• Tel: 858.663.9055
  • SeparatorEmail: info@nsjbio.com
  • Tel: 858.663.9055
  • Email: info@nsjbio.com
Home >> Antibodies >> Cyclophilin B Antibody

Cyclophilin B Antibody (R32940)

  Catalog No Formulation Size Price (USD)  
Image R32940 0.5mg/ml if reconstituted with 0.2ml sterile DI water 100 ug 449
Bulk quote request
Immunofluorescent staining of FFPE human U-2 OS cells with Cyclophilin B antibody (green) and DAPI nuclear stain (blue). HIER: steam section in pH6 citrate buffer for 20 min.
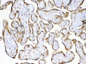
IHC testing of FFPE human placental tissue with Cyclophilin B antibody at 1ug/ml. Required HIER: steam section in pH6 citrate buffer for 20 min and allow to cool prior to testing.
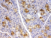
IHC testing of FFPE human lung cancer tissue with Cyclophilin B antibody at 1ug/ml. Required HIER: steam section in pH6 citrate buffer for 20 min and allow to cool prior to testing.
IHC testing of FFPE human breast cancer tissue with Cyclophilin B antibody at 1ug/ml. Required HIER: steam section in pH6 citrate buffer for 20 min and allow to cool prior to testing.
IHC testing of FFPE human rectal cancer tissue with Cyclophilin B antibody at 1ug/ml. Required HIER: steam section in pH6 citrate buffer for 20 min and allow to cool prior to testing.
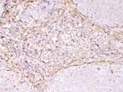
IHC testing of FFPE rat thyroid gland tissue with Cyclophilin B antibody at 1ug/ml. Required HIER: steam section in pH6 citrate buffer for 20 min and allow to cool prior to testing.
Western blot testing of 1) human placenta, 2) human U-87MG, 3) human HeLa, 4) mouse HEPA1-6, 5) rat PC-12, 6) rat RH35, 7) mouse NIH3T3 and 8) mouse SP20 lysate with Cyclophilin B antibody at 0.5ug/ml. Expected molecular weight: 19-23 kDa.
Flow cytometry testing of human U937 cells with Cyclophilin B antibody at 1ug/million cells (blocked with goat sera); Red=cells alone, Green=isotype control, Blue= Cyclophilin B antibody.
Availability 1-3 business days
Species Reactivity Human, Mouse, Rat
Format Antigen affinity purified
Host Rabbit
Clonality Polyclonal (rabbit origin)
Isotype Rabbit IgG
Purity Antigen affinity
Buffer Lyophilized from 1X PBS with 2.5% BSA, 0.025% sodium azide
UniProt P23284
Localization Cytoplasmic
Applications Western Blot : 0.5-1ug/ml
IHC (FFPE) : 1-2ug/ml
Immunofluorescence (FFPE) : 2-4ug/ml
Flow Cytometry : 1-3ug/million cells
Direct ELISA (human Recombinant Protein) : 0.1-0.5ug/ml (BSA-free format available)
Limitations This Cyclophilin B antibody is available for research use only.
Review this product on BioCompare and get a $20 Amazon gift card

Related Products

Description

Peptidyl-prolyl cis-trans isomerase B, also known as CYPB, is an enzyme that in humans is encoded by the PPIB gene. This gene is mapped to 15q22.31. The protein encoded by this gene is a cyclosporine-binding protein and is mainly located within the endoplasmic reticulum. It is associated with the secretory pathway and released in biological fluids. This protein can bind to cells derived from T- and B-lymphocytes, and may regulate cyclosporine A-mediated immunosuppression. Variants have been identified in this protein that give rise to recessive forms of osteogenesis imperfecta.

Application Notes

Optimal dilution of the Cyclophilin B antibody should be determined by the researcher.

Immunogen

A recombinant human protein corresponding to amino acids K158-E216 was used as the immunogen for the Cyclophilin B antibody.

Storage

After reconstitution, the Cyclophilin B antibody can be stored for up to one month at 4oC. For long-term, aliquot and store at -20oC. Avoid repeated freezing and thawing.

Cross
Bulk Quote Request Form
Name*:
Organization*:
Email*:
Phone Number*:
Catalog No.*:
Comments and Specifics(amount, formulation, etc.)*:
Validation code: Captchapackage Image


Can't read the image? click here to refresh.
    *required field

Your bulk quote request has been submitted successfully!

Please contact us if you have any questions.