• Tel: 858.663.9055
  • SeparatorEmail: info@nsjbio.com
  • Tel: 858.663.9055
  • Email: info@nsjbio.com
Home >> Antibodies >> CYP2D6 Antibody

CYP2D6 Antibody (R32678)

  Catalog No Formulation Size Price (USD)  
Image R32678 0.5mg/ml if reconstituted with 0.2ml sterile DI water 100 ug 449
Bulk quote request
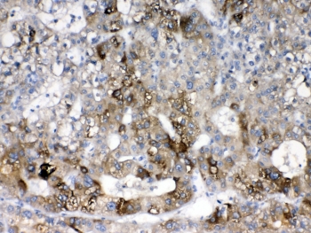
IHC testing of FFPE human liver cancer tissue with CYP2D6 antibody at 1ug/ml. Required HIER: steam section in pH6 citrate buffer for 20 min and allow to cool prior to testing.
IHC testing of FFPE mouse liver tissue with CYP2D6 antibody at 1ug/ml. Required HIER: steam section in pH6 citrate buffer for 20 min and allow to cool prior to testing.
IHC testing of FFPE mouse intestine tissue with CYP2D6 antibody at 1ug/ml. Required HIER: steam section in pH6 citrate buffer for 20 min and allow to cool prior to testing.
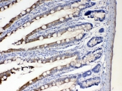
IHC testing of FFPE rat intestine tissue with CYP2D6 antibody at 1ug/ml. Required HIER: steam section in pH6 citrate buffer for 20 min and allow to cool prior to testing.
Western blot testing of 1) rat liver and 2) mouse liver tissue with CYP2D6 antibody at 0.5ug/ml. Predicted molecular weight ~56 kDa.
Availability 1-3 business days
Species Reactivity Human, Mouse, Rat
Format Antigen affinity purified
Host Rabbit
Clonality Polyclonal (rabbit origin)
Isotype Rabbit IgG
Purity Antigen affinity
Buffer Lyophilized from 1X PBS with 2.5% BSA, 0.025% sodium azide
UniProt P10635
Localization Cytoplasmic
Applications Western Blot : 0.5-1ug/ml
IHC (FFPE) : 1-2ug/ml
Limitations This CYP2D6 antibody is available for research use only.
Review this product on BioCompare and get a $20 Amazon gift card

Related Products

  • Applications : WB
    Reactivity : Human
    Rab Mono Image
  • Applications : WB, ELISA (peptide)
    Reactivity : Human

Description

Cytochrome P450 2D6 (CYP2D6) is one of the most important enzymes involved in the metabolism of xenobiotics in the body. It is a member of Cytochrome P450, family 2, subfamily D, polypeptide 6. This gene is mapped to chromosome 22q13.1. It has got 497 amino acid proteins which shares 73% sequence identity with the rat protein. CYP2D6 is highly expressed in human liver and it is the major isozyme involved in the formation of N-hydroxyprocainamide, a metabolite potentially involved in the drug-induced lupus syndrome observed with procainamide.

Application Notes

Optimal dilution of the CYP2D6 antibody should be determined by the researcher.

Immunogen

Amino acids 315-347 (AWGLLLMILHPDVQRRVQQEIDDVIGQVRRPEM) from the human protein were used as the immunogen for the CYP2D6 antibody.

Storage

After reconstitution, the CYP2D6 antibody can be stored for up to one month at 4oC. For long-term, aliquot and store at -20oC. Avoid repeated freezing and thawing.

Cross
Bulk Quote Request Form
Name*:
Organization*:
Email*:
Phone Number*:
Catalog No.*:
Comments and Specifics(amount, formulation, etc.)*:
Validation code: Captchapackage Image


Can't read the image? click here to refresh.
    *required field

Your bulk quote request has been submitted successfully!

Please contact us if you have any questions.