• Tel: 858.663.9055
  • SeparatorEmail: info@nsjbio.com
  • Tel: 858.663.9055
  • Email: info@nsjbio.com
Home >> Antibodies >> CYP3A4 Antibody / Cytochrome P450 3A4

CYP3A4 Antibody / Cytochrome P450 3A4 (R32523)

  Catalog No Formulation Size Price (USD)  
Image R32523 0.5mg/ml if reconstituted with 0.2ml sterile DI water 100 ug 449
Bulk quote request
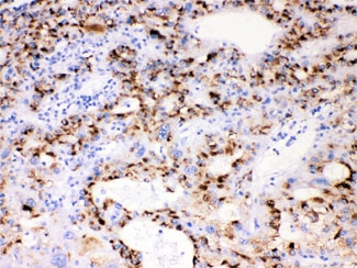
IHC testing of FFPE human liver cancer tissue with CYP3A4 antibody at 1ug/ml. HIER: steam section in pH6 citrate buffer for 20 min.
Western blot testing of human HeLa cell lysate with CYP3A4 antibody at 0.5ug/ml. Expected molecular weight: 50-57 kDa.
Availability 1-3 business days
Species Reactivity Human
Format Antigen affinity purified
Host Rabbit
Clonality Polyclonal (rabbit origin)
Isotype Rabbit IgG
Purity Antigen affinity
Buffer Lyophilized from 1X PBS with 2.5% BSA and 0.025% sodium azide
UniProt P08684
Localization Cytoplasmic
Applications Western Blot : 0.5-1ug/ml
IHC (FFPE) : 1-2ug/ml
Limitations This CYP3A4 antibody is available for research use only.
Review this product on BioCompare and get a $20 Amazon gift card

Related Products

Description

Cytochrome P450 3A4 (abbreviated CYP3A4), is an important enzyme in the body, mainly found in the liver and in the intestine. This gene encodes a member of the cytochrome P450 superfamily of enzymes. The cytochrome P450 proteins are monooxygenases that catalyze many reactions involved in drug metabolism and synthesis of cholesterol, steroids and other lipids. This protein localizes to the endoplasmic reticulum and its expression is induced by glucocorticoids and some pharmacological agents. This enzyme is involved in the metabolism of approximately half the drugs in use today, including acetaminophen, codeine, cyclosporin A, diazepam and erythromycin. The enzyme also metabolizes some steroids and carcinogens. This gene is part of a cluster of cytochrome P450 genes on chromosome 7q21.1. Previously another CYP3A gene, CYP3A3, was thought to exist; however, it is now thought that this sequence represents a transcript variant of CYP3A4. Alternatively spliced transcript variants encoding different isoforms have been identified.

Application Notes

Differences in protocols and secondary/substrate sensitivity may require the CYP3A4 antibody to be titrated for optimal performance.

Immunogen

Amino acids 237-277 (NICVFPREVTNFLRKSVKRMKESRLEDTQKHRVDFLQLMID) from the human protein were used as the immunogen for the CYP3A4 antibody.

Storage

After reconstitution, the CYP3A4 antibody can be stored for up to one month at 4oC. For long-term, aliquot and store at -20oC. Avoid repeated freezing and thawing.

Cross
Bulk Quote Request Form
Name*:
Organization*:
Email*:
Phone Number*:
Catalog No.*:
Comments and Specifics(amount, formulation, etc.)*:
Validation code: Captchapackage Image


Can't read the image? click here to refresh.
    *required field

Your bulk quote request has been submitted successfully!

Please contact us if you have any questions.