• Tel: 858.663.9055
  • SeparatorEmail: info@nsjbio.com
  • Tel: 858.663.9055
  • Email: info@nsjbio.com
Home >> Antibodies >> Cryptochrome I Antibody

Cryptochrome I Antibody (R32242)

  Catalog No Formulation Size Price (USD)  
Image R32242 0.5mg/ml if reconstituted with 0.2ml sterile DI water 100 ug 449
Bulk quote request
Western blot testing of 1) rat brain, 2) rat testis, 3) human HeLa lysate with Cryptochrome I antibody. Predicted/observed molecular weight ~66 kDa.
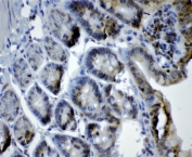
IHC staining of FFPE mouse intestine with Cryptochrome I antibody at 1ug/ml. HIER: boil tissue sections in pH6, 10mM citrate buffer, for 10-20 min followed by cooling at RT for 20 min.
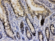
IHC staining of FFPE rat intestine with Cryptochrome I antibody at 1ug/ml. HIER: boil tissue sections in pH6, 10mM citrate buffer, for 10-20 min followed by cooling at RT for 20 min.
IHC staining of FFPE rat intestine with Cryptochrome I antibody at 1ug/ml. HIER: boil tissue sections in pH6, 10mM citrate buffer, for 10-20 min followed by cooling at RT for 20 min.
Availability 1-3 business days
Species Reactivity Human, Rat
Format Antigen affinity purified
Host Rabbit
Clonality Polyclonal (rabbit origin)
Isotype Rabbit IgG
Purity Antigen affinity
Buffer Lyophilized from 1X PBS with 2.5% BSA and 0.025% sodium azide
UniProt Q16526
Localization Nuclear and cytoplasmic
Applications Western Blot : 0.1-0.5ug/ml
IHC (FFPE) : 1-2ug/ml
Limitations This Cryptochrome I antibody is available for research use only.
Review this product on BioCompare and get a $20 Amazon gift card

Description

This gene encodes a flavin adenine dinucleotide-binding protein that is a key component of the circadian core oscillator complex, which regulates the circadian clock. And this gene is upregulated by CLOCK/ARNTL heterodimers but then represses this upregulation in a feedback loop using PER/CRY heterodimers to interact with CLOCK/ARNTL. Polymorphisms in this gene have been associated with altered sleep patterns. The encoded protein is widely conserved across plants and animals. Loss of the related gene in mouse results in a shortened circadian cycle in complete darkness.

Application Notes

Optimal dilution of the Cryptochrome I antibody should be determined by the researcher.

Immunogen

Amino acids FQTLISKMEPLEIPVETITSEVIEKCTTPLSDDHDEK of human Cryptochrome I were used as the immunogen for the Cryptochrome I antibody.

Storage

After reconstitution, the Cryptochrome I antibody can be stored for up to one month at 4oC. For long-term, aliquot and store at -20oC. Avoid repeated freezing and thawing.

Cross
Bulk Quote Request Form
Name*:
Organization*:
Email*:
Phone Number*:
Catalog No.*:
Comments and Specifics(amount, formulation, etc.)*:
Validation code: Captchapackage Image


Can't read the image? click here to refresh.
    *required field

Your bulk quote request has been submitted successfully!

Please contact us if you have any questions.