• Tel: 858.663.9055
  • SeparatorEmail: info@nsjbio.com
  • Tel: 858.663.9055
  • Email: info@nsjbio.com
Home >> Antibodies >> CXCR3 Antibody

CXCR3 Antibody (R31506)

  Catalog No Formulation Size Price (USD)  
Image R31506 0.5mg/ml if reconstituted with 0.2ml sterile DI water 100 ug 449
Bulk quote request
Western blot testing of CXCR3 antibody and Lane 1: COLO320; 2: SGC lysate. Predicted molecular weight ~41 kDa.
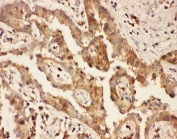
IHC-P: CXCR3 antibody testing of human lung cancer tissue
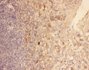
IHC-P: CXCR3 antibody testing of human tonsil tissue
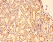
IHC-P: CXCR3 antibody testing of rat kidney tissue
Availability 1-3 business days
Species Reactivity Human, Rat
Format Antigen affinity purified
Host Rabbit
Clonality Polyclonal (rabbit origin)
Isotype Rabbit IgG
Purity Antigen affinity
Buffer Lyophilized from 1X PBS with 2.5% BSA and 0.025% sodium azide
Gene ID 2833
Applications Western Blot : 0.5-1ug/ml
IHC (FFPE) : 0.5-1ug/ml
Limitations This CXCR3 antibody is available for research use only.
Review this product on BioCompare and get a $20 Amazon gift card

Related Products

  • Applications : WB, IHC, FACS, ELISA
    Reactivity : Human
  • Applications : WB, IHC-P, Direct ELISA
    Reactivity : Mouse, Rat

Description

CXCR3 is a Galphai protein-coupled receptor in the CXC chemokine receptor family. Other names for CXCR3 are G protein-coupled receptor 9 (GPR9) and CD183. CXCR3 is expressed on malignant B cells from chronic lymphoproliferative disorders, particularly in patients with CLL, and represents a fully functional receptor involved in chemotaxis of malignant B lymphocytes. It is found that in the absence of known etiologic agents, CXCR3 represents a novel target for therapeutic interference early in type 1 diabetes. Signaling is associated with MG pathogenesis and CXCR3 may serve as novel drug targets to treat MG. CXCR3A and CXCR3B are involved in the chemotactic and vascular effects of CXCL4L1.

Application Notes

The stated application concentrations are suggested starting amounts. Titration of the CXCR3 antibody may be required due to differences in protocols and secondary/substrate sensitivity.

Immunogen

Human partial recombinant protein (AA 1-368) was used as the immunogen for this CXCR3 antibody.

Storage

After reconstitution, the CXCR3 antibody can be stored for up to one month at 4oC. For long-term, aliquot and store at -20oC. Avoid repeated freezing and thawing.

Cross
Bulk Quote Request Form
Name*:
Organization*:
Email*:
Phone Number*:
Catalog No.*:
Comments and Specifics(amount, formulation, etc.)*:
Validation code: Captchapackage Image


Can't read the image? click here to refresh.
    *required field

Your bulk quote request has been submitted successfully!

Please contact us if you have any questions.