• Tel: 858.663.9055
  • SeparatorEmail: info@nsjbio.com
  • Tel: 858.663.9055
  • Email: info@nsjbio.com
Home >> Antibodies >> CXCR2 Antibody

CXCR2 Antibody (RQ5809)

  Catalog No Formulation Size Price (USD)  
Image RQ5809 0.5mg/ml if reconstituted with 0.2ml sterile DI water 100 ug 449
Bulk quote request
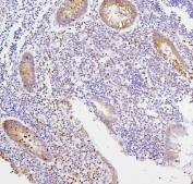
IHC staining of FFPE human tonsil tissue with CXCR2 antibody. HIER: boil tissue sections in pH8 EDTA for 20 min and allow to cool before testing.
IHC staining of FFPE human appendicitis tissue with CXCR2 antibody. HIER: boil tissue sections in pH8 EDTA for 20 min and allow to cool before testing.
Western blot testing of human 1) U-2 OS and 2) A549 lysate with CXCR2 antibody. Predicted molecular weight ~40 kDa.
Flow cytometry testing of human ThP-1 cells with CXCR2 antibody at 1ug/million cells (blocked with goat sera); Red=cells alone, Green=isotype control, Blue= CXCR2 antibody.
Availability 1-3 business days
Species Reactivity Human
Format Antigen affinity purified
Host Rabbit
Clonality Polyclonal (rabbit origin)
Isotype Rabbit IgG
Purity Affinity purified
Buffer Lyophilized from 1X PBS with 2% Trehalose and 0.025% sodium azide
UniProt P25025
Applications Western Blot : 0.5-1ug/ml
Immunohistochemistry : 1-2ug/ml
Flow Cytometry : 1-3ug/million cells
Direct ELISA : 0.1-0.5ug/ml
Limitations This CXCR2 antibody is available for research use only.
Review this product on BioCompare and get a $20 Amazon gift card

Related Products

  • Applications : WB
    Reactivity : Human, Rat
  • Applications : IHC-P, FACS
    Reactivity : Human
  • Applications : WB, FACS, Direct ELISA
    Reactivity : Human

Description

CXCR2 is a receptor for Interleukin 8, which is a powerful neutrophil chemotactic factor. It is a member of the GPCR family (subfamily, chemokine). Binding of IL8 to the receptor causes activation of neutrophils. This response is mediated via a G-protein that activate a phosphatidylinositol-calcium second messenger system. This receptor binds to IL8 with a high affinity and to GRO/MGSA and NAP2 also with a high affinity. It has been reported to be expressed in a wide variety of tissues. ESTs have been isolated from human placenta and thymus libraries.

Application Notes

Optimal dilution of the CXCR2 antibody should be determined by the researcher.

Immunogen

Recombinant human protein (amino acids F32-I54 and A177-R212) was used as the immunogen for the CXCR2 antibody.

Storage

After reconstitution, the CXCR2 antibody can be stored for up to one month at 4oC. For long-term, aliquot and store at -20oC. Avoid repeated freezing and thawing.

Cross
Bulk Quote Request Form
Name*:
Organization*:
Email*:
Phone Number*:
Catalog No.*:
Comments and Specifics(amount, formulation, etc.)*:
Validation code: Captchapackage Image


Can't read the image? click here to refresh.
    *required field

Your bulk quote request has been submitted successfully!

Please contact us if you have any questions.