 antibody is available for research use only.
Review this product on BioCompare and get a $20 Amazon gift card

Related Products

  • Applications : WB, FACS, Direct ELISA
    Reactivity : Mouse

Description

Additional name(s) for this target protein: AS3MT; arsenic (+3 oxidation state) methyltransferase

Application Notes

Optimal dilution of the Cyt19 antibody should be determined by the researcher.

Immunogen

Amino acids AALRDAEIQKDVQ were used as the immunogen for this Cyt19 antibody.

Storage

Aliquot and store the Cyt19 antibody at -20oC.

Cross
Bulk Quote Request Form
Name*:
Organization*:
Email*:
Phone Number*:
Catalog No.*:
Comments and Specifics(amount, formulation, etc.)*:
Validation code: Captchapackage Image


Can't read the image? click here to refresh.
    *required field

Your bulk quote request has been submitted successfully!

Please contact us if you have any questions.