• Tel: 858.663.9055
  • SeparatorEmail: info@nsjbio.com
  • Tel: 858.663.9055
  • Email: info@nsjbio.com
Home >> Antibodies >> Csf1r Antibody

Csf1r Antibody (F43354)

  Catalog No Formulation Size Price (USD)  
Image F43354-0.4ML In 1X PBS, pH 7.4, with 0.09% sodium azide 0.4 ml 439
Image
F43354-0.08ML In 1X PBS, pH 7.4, with 0.09% sodium azide 0.08 ml 205
Bulk quote request
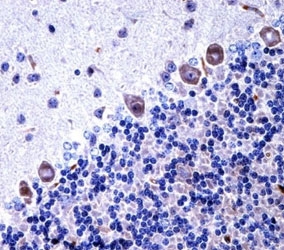
Csf1r antibody immunohistochemistry analysis in formalin fixed and paraffin embedded mouse cerebellum tissue.
Csf1r antibody western blot analysis in mouse heart tissue lysate. Predicted molecular weight: 106-116 kDa.
Csf1r antibody western blot analysis in 1) mouse skeletal muscle, 2) mouse heart and 3) rat skeletal muscle tissue lysate. Predicted molecular weight: 106-116 kDa.
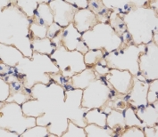
IHC testing of FFPE mouse lung tissue with Csf1r antibody at 1:25 dilution. HIER: steamed antigen retrieval with pH6 citrate buffer.
Immunofluorescent staining of PFA-fixed mouse NIH-3T3 cells with Csf1r antibody (green), Phalloidin (red) and DAPI nuclear stain (blue).
Western blot testing of 1) mouse heart, 2) mouse skeletal muscle and 3) rat skeletal muscle lysate with Csf1r antibody. Predicted molecular weight: 106-116 kDa.
Availability 1-3 business days
Species Reactivity Mouse, Rat
Format Antigen affinity purified
Host Rabbit
Clonality Polyclonal (rabbit origin)
Isotype Rabbit Ig
Purity Antigen affinity
UniProt P09581
Localization Cell membrane
Applications Western Blot : 1:1000
Immunohistochemistry (FFPE) : 1:10-1:50
Immunofluorescence : 1:25
Limitations This Csf1r antibody is available for research use only.
Review this product on BioCompare and get a $20 Amazon gift card

Related Products

Description

Csf1r is a protein tyrosine-kinase transmembrane receptor for CSF1 and IL34.

Application Notes

Titration of the Csf1r antibody may be required due to differences in protocols and secondary/substrate sensitivity.

Immunogen

A portion of amino acids 895-923 from the mouse protein was used as the immunogen for this Csf1r antibody.

Storage

Aliquot the Csf1r antibody and store frozen at -20oC or colder. Avoid repeated freeze-thaw cycles.

Cross
Bulk Quote Request Form
Name*:
Organization*:
Email*:
Phone Number*:
Catalog No.*:
Comments and Specifics(amount, formulation, etc.)*:
Validation code: Captchapackage Image


Can't read the image? click here to refresh.
    *required field

Your bulk quote request has been submitted successfully!

Please contact us if you have any questions.