• Tel: 858.663.9055
  • SeparatorEmail: info@nsjbio.com
  • Tel: 858.663.9055
  • Email: info@nsjbio.com
Home >> Antibodies >> Cryptochrome 2 Antibody / CRY2

Cryptochrome 2 Antibody / CRY2 (F54841)

  Catalog No Formulation Size Price (USD)  
Image F54841-0.4ML In 1X PBS, pH 7.4, with 0.09% sodium azide 0.4 ml 439
Image
F54841-0.08ML In 1X PBS, pH 7.4, with 0.09% sodium azide 0.08 ml 205
Bulk quote request
Western blot testing of 1) mouse liver and 2) human HepG2 cell lysate with Cryptochrome 2 antibody. Predicted molecular weight ~67 kDa.
Western blot testing of human 1) heart, 2) skeletal muscle and 3) liver tissue lysate with Cryptochrome 2 antibody. Predicted molecular weight ~67 kDa.
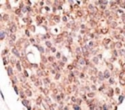
IHC testing of FFPE human cancer tissue with Cryptochrome 2 antibody. HIER: steam section in pH6 citrate buffer for 20 min and allow to cool prior to staining.
Availability 1-3 business days
Species Reactivity Human, Mouse
Format Purified
Host Rabbit
Clonality Polyclonal (rabbit origin)
Isotype Rabbit Ig
Purity Purified
UniProt Q49AN0
Localization Cytoplasmic, nuclear
Applications Western Blot : 1:500-1:1000
Immunohistochemistry (FFPE) : 1:50-1:100
Limitations This Cryptochrome 2 antibody is available for research use only.
Review this product on BioCompare and get a $20 Amazon gift card

Related Products

Description

Transcriptional repressor which forms a core component of the circadian clock. [UniProt]

Application Notes

The stated application concentrations are suggested starting points. Titration of the Cryptochrome 2 antibody may be required due to differences in protocols and secondary/substrate sensitivity.

Immunogen

A portion of amino acids 564-593 from the human protein was used as the immunogen for the Cryptochrome 2 antibody.

Storage

Aliquot the Cryptochrome 2 antibody and store frozen at -20oC or colder. Avoid repeated freeze-thaw cycles.

Cross
Bulk Quote Request Form
Name*:
Organization*:
Email*:
Phone Number*:
Catalog No.*:
Comments and Specifics(amount, formulation, etc.)*:
Validation code: Captchapackage Image


Can't read the image? click here to refresh.
    *required field

Your bulk quote request has been submitted successfully!

Please contact us if you have any questions.