• Tel: 858.663.9055
  • SeparatorEmail: info@nsjbio.com
  • Tel: 858.663.9055
  • Email: info@nsjbio.com
Home >> Antibodies >> Cyclin-dependent kinase inhibitor 2A Antibody / CDKN2A / p16INK4a

Cyclin-dependent kinase inhibitor 2A Antibody / CDKN2A / p16INK4a [clone rCDKN2A/8061] (V5275)

  Catalog No Formulation Size Price (USD)  
Image V5275-100UG 0.2 mg/ml in 1X PBS with 0.1 mg/ml BSA (US sourced), 0.05% sodium azide 100 ug 559
Image
V5275-20UG 0.2 mg/ml in 1X PBS with 0.1 mg/ml BSA (US sourced), 0.05% sodium azide 20 ug 259
Image
V5275SAF-100UG 1 mg/ml in 1X PBS; BSA free, sodium azide free 100 ug 559
Microvalidated Recmousemono
Bulk quote request
Cyclin-dependent kinase inhibitor 2A Antibody HeLa WB. Western blot analysis of CDKN2A (p16INK4a) expression in HeLa cell lysate using Cyclin-dependent kinase inhibitor 2A antibody clone rCDKN2/8061. Lane 1: HeLa cell lysate. A band is detected at approximately 15–17 kDa, consistent with the predicted molecular weight of p16INK4a, a cyclin-dependent kinase inhibitor that regulates G1 cell cycle progression through inhibition of CDK4 and CDK6. The clear detection in HeLa cells supports the use of this clone for western blot analysis of proliferating cell lines.
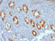
Cyclin-dependent kinase inhibitor 2A Antibody Cervical Carcinoma IHC. Immunohistochemistry of Cyclin-dependent kinase inhibitor 2A antibody in human cervical carcinoma tissue. The monoclonal clone rCDKN2A/8061 demonstrates strong nuclear and cytoplasmic HRP-DAB brown staining in malignant epithelial cell clusters, consistent with overexpression of p16INK4a in RB pathway dysregulation. Tumor glands and cohesive nests are clearly highlighted against surrounding stromal and inflammatory cells, which show minimal background staining. Heat-induced epitope retrieval was performed by boiling tissue sections in pH 9 10mM Tris with 1mM EDTA for 20 minutes followed by cooling prior to antibody incubation.
Availability 1-3 business days
Species Reactivity Human
Format Purified
Host Mouse
Clonality Recombinant Mouse Monoclonal
Isotype Mouse IgG1, kappa
Clone Name rCDKN2A/8061
Purity Protein A/G affinity
UniProt P42771
Localization Nucleus, Cytoplasm
Applications Immunohistochemistry (FFPE) : 1-2ug/ml for 30 min at RT
Western Blot : 2-4ug/ml
Limitations This Cyclin-dependent kinase inhibitor 2A antibody is available for research use only.
Review this product on BioCompare and get a $20 Amazon gift card

Related Products

Description

Cyclin-dependent kinase inhibitor 2A antibody recognizes Cyclin-dependent kinase inhibitor 2A, the tumor suppressor protein encoded by the CDKN2A gene located on chromosome 9p21.3. Cyclin-dependent kinase inhibitor 2A Antibody is developed for research applications focused on detection of this critical regulator of cell cycle progression. The CDKN2A gene product is widely known as p16INK4a and functions primarily in the nucleus, with additional cytoplasmic localization, where it binds CDK4 and CDK6 to prevent phosphorylation of the retinoblastoma protein and block transition from G1 to S phase.

CDKN2A antibody, also referred to as p16 antibody and INK4a antibody in the literature, targets a central component of the RB tumor suppressor pathway. The CDKN2A locus is complex and produces multiple distinct proteins through alternative reading frames, including p14ARF, but p16INK4a specifically inhibits cyclin D-CDK4 and cyclin D-CDK6 complexes. Inactivation of CDKN2A through deletion, mutation, or promoter methylation is one of the most frequent molecular alterations in human cancers and contributes directly to uncontrolled cellular proliferation.

In normal tissues, p16INK4a expression is typically low in actively dividing cells but increases during cellular senescence or in response to oncogenic stress. Overexpression of CDKN2A is frequently observed in high-risk human papillomavirus-associated lesions, including cervical intraepithelial neoplasia and carcinoma, where viral inactivation of RB results in compensatory upregulation of p16INK4a. As a result, Cyclin-dependent kinase inhibitor 2A antibody is widely used in studies examining viral oncogenesis, cell cycle dysregulation, and tumor suppressor pathway alterations.

Structurally, p16INK4a contains multiple ankyrin repeat motifs that mediate interaction with CDK4 and CDK6. By maintaining RB in a hypophosphorylated, growth-suppressive state, p16INK4a enforces cell cycle arrest and prevents inappropriate S phase entry. Disruption of this regulatory axis is implicated in melanoma, pancreatic carcinoma, glioma, bladder carcinoma, and additional malignancies.

The recombinant mouse monoclonal clone rCDKN2A/8061 targets p16INK4a for research use. Visualization of nuclear and cytoplasmic expression patterns supports investigation of CDKN2A status and RB pathway integrity in experimental models at NSJ Bioreagents.

This antibody is part of a broader antibody panel offered by NSJ Bioreagents.

Application Notes

Optimal dilution of the Cyclin-dependent kinase inhibitor 2A antibody should be determined by the researcher.

Immunogen

A recombinant partial protein sequence (within amino acids 1-100) from the human protein was used as the immunogen for the Cyclin-dependent kinase inhibitor 2A antibody.

Storage

Aliquot the Cyclin-dependent kinase inhibitor 2A antibody and store frozen at -20oC or colder. Avoid repeated freeze-thaw cycles.

Cross
Bulk Quote Request Form
Name*:
Organization*:
Email*:
Phone Number*:
Catalog No.*:
Comments and Specifics(amount, formulation, etc.)*:
Validation code: Captchapackage Image


Can't read the image? click here to refresh.
    *required field

Your bulk quote request has been submitted successfully!

Please contact us if you have any questions.