• Tel: 858.663.9055
  • SeparatorEmail: info@nsjbio.com
  • Tel: 858.663.9055
  • Email: info@nsjbio.com
Home >> Antibodies >> CTCF Antibody

CTCF Antibody (R32116)

  Catalog No Formulation Size Price (USD)  
Image R32116 0.5mg/ml if reconstituted with 0.2ml sterile DI water 100 ug 449
Bulk quote request
Immunofluorescent staining of FFPE human U-2 OS cells with CTCF antibody (green) and Alpha Tubulin mAb (red). HIER: steam section in pH6 citrate buffer for 20 min.
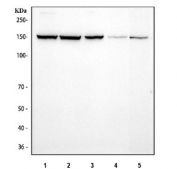
Western blot testing of 1) human MCF7, 2) human SiHa, 3) human HepG2, 4) rat brain and 5) mouse brain tissue lysate with CTCF antibody. Predicted molecular weight: 70/82/130 kDa (referred to as CTCF-70, -82 and -130).
Flow cytometry testing of fixed and permeabilized human MCF7 cells with CTCF antibody at 1ug/million cells (blocked with goat sera); Red=cells alone, Green=isotype control, Blue= CTCF antibody.
Availability 1-3 business days
Species Reactivity Human, Mouse, Rat
Format Antigen affinity purified
Host Rabbit
Clonality Polyclonal (rabbit origin)
Isotype Rabbit IgG
Purity Antigen affinity
Buffer Lyophilized from 1X PBS with 2% Trehalose
UniProt P49711
Localization Nuclear
Applications Western Blot : 0.5-1ug/ml
Flow Cytometry : 1-3ug/million cells
Immunofluorescence : 5ug/ml
Limitations This CTCF antibody is available for research use only.
Review this product on BioCompare and get a $20 Amazon gift card

Related Products

  • Applications : WB
    Reactivity : Human, Rat
  • Applications : WB, ELISA (peptide)
    Reactivity : Human
    Pred. Reactivity : Cow, Dog, Mouse, Rat

Description

Transcriptional repressor CTCF also known as 11-zinc finger protein or CCCTC-binding factor is a transcription factor that in humans is encoded by the CTCF gene. This gene is a member of the BORIS + CTCF gene family and encodes a transcriptional regulator protein with 11 highly conserved zinc finger (ZF) domains. And this nuclear protein is able to use different combinations of the ZF domains to bind different DNA target sequences and proteins. Depending upon the context of the site, the protein can bind a histone acetyltransferase (HAT)-containing complex and function as a transcriptional activator or bind a histone deacetylase (HDAC)-containing complex and function as a transcriptional repressor. If the protein is bound to a transcriptional insulator element, it can block communication between enhancers and upstream promoters, thereby regulating imprinted expression. Mutations in this gene have been associated with invasive breast cancers, prostate cancers, and Wilms' tumors. Alternatively spliced transcript variants encoding different isoforms have been found for this gene.

Application Notes

Optimal dilution of the CTCF antibody should be determined by the researcher.

Immunogen

Amino acids 521-727 of human CTCF were used as the immunogen for the CTCF antibody.

Storage

After reconstitution, the CTCF antibody can be stored for up to one month at 4oC. For long-term, aliquot and store at -20oC. Avoid repeated freezing and thawing.

Cross
Bulk Quote Request Form
Name*:
Organization*:
Email*:
Phone Number*:
Catalog No.*:
Comments and Specifics(amount, formulation, etc.)*:
Validation code: Captchapackage Image


Can't read the image? click here to refresh.
    *required field

Your bulk quote request has been submitted successfully!

Please contact us if you have any questions.