• Tel: 858.663.9055
  • SeparatorEmail: info@nsjbio.com
  • Tel: 858.663.9055
  • Email: info@nsjbio.com
Home >> Antibodies >> CYP27A1 Antibody

CYP27A1 Antibody (RQ5879)

  Catalog No Formulation Size Price (USD)  
Image RQ5879 0.5mg/ml if reconstituted with 0.2ml sterile DI water 100 ug 449
Bulk quote request
Immunofluorescent staining of FFPE human A431 cells with CYP27A1 antibody (green) and DAPI nuclear stain (blue). HIER: steam section in pH6 citrate buffer for 20 min.
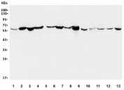
Western blot testing of human 1) placenta, 2) HepG2, 3) Caco-2, 4) SW620, 5) SGC-7901, 6) HEK293, 7) monkey liver, 8) human U-2 OS, 9) rat liver, 10) rat heart, 11) mouse liver, 12) mouse heart and 13) mouse NIH 3T3 lysate with CYP27A1 antibody. Expected molecular weight: 60-65 kDa.
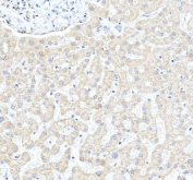
IHC staining of FFPE human liver tissue with CYP27A1 antibody, HRP-secondary and DAB substrate. HIER: boil tissue sections in pH8 EDTA for 20 min and allow to cool before testing.
Availability 1-3 business days
Species Reactivity Human, Mouse, Rat, Monkey
Format Antigen affinity purified
Host Rabbit
Clonality Polyclonal (rabbit origin)
Isotype Rabbit IgG
Purity Affinity purified
Buffer Lyophilized from 1X PBS with 2% Trehalose and 0.025% sodium azide
UniProt Q02318
Applications Western Blot : 0.5-1ug/ml
Immunofluorescence : 2-4ug/ml
Direct ELISA : 0.1-0.5ug/ml
Immunohistochemistry (FFPE) : 2-5ug/ml
Limitations This CYP27A1 antibody is available for research use only.
Review this product on BioCompare and get a $20 Amazon gift card

Description

CYP27A1 (Cytochrome P450 family 27 subfamily A member 1) is a mitochondrial enzyme belonging to the cytochrome P450 superfamily. It plays a critical role in cholesterol metabolism and bile acid biosynthesis. CYP27A1 catalyzes the hydroxylation of cholesterol and sterol intermediates, providing substrates for the classical and alternative bile acid synthesis pathways. A CYP27A1 antibody is frequently used to study cholesterol regulation, lipid homeostasis, and sterol metabolism.

This enzyme is expressed in many tissues, with the highest levels found in the liver and macrophages. Its activity contributes to the maintenance of cholesterol balance and also generates oxysterols, which act as ligands for nuclear receptors such as liver X receptor (LXR). These signaling pathways influence lipid transport, storage, and gene expression. Employing a CYP27A1 antibody allows researchers to monitor protein distribution and activity in tissues involved in cholesterol processing and immune function.

Mutations in the CYP27A1 gene cause cerebrotendinous xanthomatosis (CTX), a rare metabolic disorder characterized by impaired bile acid synthesis, accumulation of cholesterol and cholestanol, and progressive neurological dysfunction. Understanding CYP27A1 function is therefore clinically relevant for rare disease research as well as for broader studies of lipid metabolism. Using a CYP27A1 antibody enables detailed analysis of its role in disease mechanisms, cholesterol trafficking, and therapeutic interventions.

NSJ Bioreagents provides a high-quality CYP27A1 antibody validated for applications including western blot, immunohistochemistry, and immunofluorescence. Choosing a CYP27A1 antibody from NSJ Bioreagents ensures reliable detection and reproducible results in studies of cholesterol metabolism and bile acid biosynthesis.

Application Notes

Optimal dilution of the CYP27A1 antibody should be determined by the researcher.

Immunogen

Recombinant human protein (amino acids A7-C531) was used as the immunogen for the CYP27A1 antibody.

Storage

After reconstitution, the CYP27A1 antibody can be stored for up to one month at 4oC. For long-term, aliquot and store at -20oC. Avoid repeated freezing and thawing.

Cross
Bulk Quote Request Form
Name*:
Organization*:
Email*:
Phone Number*:
Catalog No.*:
Comments and Specifics(amount, formulation, etc.)*:
Validation code: Captchapackage Image


Can't read the image? click here to refresh.
    *required field

Your bulk quote request has been submitted successfully!

Please contact us if you have any questions.