• Tel: 858.663.9055
  • SeparatorEmail: info@nsjbio.com
  • Tel: 858.663.9055
  • Email: info@nsjbio.com
Home >> Antibodies >> Cyclophilin E Antibody / PPIE

Cyclophilin E Antibody / PPIE [clone 4I9] (RQ6584)

  Catalog No Formulation Size Price (USD)  
Image RQ6584 0.5mg/ml if reconstituted with 0.2ml sterile DI water 100 ug 449
Bulk quote request
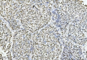
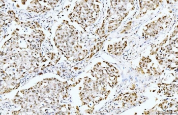
IHC staining of FFPE human breast cancer tissue with Cyclophilin E antibody. HIER: boil tissue sections in pH8 EDTA for 20 min and allow to cool before testing.
IHC staining of FFPE human lung cancer tissue with Cyclophilin E antibody. HIER: boil tissue sections in pH8 EDTA for 20 min and allow to cool before testing.
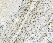
IHC staining of FFPE human gall bladder adenosquamous carcinoma tissue with Cyclophilin E antibody. HIER: boil tissue sections in pH8 EDTA for 20 min and allow to cool before testing.
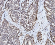
IHC staining of FFPE human liver cancer tissue with Cyclophilin E antibody. HIER: boil tissue sections in pH8 EDTA for 20 min and allow to cool before testing.
IHC staining of FFPE human placental tissue with Cyclophilin E antibody. HIER: boil tissue sections in pH8 EDTA for 20 min and allow to cool before testing.
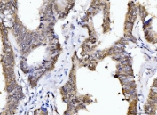
IHC staining of FFPE human colonic adenocarcinoma tissue with Cyclophilin E antibody. HIER: boil tissue sections in pH8 EDTA for 20 min and allow to cool before testing.
IHC staining of FFPE rat heart tissue with Cyclophilin E antibody. HIER: boil tissue sections in pH8 EDTA for 20 min and allow to cool before testing.
Immunofluorescent staining of FFPE human HeLa cells with Cyclophilin E antibody (Dylight 594-conjugated secondary, red) and Phalloidin-iFluor 488 conjugate (green). HIER: steam section in pH6 citrate buffer for 20 min.
Western blot testing of human 1) HEK293, 2) K562, 3) PC-3 and 4) Caco-2 cell lysate with Cyclophilin E antibody. Predicted molecular weight ~33 kDa.
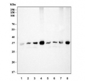
Western blot testing of 1) rat heart, 2) rat brain, 3) rat lung, 4) mouse heart, 5) mouse brain, 6) mouse lung, 7) rat RH35 and 8) mouse HEPA1-6 cell lysate with Cyclophilin E antibody. Predicted molecular weight ~33 kDa.
Flow cytometry testing of human U937 cells with Cyclophilin E antibody at 1ug/million cells (blocked with goat sera); Red=cells alone, Green=isotype control, Blue= Cyclophilin E antibody.
Availability 1-3 business days
Species Reactivity Human, Mouse, Rat
Format Antigen affinity purified
Host Mouse
Clonality Monoclonal (mouse origin)
Isotype Mouse IgG2b
Clone Name 4I9
Purity Antigen affinity purified
Buffer Lyophilized from 1X PBS with 2% Trehalose
UniProt Q9UNP9
Localization Nuclear
Applications Western Blot : 1-2ug/ml
Immunohistochemistry (FFPE) : 2-5ug/ml
Immunofluorescence (FFPE) : 5ug/ml
Flow Cytometry : 1-3ug/million cells
Limitations This Cyclophilin E antibody is available for research use only.
Review this product on BioCompare and get a $20 Amazon gift card

Related Products

Description

Peptidylprolyl isomerase E (cyclophilin E), also known as PPIE, is an enzyme which in humans is encoded by the PPIE gene on chromosome 1. The protein encoded by this gene is a member of the peptidyl-prolyl cis-trans isomerase (PPIase) family. PPIases catalyze the cis-trans isomerization of proline imidic peptide bonds in oligopeptides and accelerate the folding of proteins. This protein contains a highly conserved cyclophilin (CYP) domain as well as an RNA-binding domain. It was shown to possess PPIase and protein folding activities, and it also exhibits RNA-binding activity. Alternative splicing results in multiple transcript variants. A related pseudogene, which is also located on chromosome 1, has been identified.

Application Notes

Optimal dilution of the Cyclophilin E antibody should be determined by the researcher.

Immunogen

Recombinant human protein (amino acids M1-V301) was used as the immunogen for the Cyclophilin E antibody.

Storage

After reconstitution, the Cyclophilin E antibody can be stored for up to one month at 4oC. For long-term, aliquot and store at -20oC. Avoid repeated freezing and thawing.

Cross
Bulk Quote Request Form
Name*:
Organization*:
Email*:
Phone Number*:
Catalog No.*:
Comments and Specifics(amount, formulation, etc.)*:
Validation code: Captchapackage Image


Can't read the image? click here to refresh.
    *required field

Your bulk quote request has been submitted successfully!

Please contact us if you have any questions.