• Tel: 858.663.9055
  • SeparatorEmail: info@nsjbio.com
  • Tel: 858.663.9055
  • Email: info@nsjbio.com
Home >> Antibodies >> CYP2W1 Antibody / Cytochrome P450 2W1

CYP2W1 Antibody / Cytochrome P450 2W1 (FY13252)

  Catalog No Formulation Size Price (USD)  
Image FY13252 Adding 0.2 ml of distilled water will yield a concentration of 500 ug/ml 100 ug 449
Bulk quote request
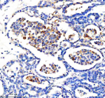
Immunohistochemical staining of CYP2W1 using anti-CYP2W1 antibody. CYP2W1 was detected in a paraffin-embedded section of human breast cancer tissue. Heat mediated antigen retrieval was performed in EDTA buffer (pH 8.0, epitope retrieval solution). The tissue section was blocked with 10% goat serum. The tissue section was then incubated with 2 ug/ml rabbit anti-CYP2W1 antibody overnight at 4oC. Peroxidase Conjugated Goat Anti-rabbit IgG was used as secondary antibody and incubated for 30 minutes at 37oC. The tissue section was developed using an HRP secondary and DAB substrate.
Western blot analysis of CYP2W1 using anti-CYP2W1 antibody. Lane 1: human 293T whole cell lysates, Lane 2: human HepG2 whole cell lysates, Lane 3: human Caco-2 whole cell lysates. After electrophoresis, proteins were transferred to a nitrocellulose membrane at 150 mA for 50-90 minutes. Blocked the membrane with 5% non-fat milk/TBS for 1.5 hour at RT. The membrane was incubated with rabbit anti-CYP2W1 antibody at 0.5 ug/ml overnight at 4oC, then washed with TBS-0.1%Tween 3 times with 5 minutes each and probed with a goat anti-rabbit IgG-HRP secondary antibody at a dilution of 1:5000 for 1.5 hour at RT. The signal was developed using enhanced chemiluminescent. A specific band was detected for CYP2W1 at approximately 54 kDa. The expected molecular weight of CYP2W1 is ~54 kDa.
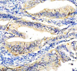
Immunohistochemical staining of CYP2W1 using anti-CYP2W1 antibody. CYP2W1 was detected in a paraffin-embedded section of human colon cancer tissue. Heat mediated antigen retrieval was performed in EDTA buffer (pH 8.0, epitope retrieval solution). The tissue section was blocked with 10% goat serum. The tissue section was then incubated with 2 ug/ml rabbit anti-CYP2W1 antibody overnight at 4oC. Peroxidase Conjugated Goat Anti-rabbit IgG was used as secondary antibody and incubated for 30 minutes at 37oC. The tissue section was developed using an HRP secondary and DAB substrate.
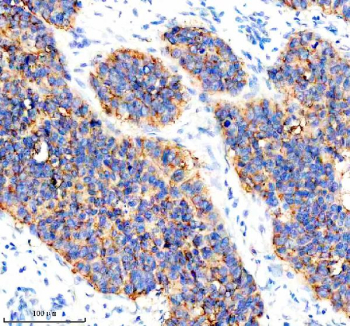
Immunohistochemical staining of CYP2W1 using anti-CYP2W1 antibody. CYP2W1 was detected in a paraffin-embedded section of human ovarian cancer tissue. Heat mediated antigen retrieval was performed in EDTA buffer (pH 8.0, epitope retrieval solution). The tissue section was blocked with 10% goat serum. The tissue section was then incubated with 2 ug/ml rabbit anti-CYP2W1 antibody overnight at 4oC. Peroxidase Conjugated Goat Anti-rabbit IgG was used as secondary antibody and incubated for 30 minutes at 37oC. The tissue section was developed using an HRP secondary and DAB substrate.
Availability 1-2 days
Species Reactivity Human
Format Lyophilized
Host Rabbit
Clonality Polyclonal (rabbit origin)
Isotype Rabbit IgG
Purity Immunogen affinity purified
Buffer Each vial contains 4 mg Trehalose, 0.9 mg NaCl, 0.2 mg Na2HPO4.
UniProt Q8TAV3
Localization ER, cell membrane
Applications Western Blot : 0.25-0.5ug/ml
Immunohistochemistry : 2-5ug/ml
Limitations This CYP2W1 antibody is available for research use only.
Review this product on BioCompare and get a $20 Amazon gift card

Description

CYP2W1 antibody detects Cytochrome P450 2W1, a monooxygenase enzyme involved in xenobiotic metabolism and drug activation. The UniProt recommended name is Cytochrome P450 2W1 (CYP2W1). This enzyme belongs to the cytochrome P450 superfamily, a large group of heme-thiolate proteins that catalyze oxidative reactions essential for detoxification and bioactivation of endogenous and exogenous compounds.

Functionally, CYP2W1 antibody identifies a 490-amino-acid membrane-bound enzyme localized to the endoplasmic reticulum. CYP2W1 utilizes NADPH-cytochrome P450 reductase as an electron donor to catalyze monooxygenation of various substrates including fatty acids, indole derivatives, and xenobiotics. Although minimally expressed in adult tissues, CYP2W1 is highly active in embryonic development and selectively re-expressed in certain cancers, where it contributes to prodrug metabolism and tumor-specific bioactivation.

The CYP2W1 gene is located on chromosome 7q22.3 and is expressed predominantly in colon, adrenal gland, and fetal tissues. Expression is regulated by epigenetic mechanisms such as DNA methylation and histone modification, restricting CYP2W1 activity to specific developmental and pathological contexts.

Pathologically, CYP2W1 has gained attention as a tumor-specific biomarker and therapeutic target due to its selective expression in colon, adrenal, and lung cancers. It catalyzes activation of several anticancer prodrugs, providing potential for targeted therapy. Conversely, its aberrant activity may contribute to tumor progression by metabolizing endogenous substrates into bioactive lipids. Research using CYP2W1 antibody supports studies in pharmacology, oncology, and drug metabolism.

CYP2W1 antibody is validated for western blotting, immunohistochemistry, and ELISA to detect cytochrome P450 enzymes. NSJ Bioreagents provides CYP2W1 antibody reagents optimized for research in xenobiotic metabolism, cancer biology, and enzyme activation mechanisms.

Structurally, Cytochrome P450 2W1 contains a conserved P450 fold with heme-binding motifs (FGxGPR and Cys-pocket) and a hydrophobic N-terminal region for membrane anchoring. The active site accommodates small aromatic and aliphatic compounds, enabling broad substrate specificity. This antibody allows investigation of CYP2W1's function in tissue-specific metabolism and its emerging role in cancer therapeutics.

Application Notes

Optimal dilution of the CYP2W1 antibody should be determined by the researcher.

Immunogen

A synthetic peptide corresponding to a sequence at the N-terminus of human CYP2W1 was used as the immunogen for the CYP2W1 antibody.

Storage

After reconstitution, the CYP2W1 antibody can be stored for up to one month at 4oC. For long-term, aliquot and store at -20oC. Avoid repeated freezing and thawing.

Cross
Bulk Quote Request Form
Name*:
Organization*:
Email*:
Phone Number*:
Catalog No.*:
Comments and Specifics(amount, formulation, etc.)*:
Validation code: Captchapackage Image


Can't read the image? click here to refresh.
    *required field

Your bulk quote request has been submitted successfully!

Please contact us if you have any questions.