• Tel: 858.663.9055
  • SeparatorEmail: info@nsjbio.com
  • Tel: 858.663.9055
  • Email: info@nsjbio.com
Home >> Antibodies >> CYP7B1 Antibody / 25-hydroxycholesterol 7-alpha-hydroxylase

CYP7B1 Antibody / 25-hydroxycholesterol 7-alpha-hydroxylase (FY12795)

  Catalog No Formulation Size Price (USD)  
Image FY12795 Adding 0.2 ml of distilled water will yield a concentration of 500 ug/ml 100 ug 449
Bulk quote request
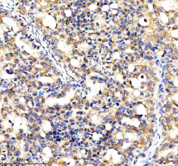
Immunohistochemical staining of CYP7B1 using anti-CYP7B1 antibody. CYP7B1 was detected in a paraffin-embedded section of human breast cancer tissue. Heat mediated antigen retrieval was performed in EDTA buffer (pH 8.0, epitope retrieval solution). The tissue section was blocked with 10% goat serum. The tissue section was then incubated with 2 ug/ml rabbit anti-CYP7B1 antibody overnight at 4oC. Peroxidase Conjugated Goat Anti-rabbit IgG was used as secondary antibody and incubated for 30 minutes at 37oC. The tissue section was developed using an HRP secondary and DAB substrate.
Western blot analysis of CYP7B1 using anti-CYP7B1 antibody. Lane 1: human SH-SY5Y whole cell lysates, Lane 2: human THP-1 whole cell lysates, Lane 3: human PC-3 whole cell lysates, Lane 4: human HepG2 whole cell lysates, Lane 5: rat liver tissue lysates, Lane 6: mouse liver tissue lysates. After electrophoresis, proteins were transferred to a nitrocellulose membrane at 150 mA for 50-90 minutes. Blocked the membrane with 5% non-fat milk/TBS for 1.5 hour at RT. The membrane was incubated with rabbit anti-CYP7B1 antibody at 0.5 ug/ml overnight at 4oC, then washed with TBS-0.1%Tween 3 times with 5 minutes each and probed with a goat anti-rabbit IgG-HRP secondary antibody at a dilution of 1:5000 for 1.5 hour at RT. The signal was developed using enhanced chemiluminescent. A specific band was detected for CYP7B1 at approximately 58 kDa. The expected molecular weight of CYP7B1 is ~58 kDa.
Flow Cytometry analysis of THP-1 cells using anti-CYP7B1 antibody. Overlay histogram showing THP-1 cells stained with (Blue line). To facilitate intracellular staining, cells were fixed with 4% paraformaldehyde and permeabilized with permeabilization buffer. The cells were blocked with 10% normal goat serum. And then incubated with rabbit anti-CYP7B1 antibody (1 ug/million cells) for 30 min at 20oC. DyLight 488 conjugated goat anti-rabbit IgG (5-10 ug/million cells) was used as secondary antibody for 30 minutes at 20oC. Isotype control antibody (Green line) was rabbit IgG (1 ug/million cells) used under the same conditions. Unlabelled sample without incubation with primary antibody and secondary antibody (Red line) was used as a blank control.
Availability 1-2 days
Species Reactivity Human, Mouse, Rat
Format Lyophilized
Host Rabbit
Clonality Polyclonal (rabbit origin)
Isotype Rabbit IgG
Purity Immunogen affinity purified
Buffer Each vial contains 4 mg Trehalose, 0.9 mg NaCl, 0.2 mg Na2HPO4.
UniProt O75881
Localization Cytoplasm (ER)
Applications Western Blot : 0.25-0.5ug/ml
Immunohistochemistry : 2-5ug/ml
Flow Cytometry : 1-3ug/million cells
ELISA : 0.1-0.5ug/ml
Limitations This CYP7B1 antibody is available for research use only.
Review this product on BioCompare and get a $20 Amazon gift card

Related Products

  • Applications : IHC, ELISA (peptide)
    Reactivity : Human
  • Applications : WB, IF, IHC-P, FACS
    Reactivity : Human

Description

CYP7B1 antibody detects 25-hydroxycholesterol 7-alpha-hydroxylase, a cytochrome P450 enzyme that catalyzes the hydroxylation of oxysterols and steroids, contributing to bile acid synthesis and cholesterol homeostasis. Encoded by the CYP7B1 gene on chromosome 8q12.3, this microsomal monooxygenase regulates the alternative bile acid synthesis pathway by converting oxysterols such as 25-hydroxycholesterol and dehydroepiandrosterone (DHEA) into hydroxylated metabolites. CYP7B1 plays a key role in maintaining sterol balance and modulating neurosteroid and androgen metabolism.

Localized to the endoplasmic reticulum membrane, CYP7B1 uses NADPH-cytochrome P450 reductase as an electron donor for hydroxylation reactions. It is highly expressed in liver, brain, and steroidogenic tissues, where it contributes to both cholesterol catabolism and neuroactive steroid metabolism. By regulating oxysterol levels, CYP7B1 influences liver lipid homeostasis and protects against cholesterol accumulation and neurotoxicity.

The CYP7B1 antibody is widely used in metabolism, neurobiology, and endocrinology research to study bile acid biosynthesis, cholesterol turnover, and steroid regulation. Western blot analysis detects a 55 kilodalton band corresponding to CYP7B1, while immunofluorescence reveals endoplasmic reticulum localization in hepatocytes and neurons. This antibody provides a means to assess CYP7B1 expression under physiological and pathological conditions, including liver disease and metabolic disorders.

Mutations in CYP7B1 cause hereditary spastic paraplegia type 5A and neonatal cholestasis, demonstrating the enzyme's essential role in cholesterol detoxification and neuronal maintenance. Altered CYP7B1 expression has also been linked to atherosclerosis, Alzheimer's disease, and hormonal dysregulation. The CYP7B1 antibody supports research into cholesterol metabolism, neurosteroid synthesis, and disease pathophysiology. NSJ Bioreagents provides this antibody validated for its applications, ensuring reliable detection in metabolic and neurological studies.

Application Notes

Optimal dilution of the CYP7B1 antibody should be determined by the researcher.

Immunogen

E.coli-derived human CYP7B1 recombinant protein (Position: Q127-D391) was used as the immunogen for the CYP7B1 antibody.

Storage

After reconstitution, the CYP7B1 antibody can be stored for up to one month at 4oC. For long-term, aliquot and store at -20oC. Avoid repeated freezing and thawing.

Cross
Bulk Quote Request Form
Name*:
Organization*:
Email*:
Phone Number*:
Catalog No.*:
Comments and Specifics(amount, formulation, etc.)*:
Validation code: Captchapackage Image


Can't read the image? click here to refresh.
    *required field

Your bulk quote request has been submitted successfully!

Please contact us if you have any questions.