• Tel: 858.663.9055
  • SeparatorEmail: info@nsjbio.com
  • Tel: 858.663.9055
  • Email: info@nsjbio.com
Home >> Antibodies >> CRYAB Antibody / Alpha B Crystallin Microarray Specificity Validated Antibody

CRYAB Antibody / Alpha B Crystallin Microarray Specificity Validated Antibody [clone CRYAB/4657] (V4188)

  Catalog No Formulation Size Price (USD)  
Image V4188-100UG 0.2 mg/ml in 1X PBS with 0.1 mg/ml BSA (US sourced), 0.05% sodium azide 100 ug 559
Image
V4188-20UG 0.2 mg/ml in 1X PBS with 0.1 mg/ml BSA (US sourced), 0.05% sodium azide 20 ug 259
Image
V4188SAF-100UG 1 mg/ml in 1X PBS; BSA free, sodium azide free 100 ug 559
Microvalidated
Bulk quote request
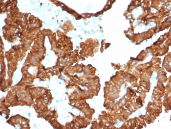
CRYAB Antibody Renal Tumor IHC. Immunohistochemistry of Alpha B crystallin / CRYAB in FFPE human kidney cancer tissue using mouse monoclonal CRYAB antibody, clone CRYAB/4657. HRP-DAB brown staining highlights strong cytoplasmic labeling of tumor epithelial cells forming glandular and tubular structures, consistent with stress-associated chaperone protein expression in malignant tissue, while surrounding stromal elements show minimal staining and nuclei are counterstained blue. Heat induced epitope retrieval was performed by boiling tissue sections in pH 9 10 mM Tris with 1 mM EDTA for 20 min followed by cooling prior to staining.
CRYAB Antibody Skeletal Muscle IHC. Immunohistochemistry of Alpha B crystallin / CRYAB in FFPE human skeletal muscle tissue using mouse monoclonal CRYAB antibody, clone CRYAB/4657. HRP-DAB brown staining highlights strong cytoplasmic labeling of myofibers with a striated pattern, consistent with the role of CRYAB as a stress-responsive chaperone protein in muscle cells, while surrounding connective tissue shows minimal staining and nuclei are counterstained blue. Inset: PBS was used in place of primary antibody as a negative control to confirm specificity of staining. Heat induced epitope retrieval was performed by boiling tissue sections in pH 9 10 mM Tris with 1 mM EDTA for 20 min followed by cooling prior to staining.
CRYAB Antibody HeLa WB. Western blot analysis of Alpha B crystallin / CRYAB in human HeLa cell lysate using mouse monoclonal CRYAB antibody, clone CRYAB/4657. A band is detected at approximately 20 kDa, consistent with the predicted molecular weight of CRYAB, supporting detection of this small heat shock protein in epithelial-derived cells.
CRYAB Antibody Microarray Specificity Validation. Protein microarray analysis of Alpha B crystallin / CRYAB using mouse monoclonal CRYAB antibody, clone CRYAB/4657, across a HuProt(TM) array containing more than 19,000 full-length human proteins demonstrates highly selective binding to CRYAB, with minimal reactivity toward non-target proteins. Signal intensity is strongly enriched for CRYAB relative to other proteins on the array, supporting high specificity. Z-score represents the strength of antibody binding signal expressed as standard deviations above the mean array signal, while S-score reflects the separation between the top-ranked target and the next highest signal, indicating relative target specificity and confirming selective recognition of CRYAB in a proteome-wide context.
Availability 1-3 business days
Species Reactivity Human
Format Purified
Host Mouse
Clonality Monoclonal (mouse origin)
Isotype Mouse IgG2, kappa
Clone Name CRYAB/4657
Purity Protein A/G affinity
UniProt P02511
Localization Cytoplasm, Nucleus
Applications Western Blot : 1-2ug/ml
Immunohistochemistry (FFPE) : 1-2ug/ml for 30 minutes at RT
Limitations This CRYAB Antibody / Alpha B Crystallin Microarray Specificity Validated Antibody is available for research use only.
Review this product on BioCompare and get a $20 Amazon gift card

Related Products

Description

Alpha B crystallin (CRYAB), also known as heat shock protein beta-5 (HSPB5), is a member of the small heat shock protein family that functions as a molecular chaperone involved in protein folding, stress protection, and cytoskeletal stabilization. CRYAB Antibody / Alpha B Crystallin Microarray Specificity Validated Antibody (clone CRYAB/4657) is designed as a high-confidence reference antibody for detection of CRYAB, combining biochemical validation with proteome-wide specificity assessment. CRYAB antibody, also referred to as Alpha B crystallin antibody in the literature, is widely used in studies of stress response, muscle biology, and protein homeostasis.

CRYAB is expressed in a variety of tissues, with particularly high levels in muscle, cardiac tissue, and the ocular lens, where it contributes to structural integrity and protection against protein aggregation. As a molecular chaperone, CRYAB binds partially unfolded proteins, preventing aggregation and facilitating proper folding under stress conditions such as heat shock, oxidative stress, and mechanical strain.

Functionally, CRYAB plays a central role in maintaining cellular protein stability and protecting cells from stress-induced damage. It interacts with cytoskeletal elements including intermediate filaments, helping to preserve cellular architecture under adverse conditions. This chaperone activity is critical in tissues exposed to mechanical and metabolic stress, such as muscle and neural tissue.

In immunohistochemistry, CRYAB is typically observed in cytoplasmic compartments of cells within muscle and epithelial tissues, where it reflects its role in protein stabilization and stress response. Western blot analysis commonly reveals a band at approximately 20 kDa, consistent with the expected molecular weight of CRYAB.

A defining feature of this antibody is its validation using protein microarray analysis across thousands of human proteins, demonstrating selective binding to CRYAB with minimal off-target interaction. This provides strong evidence of specificity and supports its use as a reference reagent for accurate protein detection in complex samples.

The mouse monoclonal clone CRYAB/4657 antibody provides reliable and specific detection of CRYAB in research applications. Its combination of microarray-confirmed specificity and robust performance in western blot and immunohistochemistry makes it well suited as an anchor antibody for studies of protein folding, stress response, and cytoskeletal stability.

This antibody is part of a broader antibody panel offered by NSJ Bioreagents.

Application Notes

Optimal dilution of the CRYAB Antibody / Alpha B Crystallin Microarray Specificity Validated Antibody should be determined by the researcher.

Immunogen

Recombinant human full-length Alpha B Crystallin protein was used as the immunogen for the CRYAB antibody.

Storage

Aliquot the CRYAB antibody and store frozen at -20oC or colder. Avoid repeated freeze-thaw cycles.

Alternate Names

Alpha B crystallin antibody, CRYAB protein antibody, Heat shock protein beta 5 antibody, HSPB5 antibody, Small heat shock protein antibody

Cross
Bulk Quote Request Form
Name*:
Organization*:
Email*:
Phone Number*:
Catalog No.*:
Comments and Specifics(amount, formulation, etc.)*:
Validation code: Captchapackage Image


Can't read the image? click here to refresh.
    *required field

Your bulk quote request has been submitted successfully!

Please contact us if you have any questions.