• Tel: 858.663.9055
  • SeparatorEmail: info@nsjbio.com
  • Tel: 858.663.9055
  • Email: info@nsjbio.com
Home >> Antibodies >> Cx43 Antibody / Connexin 43

Cx43 Antibody / Connexin 43 (R30201)

  Catalog No Formulation Size Price (USD)  
Image R30201 0.5mg/ml if reconstituted with 0.2ml sterile DI water 100 ug 449
Bulk quote request
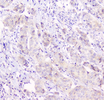
IHC-P: Cx43 antibody testing of human lung cancer tissue
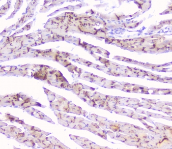
IHC-P: Cx43 antibody testing of rat heart tissue
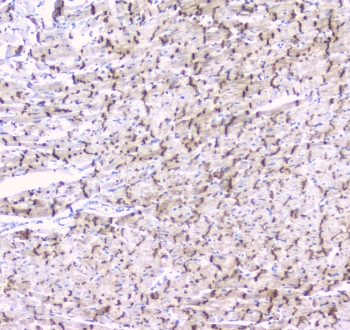
IHC testing of frozen rat heart tissue with Cx43 antibody.
Western blot testing of 1) human placenta, 2) rat brain, 3) rat heart, 4) mouse brain and 5) mouse heart lysate with Cx43 antibody at 0.5ug/ml. Predicted molecular weight ~43 kDa.
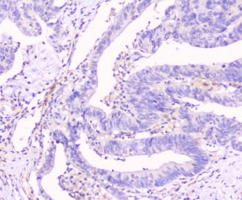
IHC testing of human intestinal cancer tissue with Cx43 antibody at 1ug/ml. HIER: steam section in pH6 citrate buffer for 20 min and allow to cool prior to staining.
IHC testing of human breast cancer tissue with Cx43 antibody at 1ug/ml. HIER: steam section in pH6 citrate buffer for 20 min and allow to cool prior to staining.
IHC testing of mouse heart tissue with Cx43 antibody at 1ug/ml. HIER: steam section in pH6 citrate buffer for 20 min and allow to cool prior to staining.
IHC testing of rat heart tissue with Cx43 antibody at 1ug/ml. HIER: steam section in pH6 citrate buffer for 20 min and allow to cool prior to staining.
Availability 1-3 business days
Species Reactivity Human (1), Mouse, Rat
Format Antigen affinity purified
Host Rabbit
Clonality Polyclonal (rabbit origin)
Isotype Rabbit IgG
Purity Antigen affinity
Buffer Lyophilized from 1X PBS with 2.5% BSA and 0.025% sodium azide/thimerosal
UniProt P17302
Localization Cytoplasm, plasma membrane
Applications Western Blot : 0.5-1ug/ml
IHC (FFPE) : 0.5-1ug/ml
IHC (Frozen) : 0.5-1ug/ml
Limitations This Cx43 antibody is available for research use only.
Review this product on BioCompare and get a $20 Amazon gift card

Related Products

  • Applications : WB, IHC-P, IF
    Reactivity : Human, Mouse, Rat
  • Applications : WB, IHC, ELISA
    Reactivity : Human, Mouse, Rat
    Pred. Reactivity : Bovine, Xenopus
  • Applications : WB, ELISA (peptide)
    Reactivity : Human, Rat
    Pred. Reactivity : Dog, Pig
  • Applications : WB, IHC-P, Direct ELISA
    Reactivity : Human, Mouse, Rat

Description

Connexin 43 (Cx43), also called GAP Junction Protein, alpha, is a member of the connexin gene family and is abundantly expressed in the heart and liver. Connexin 43, the major protein of gap junctions in the heart, is targeted by several protein kinases that regulate myocardial cell-cell coupling. Cx43 also plays a critical role in the physiology of hearing, presumably by participating in the recycling of potassium to the cochlear endolymph.

Application Notes

Titration of the Cx43 antibody may be required due to differences in protocols and secondary/substrate sensitivity.

1.Suitability for western blot testing of human samples is still being determined.

Immunogen

Amino acids 351-367 (HELQPLAIVDQRPSSRA-human) were used as the immunogen for this Cx43 antibody (100% conserved in mouse and rat).

Storage

The lyophilized Cx43 antibody can be stored at 4oC to -20oC. After reconstitution, aliquot and store at -20oC. Avoid repeated freezing and thawing.

Cross
Bulk Quote Request Form
Name*:
Organization*:
Email*:
Phone Number*:
Catalog No.*:
Comments and Specifics(amount, formulation, etc.)*:
Validation code: Captchapackage Image


Can't read the image? click here to refresh.
    *required field

Your bulk quote request has been submitted successfully!

Please contact us if you have any questions.