• Tel: 858.663.9055
  • SeparatorEmail: info@nsjbio.com
  • Tel: 858.663.9055
  • Email: info@nsjbio.com
Home >> Antibodies >> CXXC4 Antibody

CXXC4 Antibody (F55032)

  Catalog No Formulation Size Price (USD)  
Image F55032-0.4ML In 1X PBS, pH 7.4, with 0.09% sodium azide 0.4 ml 439
Image
F55032-0.08ML In 1X PBS, pH 7.4, with 0.09% sodium azide 0.08 ml 205
Bulk quote request
Western blot testing of human K562 cell lysate with CXXC4 antibody. Predicted molecular weight ~21 kDa.
Western blot testing of mouse testis tissue lysate with CXXC4 antibody. Predicted molecular weight ~21 kDa.
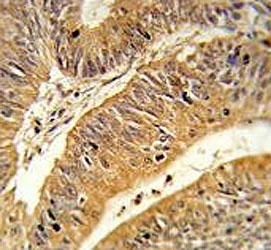
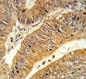
IHC testing of FFPE human colon carcinoma tissue with CXXC4 antibody. HIER: steam section in pH6 citrate buffer for 20 min and allow to cool prior to staining.
Flow cytometry testing of human K562 cells with CXXC4 antibody; Blue=isotype control, Green= CXXC4 antibody.
Availability 1-3 business days
Species Reactivity Human, Mouse
Format Purified
Host Rabbit
Clonality Polyclonal (rabbit origin)
Isotype Rabbit Ig
Purity Antigen affinity purified
UniProt Q9H2H0
Localization Cytoplasmic
Applications Western Blot : 1:500-1:1000
Flow Cytometry : 1:10-50 (1x10e6 cells)
Immunohistochemistry (FFPE) : 1:50-1:100
Limitations This CXXC4 antibody is available for research use only.
Review this product on BioCompare and get a $20 Amazon gift card

Related Products

  • Applications : IHC, ELISA (peptide)
    Reactivity : Human
    Pred. Reactivity : Mouse

Description

CXXC4 acts as a negative regulator of the Wnt signaling pathway via its interaction with DVL1.

Application Notes

The stated application concentrations are suggested starting points. Titration of the CXXC4 antibody may be required due to differences in protocols and secondary/substrate sensitivity.

Immunogen

A portion of amino acids 158-185 from the human protein was used as the immunogen for the CXXC4 antibody.

Storage

Aliquot the CXXC4 antibody and store frozen at -20oC or colder. Avoid repeated freeze-thaw cycles.

Cross
Bulk Quote Request Form
Name*:
Organization*:
Email*:
Phone Number*:
Catalog No.*:
Comments and Specifics(amount, formulation, etc.)*:
Validation code: Captchapackage Image


Can't read the image? click here to refresh.
    *required field

Your bulk quote request has been submitted successfully!

Please contact us if you have any questions.