• Tel: 858.663.9055
  • SeparatorEmail: info@nsjbio.com
  • Tel: 858.663.9055
  • Email: info@nsjbio.com
Home >> Antibodies >> Crystallin Alpha B Antibody / Molecular Chaperone Protein

Crystallin Alpha B Antibody / Molecular Chaperone Protein [clone CRYAB/4665] (V4142)

  Catalog No Formulation Size Price (USD)  
Image V4142-100UG 0.2 mg/ml in 1X PBS with 0.1 mg/ml BSA (US sourced), 0.05% sodium azide 100 ug 559
Image
V4142-20UG 0.2 mg/ml in 1X PBS with 0.1 mg/ml BSA (US sourced), 0.05% sodium azide 20 ug 259
Image
V4142SAF-100UG 1 mg/ml in 1X PBS; BSA free, sodium azide free 100 ug 559
Microvalidated
Bulk quote request
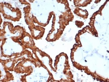
CRYAB Antibody Protein Folding IHC. Immunohistochemistry of Alpha B crystallin / CRYAB in FFPE human kidney cancer tissue using mouse monoclonal CRYAB antibody, clone CRYAB/4665. HRP-DAB brown staining highlights strong cytoplasmic labeling of tumor epithelial cells forming glandular and tubular structures, consistent with molecular chaperone activity and protein stabilization in malignant tissue, while surrounding stromal elements show minimal staining and nuclei are counterstained blue. Heat induced epitope retrieval was performed by boiling tissue sections in pH 9 10 mM Tris with 1 mM EDTA for 20 min followed by cooling prior to staining.
CRYAB Antibody Renal Epithelium IHC. Immunohistochemistry of Alpha B crystallin / CRYAB in FFPE human kidney tissue using mouse monoclonal CRYAB antibody, clone CRYAB/4665. HRP-DAB brown staining highlights cytoplasmic labeling of renal tubular epithelial cells, consistent with molecular chaperone function and protein stability within metabolically active tissue, while surrounding interstitial cells show minimal staining and nuclei are counterstained blue. Inset: PBS was used in place of primary antibody as a negative control to confirm specificity of staining. Heat induced epitope retrieval was performed by boiling tissue sections in pH 9 10 mM Tris with 1 mM EDTA for 20 min followed by cooling prior to staining.
CRYAB Antibody Chaperone Specificity Microarray. Protein microarray analysis of Alpha B crystallin / CRYAB using mouse monoclonal CRYAB antibody, clone CRYAB/4665, across a HuProt(TM) array containing more than 19,000 full-length human proteins demonstrates highly selective binding to CRYAB with minimal off-target interaction. The signal profile shows strong enrichment for CRYAB relative to other proteins on the array, supporting high specificity in the context of molecular chaperone research. Z-score represents the strength of antibody binding signal expressed as standard deviations above the mean array signal, while S-score reflects the separation between the top-ranked target and the next highest signal, confirming selective recognition of CRYAB in a proteome-wide assay.
CRYAB Antibody Renal Tissue WB. Western blot analysis of Alpha B crystallin / CRYAB in human kidney tissue lysate using mouse monoclonal CRYAB antibody, clone CRYAB/4665. A band is detected at approximately 20 kDa, consistent with the predicted molecular weight of CRYAB, supporting detection of this small heat shock protein involved in molecular chaperone function and protein stabilization in renal tissue.
Availability 1-3 business days
Species Reactivity Human
Format Purified
Host Mouse
Clonality Monoclonal (mouse origin)
Isotype Mouse IgG2, kappa
Clone Name CRYAB/4665
Purity Protein A/G affinity
UniProt P02511
Localization Cytoplasm, Nucleus
Applications Immunohistochemistry (FFPE) : 1-2ug/ml for 30 min at RT
Western Blot : 2-4ug/ml
Limitations This Crystallin Alpha B Antibody / Molecular Chaperone Protein is available for research use only.
Review this product on BioCompare and get a $20 Amazon gift card

Related Products

Description

Alpha B crystallin (CRYAB), also known as heat shock protein beta-5 (HSPB5), is a member of the small heat shock protein family that functions as a molecular chaperone, preventing protein aggregation and maintaining cellular protein stability. Crystallin Alpha B Antibody / Molecular Chaperone Protein (clone CRYAB/4665) is optimized for studies examining CRYAB’s role in protein folding and stabilization under both normal and stress conditions. CRYAB antibody, also referred to as Alpha B crystallin antibody in the literature, is widely used in research focused on proteostasis and chaperone-mediated cellular protection.

CRYAB acts by binding partially unfolded or misfolded proteins, preventing their aggregation and facilitating proper folding or degradation. This chaperone activity is essential for maintaining cellular homeostasis, particularly in environments where proteins are prone to denaturation due to stress or high metabolic demand. Unlike ATP-dependent chaperones, CRYAB functions in an ATP-independent manner, forming oligomeric complexes that interact with substrate proteins.

In addition to preventing aggregation, CRYAB interacts with cytoskeletal elements such as intermediate filaments, contributing to structural stability within the cell. These interactions are particularly important in tissues exposed to mechanical stress, where maintenance of cytoskeletal integrity is critical.

CRYAB is expressed in a wide range of tissues, including muscle, neural, and epithelial tissues, reflecting its fundamental role in protein quality control. In immunohistochemistry, it is typically observed as cytoplasmic staining consistent with its intracellular chaperone function.

Western blot analysis of CRYAB reveals a band at approximately 20 kDa, corresponding to its predicted molecular weight, supporting its detection in biochemical assays. Microarray validation confirms selective binding to CRYAB, supporting the specificity of this antibody in complex protein environments.

The mouse monoclonal clone CRYAB/4665 antibody provides reliable detection of CRYAB in research applications focused on molecular chaperone function, protein folding, and cellular proteostasis.

For a microarray-validated reference CRYAB antibody with confirmed specificity, see clone CRYAB/4657.

Application Notes

Optimal dilution of the Crystallin Alpha B Antibody / Molecular Chaperone Protein should be determined by the researcher.

Immunogen

Recombinant human full-length CRYAB protein was used as the immunogen for the Crystallin Alpha B antibody.

Storage

Aliquot the Crystallin Alpha B antibody and store frozen at -20oC or colder. Avoid repeated freeze-thaw cycles.

Alternate Names

Alpha B crystallin antibody, CRYAB antibody, HSPB5 antibody, Heat shock protein beta 5 antibody, Molecular chaperone antibody

Cross
Bulk Quote Request Form
Name*:
Organization*:
Email*:
Phone Number*:
Catalog No.*:
Comments and Specifics(amount, formulation, etc.)*:
Validation code: Captchapackage Image


Can't read the image? click here to refresh.
    *required field

Your bulk quote request has been submitted successfully!

Please contact us if you have any questions.