• Tel: 858.663.9055
  • SeparatorEmail: info@nsjbio.com
  • Tel: 858.663.9055
  • Email: info@nsjbio.com
Home >> Antibodies >> Cyclophilin B Antibody

Cyclophilin B Antibody (R31271)

  Catalog No Formulation Size Price (USD)  
Image R31271 0.5mg/ml if reconstituted with 0.2ml sterile DI water 100 ug 449
Bulk quote request
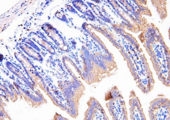
IHC-P: Cyclophilin B antibody testing of mouse intestine tissue. HIER: boil tissue sections in pH6 citrate buffer for 20 min and allow to cool before testing.
IHC-P: Cyclophilin B antibody testing of human tonsil tissue. HIER: boil tissue sections in pH6 citrate buffer for 20 min and allow to cool before testing.
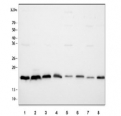
Western blot testing of 1) human U-87 MG, 2) human HepG2, 3) human Caco-2, 4) human 293T, 5) rat brain, 6) rat lung, 7) mouse brain and 8) mouse lung tissue lysate with Cyclophilin B antibody. Expected molecular weight 19-23 kDa.
Availability 1-3 business days
Species Reactivity Human, Mouse, Rat
Format Antigen affinity purified
Host Rabbit
Clonality Polyclonal (rabbit origin)
Isotype Rabbit IgG
Purity Antigen affinity
Buffer Lyophilized from 1X PBS with 2.5% BSA and 0.025% sodium azide/thimerosal
UniProt P23284
Localization Cytoplasmic
Applications Western Blot : 0.5-1ug/ml
Immunohistochemistry (FFPE) : 1-3ug/ml
Limitations This Cyclophilin B antibody is available for research use only.
Review this product on BioCompare and get a $20 Amazon gift card

Related Products

Description

Cyclophilin B, also known as CYPB, is an enzyme that in humans is encoded by the PPIB gene. This gene is mapped to 15q22.31. The protein encoded by this gene is a cyclosporine-binding protein and is mainly located within the endoplasmic reticulum. It is associated with the secretory pathway and released in biological fluids. Cyclophilin B can bind to cells derived from T- and B-lymphocytes, and may regulate cyclosporine A-mediated immunosuppression. Variants have been identified in this protein that give rise to recessive forms of osteogenesis imperfecta.

Application Notes

The stated application concentrations are suggested starting amounts. Titration of the Cyclophilin B antibody may be required due to differences in protocols and secondary/substrate sensitivity.

Immunogen

An amino acid sequence from the C-terminus of human CYPB (MEVVRKVESTKTDSRDKPLKD) was used as the immunogen for this Cyclophilin B antibody.

Storage

After reconstitution, the Cyclophilin B antibody can be stored for up to one month at 4oC. For long-term, aliquot and store at -20oC. Avoid repeated freezing and thawing.

Cross
Bulk Quote Request Form
Name*:
Organization*:
Email*:
Phone Number*:
Catalog No.*:
Comments and Specifics(amount, formulation, etc.)*:
Validation code: Captchapackage Image


Can't read the image? click here to refresh.
    *required field

Your bulk quote request has been submitted successfully!

Please contact us if you have any questions.