• Tel: 858.663.9055
  • SeparatorEmail: info@nsjbio.com
  • Tel: 858.663.9055
  • Email: info@nsjbio.com
Home >> Antibodies >> CSK Antibody

CSK Antibody (R33934)

  Catalog No Formulation Size Price (USD)  
Image R33934-100UG 0.5 mg/ml in 1X TBS, pH7.3, with 0.5% BSA (US sourced) and 0.02% sodium azide 100 ug 475
Bulk quote request
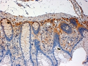
IHC staining of FFPE human colon with CSK antibody at 4ug/ml. HIER: steamed with pH6 citrate buffer, HRP-staining.
Western blot testing of Jurkat lysate with CSK antibody at 0.5ug/ml. Predicted molecular weight: ~50 kDa.
Western blot of mouse spleen lysate with CSK antibody at 1ug/ml. Predicted molecular weight: ~50 kDa.
Availability 1-3 business days
Species Reactivity Human, Mouse
Predicted Reactivity Cow, Dog, Rat
Format Antigen affinity purified
Host Goat
Clonality Polyclonal (goat origin)
Isotype Goat Ig
Purity Antigen affinity
Gene ID 1445
Applications Western Blot : 1-3ug/ml
Immunohistochemistry (FFPE) : 3-6ug/ml
ELISA (peptide) LOD : 1:32000
Limitations This CSK antibody is available for research use only.
Review this product on BioCompare and get a $20 Amazon gift card

Related Products

  • Applications : WB, IHC-P
    Reactivity : Human, Mouse, Rat
  • Applications : WB, IHC, ELISA (peptide)
    Reactivity : Human, Mouse, Rat
    Pred. Reactivity : Cow, Dog

Description

Additional name(s) for this target protein: C-src tyrosine kinase

Application Notes

Optimal dilution of the CSK antibody should be determined by the researcher.

Immunogen

Amino acids EQLEHIKTHELHL were used as the immunogen for this CSK antibody.

Storage

Aliquot and store the CSK antibody at -20oC.

Cross
Bulk Quote Request Form
Name*:
Organization*:
Email*:
Phone Number*:
Catalog No.*:
Comments and Specifics(amount, formulation, etc.)*:
Validation code: Captchapackage Image


Can't read the image? click here to refresh.
    *required field

Your bulk quote request has been submitted successfully!

Please contact us if you have any questions.