• Tel: 858.663.9055
  • SeparatorEmail: info@nsjbio.com
  • Tel: 858.663.9055
  • Email: info@nsjbio.com
Home >> Antibodies >> CTSG Antibody / Cathepsin G

CTSG Antibody / Cathepsin G [clone r19C3] (V5868)

  Catalog No Formulation Size Price (USD)  
Image V5868-100UG 0.2 mg/ml in 1X PBS with 0.05% BSA, 0.05% sodium azide 100 ug 559
Image
V5868-20UG 0.2 mg/ml in 1X PBS with 0.05% BSA, 0.05% sodium azide 20 ug 259
Image
V5868SAF-100UG 1 mg/ml in 1X PBS; BSA free, sodium azide free 100 ug 559
Microvalidated Recmousemono
Bulk quote request
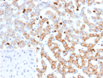
Immunohistochemistry analysis of Cathepsin G in human liver tissue. Formalin-fixed, paraffin-embedded human liver tissue was stained using recombinant CTSG/Cathepsin G antibody (clone r19C3), showing cytoplasmic staining in scattered hepatic immune-associated cells consistent with known CTSG expression patterns. Heat-induced epitope retrieval was performed by heating tissue sections in 10 mM Tris with 1 mM EDTA, pH 9.0, at 95oC for 45 minutes, followed by cooling at room temperature for 20 minutes. Inset shows PBS substituted for the primary antibody as a secondary-only negative control.
SDS-PAGE Analysis of purified recombinant CTSG/Cathepsin G antibody (clone r19C3). Confirmation of Purity and Integrity of Antibody.
Species Reactivity Human
Format Purified
Host Mouse
Clonality Recombinant Mouse Monoclonal
Isotype Mouse IgG1, kappa
Clone Name r19C3
UniProt P08311
Localization Cell membrane, Cytoplasm
Applications Immunohistochemistry (FFPE) : 1-2ug/ml
Western Blot : 2-4ug/ml
Limitations This CTSG/Cathepsin G antibody is available for research use only.
Review this product on BioCompare and get a $20 Amazon gift card

Related Products

Description

CTSG antibody targets Cathepsin G, a serine protease encoded by the CTSG gene and predominantly expressed in neutrophils and other myeloid lineage cells. Cathepsin G is stored in azurophilic granules and released during neutrophil activation, where it participates in antimicrobial defense, extracellular matrix remodeling, and regulation of inflammatory responses. CTSG antibody is widely used to study innate immune cell function and neutrophil-associated proteolytic activity.

Cathepsin G localizes primarily to cytoplasmic granules in resting neutrophils and can be detected extracellularly following degranulation. In addition to neutrophils, Cathepsin G expression has been reported in monocytes, mast cells, and certain epithelial cells under inflammatory conditions. Once released, Cathepsin G can cleave a broad range of substrates, including bacterial proteins, extracellular matrix components, and host signaling molecules. CTSG antibody detection is therefore relevant for investigations into immune defense and tissue remodeling processes.

Functionally, Cathepsin G exhibits both proteolytic and regulatory activities. It contributes directly to pathogen killing while also modulating cytokines, chemokines, and cell surface receptors involved in immune cell recruitment and activation. Through these actions, Cathepsin G influences leukocyte migration, vascular permeability, and inflammatory signaling cascades. CTSG antibody reagents support research into protease-driven regulation of innate immunity and inflammation.

Dysregulated Cathepsin G activity has been implicated in a variety of pathological conditions, including chronic inflammatory diseases, cardiovascular disorders, and cancer. Excessive CTSG activity can contribute to tissue damage and fibrosis, while altered expression patterns have been observed in inflammatory lesions and tumor microenvironments. These associations underscore the value of CTSG antibody-based detection in studies examining inflammatory pathology and immune-mediated tissue injury.

Clone r19C3 is designed to recognize Cathepsin G in research applications. CTSG antibody reagents are suitable for detecting protein expression and localization in immune cells and tissue samples, supporting studies focused on neutrophil biology, inflammatory protease activity, and disease-associated alterations in innate immune responses.

Application Notes

1. Optimal dilution of the CTSG/Cathepsin G antibody should be determined by the researcher.

2. This CTSG/Cathepsin G antibody is recombinantly produced by expression in CHO cells.

Immunogen

Prokaryotic recombinant protein corresponding to a 124 amino acid N-terminal region of the cathepsin G molecule was used as the immunogen for the CTSG/Cathepsin G antibody.

Storage

CTSG/Cathepsin G antibody with sodium azide - store at 2 to 8oC; antibody without sodium azide - store at -20 to -80oC.

Cross
Bulk Quote Request Form
Name*:
Organization*:
Email*:
Phone Number*:
Catalog No.*:
Comments and Specifics(amount, formulation, etc.)*:
Validation code: Captchapackage Image


Can't read the image? click here to refresh.
    *required field

Your bulk quote request has been submitted successfully!

Please contact us if you have any questions.