• Tel: 858.663.9055
  • SeparatorEmail: info@nsjbio.com
  • Tel: 858.663.9055
  • Email: info@nsjbio.com
Home >> Antibodies >> CTHRC1 Antibody

CTHRC1 Antibody (RQ5687)

  Catalog No Formulation Size Price (USD)  
Image RQ5687 0.5mg/ml if reconstituted with 0.2ml sterile DI water 100 ug 449
Bulk quote request
Immunofluorescent staining of FFPE mouse HEPA1-6 cells with CTHRC1 antibody (red) and DAPI nuclear stain (blue). HIER: steam section in pH6 citrate buffer for 20 min.
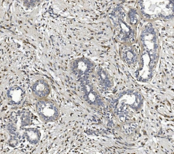
IHC staining of FFPE human breast cancer with CTHRC1 antibody. HIER: boil tissue sections in pH8 EDTA for 20 min and allow to cool before testing.
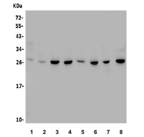
Western blot testing of rat 1) brain, 2) lung, 3) thymus, 4) PC-12 and mouse 5) thymus, 6) RAW264.7, 7) SP2/0 and 8) human Jurkat lysate with CTHRC1 antibody. Expected molecular weight: 26-30 kDa.
Flow cytometry testing of human HepG2 cells with CTHRC1 antibody at 1ug/million cells (blocked with goat sera); Red=cells alone, Green=isotype control, Blue= CTHRC1 antibody.
Availability 1-3 business days
Species Reactivity Human, Mouse, Rat
Format Antigen affinity purified
Host Rabbit
Clonality Polyclonal
Isotype Rabbit IgG
Purity Affinity purified
Buffer Lyophilized from 1X PBS with 2% Trehalose and 0.025% sodium azide
UniProt Q96CG8
Applications Western Blot : 0.5-1ug/ml
Immunohistochemistry : 1-2ug/ml
Immunofluorescence : 2-4ug/ml
Flow Cytometry : 1-3ug/million cells
Direct ELISA : 0.1-0.5ug/ml
Limitations This CTHRC1 antibody is available for research use only.
Review this product on BioCompare and get a $20 Amazon gift card

Related Products

  • Applications : FACS, WB, IHC-P
    Reactivity : Human

Description

This locus encodes a protein that may play a role in the cellular response to arterial injury through involvement in vascular remodeling. Mutations at this locus have been associated with Barrett esophagus and esophageal adenocarcinoma. Alternatively spliced transcript variants have been described. The International Radiation Hybrid Mapping Consortium mapped the CTHRC1 gene to chromosome.

Application Notes

Optimal dilution of the CTHRC1 antibody should be determined by the researcher.

Immunogen

Recombinant human protein (amino acids S31-K243) was used as the immunogen for the CTHRC1 antibody.

Storage

After reconstitution, the CTHRC1 antibody can be stored for up to one month at 4oC. For long-term, aliquot and store at -20oC. Avoid repeated freezing and thawing.

Cross
Bulk Quote Request Form
Name*:
Organization*:
Email*:
Phone Number*:
Catalog No.*:
Comments and Specifics(amount, formulation, etc.)*:
Validation code: Captchapackage Image


Can't read the image? click here to refresh.
    *required field

Your bulk quote request has been submitted successfully!

Please contact us if you have any questions.