• Tel: 858.663.9055
  • SeparatorEmail: info@nsjbio.com
  • Tel: 858.663.9055
  • Email: info@nsjbio.com
Home >> Antibodies >> CS1 Antibody / SLAMF7

CS1 Antibody / SLAMF7 [clone SLAMF7/13123] (V5978)

  Catalog No Formulation Size Price (USD)  
Image V5978-100UG 0.2 mg/ml in 1X PBS with 0.05% BSA, 0.05% sodium azide 100 ug 559
Image
V5978-20UG 0.2 mg/ml in 1X PBS with 0.05% BSA, 0.05% sodium azide 20 ug 259
Image
V5978SAF-100UG 1 mg/ml in 1X PBS; BSA free, sodium azide free 100 ug 559
Bulk quote request
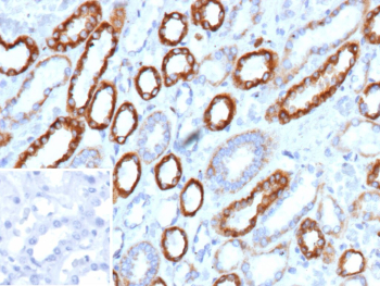
Immunohistochemistry analysis of CS1/SLAMF7 antibody in human kidney tissue. FFPE human kidney tissue shows distinct membranous and cytoplasmic staining in renal tubular epithelial cells using CS1/SLAMF7 antibody (clone SLAMF7/13123). The staining pattern highlights epithelial cell borders with strong apical and lateral membrane localization. Inset: PBS was used instead of primary antibody as a negative control. Heat induced epitope retrieval was performed in 10mM Tris with 1mM EDTA, pH 9.0, for 45 min at 95oC followed by cooling at RT for 20 minutes.
Immunohistochemistry analysis of CS1/SLAMF7 antibody in human colon tissue. FFPE human colon tissue demonstrates membranous and cytoplasmic staining within glandular epithelial cells using CS1/SLAMF7 antibody (clone SLAMF7/13123). Positive signal outlines glandular structures with clear epithelial cell membrane accentuation. Inset: PBS was used instead of primary antibody as a negative control. Heat induced epitope retrieval was performed in 10mM Tris with 1mM EDTA, pH 9.0, for 45 min at 95oC followed by cooling at RT for 20 minutes.
SDS-PAGE Analysis of Purified CS1/SLAMF7 antibody (SLAMF7/13123). Confirmation of Purity and Integrity of Antibody.
Species Reactivity Human
Format Purified
Host Mouse
Clonality Monoclonal (mouse origin)
Isotype Mouse IgG, kappa
Clone Name SLAMF7/13123
UniProt Q9NQ25
Localization Membrane
Applications Immunohistochemistry (FFPE) : 1-2ug/ml
Limitations This CS1/SLAMF7 antibody is available for research use only.
Review this product on BioCompare and get a $20 Amazon gift card

Related Products

Description

SLAMF7/CS1 antibody recognizes Signaling Lymphocytic Activation Molecule Family Member 7, a type I transmembrane glycoprotein encoded by the SLAMF7 gene and commonly referred to as CD319 and CRACC. CS1 is a member of the SLAM family within the immunoglobulin superfamily and is primarily expressed on natural killer cells, subsets of activated T lymphocytes, mature dendritic cells, and plasma cells. The protein is localized to the plasma membrane, where it mediates homotypic interactions and immune cell signaling through immunoreceptor tyrosine-based switch motifs in its cytoplasmic domain. These motifs recruit adaptor proteins such as EAT-2, enabling downstream activation of cytotoxic and adhesion pathways.

Functionally, CS1 plays a key role in regulating innate and adaptive immune responses. Engagement of SLAMF7 enhances natural killer cell cytotoxicity and cytokine production, contributing to immune surveillance and tumor cell elimination. In plasma cells, CS1 supports cell adhesion and survival signaling, which has important implications in plasma cell neoplasms. High and consistent expression of SLAMF7 in multiple myeloma has made CS1 antibody an important research and diagnostic tool in hematopathology and immuno-oncology. Targeting CS1 has demonstrated clinical relevance in antibody-based therapeutic strategies designed to induce antibody-dependent cellular cytotoxicity against malignant plasma cells.

The SLAMF7 gene is located on chromosome 1q23 within a cluster of SLAM family genes involved in immune regulation. Expression is largely restricted to hematopoietic lineages, with minimal detection in most non-hematopoietic tissues. In formalin-fixed tissues, CS1 expression is typically observed as membranous staining in plasma cells and natural killer cell populations, consistent with its surface receptor localization. This restricted pattern supports its utility in distinguishing plasma cell neoplasms and evaluating immune cell subsets within lymphoid tissues.

This CS1 antibody (clone SLAMF7/13123) targets SLAMF7 in research applications. By enabling detection of CS1 expression, this antibody supports studies of immune cell activation, tumor microenvironment characterization, and plasma cell biology in normal and malignant tissues. By enabling reliable detection of CS1, this antibody supports studies of immune cell activation, tumor microenvironment characterization, and plasma cell biology in normal and malignant tissues.

Application Notes

Optimal dilution of the CS1/SLAMF7 antibody should be determined by the researcher.

Immunogen

A recombinant fragment (around amino acids 200-335) of human SLAMF7 protein (exact sequence is proprietary) was used as the immunogen for the CS1/SLAMF7 antibody.

Storage

CS1/SLAMF7 antibody with sodium azide - store at 2 to 8oC; antibody without sodium azide - store at -20 to -80oC.

Cross
Bulk Quote Request Form
Name*:
Organization*:
Email*:
Phone Number*:
Catalog No.*:
Comments and Specifics(amount, formulation, etc.)*:
Validation code: Captchapackage Image


Can't read the image? click here to refresh.
    *required field

Your bulk quote request has been submitted successfully!

Please contact us if you have any questions.