• Tel: 858.663.9055
  • SeparatorEmail: info@nsjbio.com
  • Tel: 858.663.9055
  • Email: info@nsjbio.com
Home >> Antibodies >> CYP11B2 Antibody

CYP11B2 Antibody (F54582)

  Catalog No Formulation Size Price (USD)  
Image F54582-0.4ML In 1X PBS, pH 7.4, with 0.09% sodium azide 0.4 ml 439
Image
F54582-0.08ML In 1X PBS, pH 7.4, with 0.09% sodium azide 0.08 ml 205
Bulk quote request
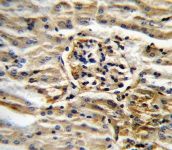
IHC testing of FFPE mouse kidney tissue with CYP11B2 antibody. HIER: steam section in pH6 citrate buffer for 20 min and allow to cool prior to staining.
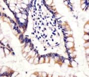
IHC testing of FFPE human small intestine tissue with CYP11B2 antibody. HIER: steam section in pH6 citrate buffer for 20 min and allow to cool prior to staining.
Western blot testing of human HepG2 cell lysate with CYP11B2 antibody. Predicted molecular weight ~58 kDa.
Flow cytometry testing of human CEM cells with CYP11B2 antibody; Blue=isotype control, Green= CYP11B2 antibody.
Availability 1-3 business days
Species Reactivity Human, Mouse
Format Purified
Host Rabbit
Clonality Polyclonal (rabbit origin)
Isotype Rabbit Ig
Purity Antigen affinity purified
UniProt P19099
Localization Cytoplasmic
Applications Western Blot : 1:500-1:2000
Flow Cytometry : 1:25 (1x10e6 cells)
Immunohistochemistry (FFPE) : 1:25
Limitations This CYP11B2 antibody is available for research use only.
Review this product on BioCompare and get a $20 Amazon gift card

Description

This gene encodes a member of the cytochrome P450 superfamily of enzymes. The cytochrome P450 proteins are monooxygenases which catalyze many reactions involved in drug metabolism and synthesis of cholesterol, steroids and other lipids. This protein localizes to the mitochondrial inner membrane. The enzyme has steroid 18-hydroxylase activity to synthesize aldosterone and 18-oxocortisol as well as steroid 11 beta-hydroxylase activity. Mutations in this gene cause corticosterone methyl oxidase deficiency.

Application Notes

The stated application concentrations are suggested starting points. Titration of the CYP11B2 antibody may be required due to differences in protocols and secondary/substrate sensitivity.

Immunogen

A portion of amino acids 120-147 from the human protein was used as the immunogen for the CYP11B2 antibody.

Storage

Aliquot the CYP11B2 antibody and store frozen at -20oC or colder. Avoid repeated freeze-thaw cycles.

Cross
Bulk Quote Request Form
Name*:
Organization*:
Email*:
Phone Number*:
Catalog No.*:
Comments and Specifics(amount, formulation, etc.)*:
Validation code: Captchapackage Image


Can't read the image? click here to refresh.
    *required field

Your bulk quote request has been submitted successfully!

Please contact us if you have any questions.