• Tel: 858.663.9055
  • SeparatorEmail: info@nsjbio.com
  • Tel: 858.663.9055
  • Email: info@nsjbio.com
Home >> Antibodies >> CYP3A4 Antibody / Cytochrome P450 3A4

CYP3A4 Antibody / Cytochrome P450 3A4 (F55084)

  Catalog No Formulation Size Price (USD)  
Image F55084-0.2ML In 1X PBS, pH 7.4, with 0.09% sodium azide 0.2 ml 439
Image
F55084-0.05ML In 1X PBS, pH 7.4, with 0.09% sodium azide 0.05 ml 205
Bulk quote request
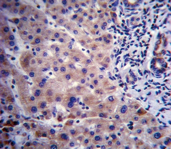
IHC staining of FFPE human liver tissue with CYP3A4 antibody. HIER: steam section in pH6 citrate buffer for 20 min and allow to cool prior to staining.
Western blot testing of human 1) HepG2, 2) A549, 3) HT-29 and 4) OVCAR3 cell lysate with CYP3A4 antibody. Expected molecular weight: 50-57 kDa.
Flow cytometry testing of fixed and permeabilized human CEM cells with CYP3A4 antibody; Blue=isotype control, Green= CYP3A4 antibody.
Availability 1-3 business days
Species Reactivity Human
Format Purified
Host Rabbit
Clonality Polyclonal (rabbit origin)
Isotype Rabbit Ig
Purity Antigen affinity purified
UniProt P08684
Applications Western Blot : 1:500-1:1000
Flow Cytometry : 1:10-1:50 per million cells in 0.1ml
Immunohistochemistry (FFPE) : 1:10-1:50
Limitations This CYP3A4 antibody is available for research use only.
Review this product on BioCompare and get a $20 Amazon gift card

Related Products

Description

CYP3A4 is a member of the cytochrome P450 enzyme family, which plays a role in the metabolism of various drugs and xenobiotics in the human body. CYP3A4 is responsible for metabolizing over half of all clinically prescribed drugs, making it one of the most important drug-metabolizing enzymes in the body.

Application Notes

The stated application concentrations are suggested starting points. Titration of the CYP3A4 antibody may be required due to differences in protocols and secondary/substrate sensitivity.

Immunogen

A portion of amino acids 228-255 from the human protein was used as the immunogen for the CYP3A4 antibody.

Storage

Aliquot the CYP3A4 antibody and store frozen at -20oC or colder. Avoid repeated freeze-thaw cycles.

Cross
Bulk Quote Request Form
Name*:
Organization*:
Email*:
Phone Number*:
Catalog No.*:
Comments and Specifics(amount, formulation, etc.)*:
Validation code: Captchapackage Image


Can't read the image? click here to refresh.
    *required field

Your bulk quote request has been submitted successfully!

Please contact us if you have any questions.