• Tel: 858.663.9055
  • SeparatorEmail: info@nsjbio.com
  • Tel: 858.663.9055
  • Email: info@nsjbio.com
Home >> Antibodies >> CYP8A1 Antibody / PTGIS

CYP8A1 Antibody / PTGIS (RQ6793)

  Catalog No Formulation Size Price (USD)  
Image RQ6793 0.5mg/ml if reconstituted with 0.2ml sterile DI water 100 ug 449
Bulk quote request
Flow cytometry testing of human U-251 cells with CYP8A1 antibody at 1ug/million cells (blocked with goat sera); Red=cells alone, Green=isotype control, Blue= CYP8A1 antibody.
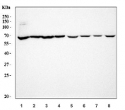
Western blot testing of 1) human 293T, 2) human SK-O-V3, 3) human HeLa, 4) human SiHa, 5) rat ovary, 6) rat heart, 7) mouse ovary and 8) mouse heart tissue lysate with CYP8A1 antibody. Expected molecular weight: ~57 kDa.
Availability 1-3 business days
Species Reactivity Human, Mouse, Rat
Format Antigen affinity purified
Host Rabbit
Clonality Polyclonal (rabbit origin)
Isotype Rabbit IgG
Purity Antigen affinity purified
Buffer Lyophilized from 1X PBS with 2% Trehalose
UniProt Q16647
Applications Western Blot : 1-2ug/ml
Flow Cytometry : 1-3ug/million cells
Direct ELISA : 0.1-0.5ug/ml
Limitations This CYP8A1 antibody is available for research use only.
Review this product on BioCompare and get a $20 Amazon gift card

Related Products

  • Applications : WB, ELISA (peptide)
    Reactivity : Human
    Pred. Reactivity : Pig

Description

Prostaglandin-I synthase (EC 5.3.99.4) also known as prostaglandin I2 (prostacyclin) synthase (PTGIS) or CYP8A1 is an enzyme involved in prostanoid biosynthesis that in humans is encoded by the PTGIS gene. This gene encodes a member of the cytochrome P450 superfamily of enzymes. The cytochrome P450 proteins are monooxygenases which catalyze many reactions involved in drug metabolism and synthesis of cholesterol, steroids and other lipids. However, this protein is considered a member of the cytochrome P450 superfamily on the basis of sequence similarity rather than functional similarity. This endoplasmic reticulum membrane protein catalyzes the conversion of prostglandin H2 to prostacyclin (prostaglandin I2), a potent vasodilator and inhibitor of platelet aggregation. An imbalance of prostacyclin and its physiological antagonist thromboxane A2 contribute to the development of myocardial infarction, stroke, and atherosclerosis.

Application Notes

Optimal dilution of the CYP8A1 antibody should be determined by the researcher.

Immunogen

Recombinant human protein (amino acids D119-D470) was used as the immunogen for the CYP8A1 antibody.

Storage

After reconstitution, the CYP8A1 antibody can be stored for up to one month at 4oC. For long-term, aliquot and store at -20oC. Avoid repeated freezing and thawing.

Cross
Bulk Quote Request Form
Name*:
Organization*:
Email*:
Phone Number*:
Catalog No.*:
Comments and Specifics(amount, formulation, etc.)*:
Validation code: Captchapackage Image


Can't read the image? click here to refresh.
    *required field

Your bulk quote request has been submitted successfully!

Please contact us if you have any questions.