• Tel: 858.663.9055
  • SeparatorEmail: info@nsjbio.com
  • Tel: 858.663.9055
  • Email: info@nsjbio.com
Home >> Antibodies >> Cyclin T1 Antibody

Cyclin T1 Antibody (R32475)

  Catalog No Formulation Size Price (USD)  
Image R32475 0.5mg/ml if reconstituted with 0.2ml sterile DI water 100 ug 449
Bulk quote request
Western blot testing of 1) rat kidney, 2) mouse spleen and 3) human Jurkat lysate with Cyclin T1 antibody at 0.5ug/ml. Predicted/observed molecular weight ~81 kDa.
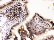
IHC testing of FFPE human intestine cancer tissue with Cyclin T1 antibody at 1ug/ml. HIER: steam in pH6 citrate buffer and allow to cool prior to staining.
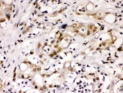
IHC testing of FFPE mouse intestine with Cyclin T1 antibody at 1ug/ml. HIER: steam in pH6 citrate buffer and allow to cool prior to staining.
IHC testing of FFPE rat intestine with Cyclin T1 antibody at 1ug/ml. HIER: steam in pH6 citrate buffer and allow to cool prior to staining.
IF/ICC staining of FFPE human A431 cells with Cyclin T1 antibody (red) at 2ug/ml and DAPI nuclear stain (blue). HIER: steam section in pH6 citrate buffer for 20 min.
Flow cytometry testing of human U-2 OS cells with Cyclin T1 antibody at 1ug/10^6 cells (blocked with goat sera); Red=cells alone, Green=isotype control, Blue= Cyclin T1 antibody.
Flow cytometry testing of human U937 cells with Cyclin T1 antibody at 1ug/10^6 cells (blocked with goat sera); Red=cells alone, Green=isotype control, Blue= Cyclin T1 antibody.
Availability 1-3 business days
Species Reactivity Human, Mouse, Rat
Format Antigen affinity purified
Host Rabbit
Clonality Polyclonal (rabbit origin)
Isotype Rabbit IgG
Purity Antigen affinity
Buffer Lyophilized from 1X PBS with 2.5% BSA and 0.025% sodium azide
UniProt O60563
Localization Nuclear
Applications Western Blot : 0.5-1ug/ml
Immunohistochemistry (FFPE) : 1-2ug/ml
Immunofluorescence/Immunocytochemistry : 2-4ug/ml
Flow Cytometry : 1-3ug/10^6 cells
Limitations This Cyclin T1 antibody is available for research use only.
Review this product on BioCompare and get a $20 Amazon gift card

Related Products

Description

Cyclin-T1 is a protein that in humans is encoded by the CCNT1 gene. This gene encodes a member of the highly conserved cyclin C subfamily. The encoded protein tightly associates with cyclin-dependent kinase 9, and is a major subunit of positive transcription elongation factor b (p-TEFb). In humans, there are multiple forms of positive transcription elongation factor b, which may include one of several different cyclins along with cyclin-dependent kinase 9. The complex containing the encoded cyclin and cyclin-dependent kinase 9 acts as a cofactor of human immunodeficiency virus type 1 (HIV-1) Tat protein, and is both necessary and sufficient for full activation of viral transcription. This cyclin and its kinase partner are also involved in triggering transcript elongation through phosphorylation of the carboxy-terminal domain of the largest RNA polymerase II subunit. Overexpression of this gene is implicated in tumor growth. Alternative splicing results in multiple transcript variants.

Application Notes

Optimal dilution of the Cyclin T1 antibody should be determined by the researcher.

Immunogen

Amino acids QKQNSKSVPSAKVSLKEYRAKHAEELAAQKRQLENM from the human protein were used as the immunogen for the Cyclin T1 antibody.

Storage

Prior to reconstitution, store at 4oC. After reconstitution, the Cyclin T1 antibody can be stored for up to one month at 4oC. For long-term, aliquot and store at -20oC. Avoid repeated freezing and thawing.

Cross
Bulk Quote Request Form
Name*:
Organization*:
Email*:
Phone Number*:
Catalog No.*:
Comments and Specifics(amount, formulation, etc.)*:
Validation code: Captchapackage Image


Can't read the image? click here to refresh.
    *required field

Your bulk quote request has been submitted successfully!

Please contact us if you have any questions.