• Tel: 858.663.9055
  • SeparatorEmail: info@nsjbio.com
  • Tel: 858.663.9055
  • Email: info@nsjbio.com
Home >> Antibodies >> CSNK1A1 Antibody

CSNK1A1 Antibody (R32112)

  Catalog No Formulation Size Price (USD)  
Image R32112 0.5mg/ml if reconstituted with 0.2ml sterile DI water 100 ug 449
Bulk quote request
Western blot testing of 1) rat brain, 2) rat kidney, 3) mouse kidney and 4) human HeLa lysate with CSNK1A1 antibody. Expected/observed molecular weight ~39 kDa.
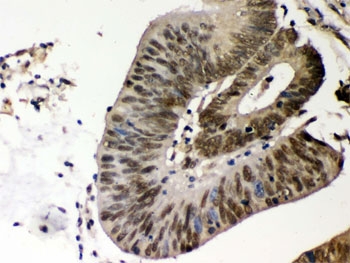
IHC testing of FFPE human intestinal cancer tissue with CSNK1A1 antibody. HIER: Boil the paraffin sections in pH 6, 10mM citrate buffer for 20 minutes and allow to cool prior to staining.
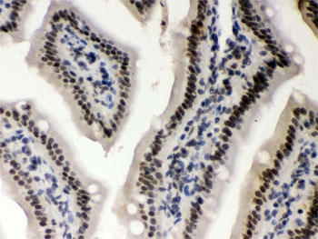
IHC testing of FFPE mouse intestine with CSNK1A1 antibody. HIER: Boil the paraffin sections in pH 6, 10mM citrate buffer for 20 minutes and allow to cool prior to staining.
IHC testing of FFPE rat intestine with CSNK1A1 antibody. HIER: Boil the paraffin sections in pH 6, 10mM citrate buffer for 20 minutes and allow to cool prior to staining.
Availability 1-3 business days
Species Reactivity Human, Mouse, Rat
Format Antigen affinity purified
Host Rabbit
Clonality Polyclonal (rabbit origin)
Isotype Rabbit IgG
Purity Antigen affinity
Buffer Lyophilized from 1X PBS with 2.5% BSA and 0.025% sodium azide
UniProt P48729
Localization Nuclear (CK1alphaL variant), Cytoplasmic (CK1alpha variant)
Applications Western Blot : 0.1-0.5ug/ml
IHC (FFPE) : 0.5-1ug/ml
Limitations This CSNK1A1 antibody is available for research use only.
Review this product on BioCompare and get a $20 Amazon gift card

Description

Casein kinase I isoform alpha is an enzyme that in humans is encoded by the CSNK1A1 gene. The CSNK1A1 gene is mapped to chromosome 5q32 based on an alignment of the CSNK1A1 sequence with the genomic sequence (GRCh37). It is reported that both screens identified CK1-alpha as a bifunctional regulator of NF-kappa-B. CK1-alpha dynamically associates with the CBM complex on T cell receptor engagement to participate in cytokine production and lymphocyte proliferation. However, CK1-alpha kinase activity has a contrasting role by subsequently promoting the phosphorylation and inactivation of CARMA1. CK1-alpha has thus a dual 'gating' function which first promotes and then terminates receptor-induced NF-kappa-B. ABC DLBCL cells required CK1-alpha for constitutive NF-kappa-B activity, indicating that CK1-alpha functions as a conditionally essential malignancy gene.

Application Notes

Optimal dilution of the CSNK1A1 antibody should be determined by the researcher.

Immunogen

Amino acids DIYLAINITNGEEVAVKLESQKARHPQLLYESKLYKILQ of human CSNK1A1 were used as the immunogen for the CSNK1A1 antibody.

Storage

After reconstitution, the CSNK1A1 antibody can be stored for up to one month at 4oC. For long-term, aliquot and store at -20oC. Avoid repeated freezing and thawing.

Cross
Bulk Quote Request Form
Name*:
Organization*:
Email*:
Phone Number*:
Catalog No.*:
Comments and Specifics(amount, formulation, etc.)*:
Validation code: Captchapackage Image


Can't read the image? click here to refresh.
    *required field

Your bulk quote request has been submitted successfully!

Please contact us if you have any questions.