• Tel: 858.663.9055
  • SeparatorEmail: info@nsjbio.com
  • Tel: 858.663.9055
  • Email: info@nsjbio.com
Home >> Antibodies >> Crystallin Alpha B Antibody / Muscle Structural Stress Marker

Crystallin Alpha B Antibody / Muscle Structural Stress Marker [clone CRYAB/4663] (V4141)

  Catalog No Formulation Size Price (USD)  
Image V4141-100UG 0.2 mg/ml in 1X PBS with 0.1 mg/ml BSA (US sourced), 0.05% sodium azide 100 ug 559
Image
V4141-20UG 0.2 mg/ml in 1X PBS with 0.1 mg/ml BSA (US sourced), 0.05% sodium azide 20 ug 259
Image
V4141SAF-100UG 1 mg/ml in 1X PBS; BSA free, sodium azide free 100 ug 559
Microvalidated
Bulk quote request
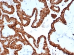
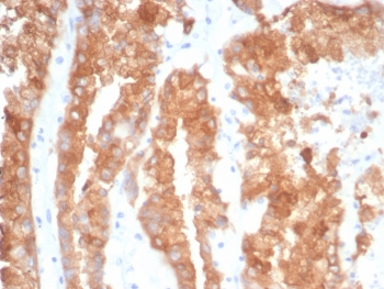
CRYAB Antibody Contractile Stress IHC. Immunohistochemistry of Alpha B crystallin / CRYAB in FFPE human prostate cancer tissue using mouse monoclonal CRYAB antibody, clone CRYAB/4663. HRP-DAB brown staining highlights cytoplasmic labeling of tumor epithelial cells forming glandular structures, with distribution consistent with cytoskeletal stress response and structural stabilization pathways, while surrounding stromal components show reduced staining and nuclei are counterstained blue. Heat induced epitope retrieval was performed by boiling tissue sections in pH 9 10 mM Tris with 1 mM EDTA for 20 min followed by cooling prior to staining.
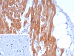
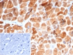
CRYAB Antibody Cardiac Muscle IHC. Immunohistochemistry of Alpha B crystallin / CRYAB in FFPE human heart tissue using mouse monoclonal CRYAB antibody, clone CRYAB/4663. HRP-DAB brown staining highlights strong cytoplasmic labeling of cardiomyocytes with a striated pattern consistent with contractile architecture and muscle structural stress response, while interstitial cells show minimal staining and nuclei are counterstained blue. Inset: PBS was used in place of primary antibody as a negative control to confirm specificity of staining. Heat induced epitope retrieval was performed by boiling tissue sections in pH 9 10 mM Tris with 1 mM EDTA for 20 min followed by cooling prior to staining.
CRYAB Antibody Muscle Specificity Microarray. Protein microarray analysis of Alpha B crystallin / CRYAB using mouse monoclonal CRYAB antibody, clone CRYAB/4663, across a HuProt(TM) array containing more than 19,000 full-length human proteins demonstrates highly selective binding to CRYAB with minimal off-target interaction. The signal profile shows strong enrichment for CRYAB relative to other proteins, supporting high specificity in the context of muscle structural stress research. Z-score represents the strength of antibody binding signal expressed as standard deviations above the mean array signal, while S-score reflects the separation between the top-ranked target and the next highest signal, confirming selective recognition of CRYAB in a proteome-wide assay.
CRYAB Antibody Muscle Stress WB. Western blot analysis of Alpha B crystallin / CRYAB in human kidney tissue lysate using mouse monoclonal CRYAB antibody, clone CRYAB/4663. A band is detected at approximately 20 kDa, consistent with the predicted molecular weight of CRYAB, supporting detection of this small heat shock protein involved in cytoskeletal stabilization and structural stress response.
Availability 1-3 business days
Species Reactivity Human
Format Purified
Host Mouse
Clonality Monoclonal (mouse origin)
Isotype Mouse IgG1, kappa
Clone Name CRYAB/4663
Purity Protein A/G affinity
UniProt P02511
Localization Cytoplasm, Nucleus
Applications Immunohistochemistry (FFPE) : 1-2ug/ml for 30 min at RT
Western Blot : 2-4ug/ml
Limitations This Crystallin Alpha B Antibody / Muscle Structural Stress Marker is available for research use only.
Review this product on BioCompare and get a $20 Amazon gift card

Related Products

Description

Alpha B crystallin (CRYAB), also known as heat shock protein beta-5 (HSPB5), is a small heat shock protein that plays a critical role in maintaining structural integrity in muscle and contractile tissues. Crystallin Alpha B Antibody / Muscle Structural Stress Marker (clone CRYAB/4663) is designed for studies examining CRYAB expression in muscle biology, where it functions as both a molecular chaperone and a stabilizer of cytoskeletal elements. CRYAB antibody, also referred to as Alpha B crystallin antibody in the literature, is widely used in investigations of muscle physiology and stress adaptation.

CRYAB is highly expressed in skeletal and cardiac muscle, where it associates with intermediate filaments such as desmin, contributing to the maintenance of sarcomeric organization and resistance to mechanical stress. This interaction helps preserve muscle fiber integrity during contraction and protects against damage induced by physical strain.

In addition to its structural role, CRYAB functions as a stress-responsive protein in muscle tissue, preventing aggregation of damaged proteins and supporting recovery from stress. Its expression is often increased in response to mechanical load, injury, or disease, reflecting its protective function in maintaining muscle homeostasis.

In immunohistochemistry, CRYAB is observed as strong cytoplasmic staining in muscle fibers, often displaying a striated pattern consistent with its association with contractile structures. This staining pattern provides a useful marker for identifying muscle tissue and assessing structural integrity.

Western blot analysis detects CRYAB at approximately 20 kDa, consistent with its predicted molecular weight, supporting its identification in biochemical assays. Microarray validation confirms selective binding to CRYAB, ensuring specificity in detection across complex samples.

The mouse monoclonal clone CRYAB/4663 antibody provides reliable detection of CRYAB in muscle tissues and related applications. Its emphasis on structural and stress-related functions in muscle makes it particularly useful for studies of muscle biology, cytoskeletal organization, and tissue integrity.

For a microarray-validated reference CRYAB antibody with confirmed specificity, see clone CRYAB/4657.

Application Notes

Optimal dilution of the Crystallin Alpha B Antibody / Muscle Structural Stress Marker should be determined by the researcher.

Immunogen

Recombinant human full-length CRYAB protein was used as the immunogen for the Crystallin Alpha B antibody.

Storage

Aliquot the Crystallin Alpha B antibody and store frozen at -20oC or colder. Avoid repeated freeze-thaw cycles.

Alternate Names

Alpha B crystallin antibody, CRYAB antibody, HSPB5 antibody, Muscle stress protein antibody, Heat shock protein beta 5 antibody

Cross
Bulk Quote Request Form
Name*:
Organization*:
Email*:
Phone Number*:
Catalog No.*:
Comments and Specifics(amount, formulation, etc.)*:
Validation code: Captchapackage Image


Can't read the image? click here to refresh.
    *required field

Your bulk quote request has been submitted successfully!

Please contact us if you have any questions.