• Tel: 858.663.9055
  • SeparatorEmail: info@nsjbio.com
  • Tel: 858.663.9055
  • Email: info@nsjbio.com
Home >> Antibodies >> CRYAB Antibody / Alpha-crystallin B chain

CRYAB Antibody / Alpha-crystallin B chain [clone rG2JF] (V5866)

  Catalog No Formulation Size Price (USD)  
Image V5866-100UG 0.2 mg/ml in 1X PBS with 0.05% BSA, 0.05% sodium azide 100 ug 559
Image
V5866-20UG 0.2 mg/ml in 1X PBS with 0.05% BSA, 0.05% sodium azide 20 ug 259
Image
V5866SAF-100UG 1 mg/ml in 1X PBS; BSA free, sodium azide free 100 ug 559
Microvalidated Recmousemono
Bulk quote request
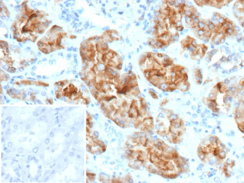
Immunohistochemistry analysis of CRYAB in human kidney tissue. Formalin-fixed, paraffin-embedded human kidney tissue was stained using recombinant CRYAB/Alpha-crystallin B chain antibody (clone rG2JF), showing cytoplasmic staining in renal tubular epithelial cells consistent with stress-associated CRYAB expression. Antigen retrieval was performed by heating tissue sections in 10 mM Tris with 1 mM EDTA, pH 9.0, at 95oC for 45 minutes, followed by cooling at room temperature for 20 minutes. Inset shows PBS substituted for the primary antibody as a secondary-only negative control.
SDS-PAGE Analysis of recombinant Alpha-crystallin B chain antibody (clone rG2JF). Confirmation of Purity and Integrity of Antibody.
Species Reactivity Human
Format Purified
Host Mouse
Clonality Recombinant Mouse Monoclonal
Isotype Mouse IgG1, kappa
Clone Name rG2JF
UniProt P02511
Localization Cytoplasm
Applications Immunohistochemistry (FFPE) : 1-2ug/ml
Western Blot : 2-4ug/ml
Limitations This CRYAB/Alpha-crystallin B chain antibody is available for research use only.
Review this product on BioCompare and get a $20 Amazon gift card

Related Products

Description

CRYAB antibody targets Alpha-crystallin B chain, a small heat shock protein encoded by the CRYAB gene and widely expressed across many tissues. Alpha-crystallin B chain is a member of the small heat shock protein family and functions primarily as a molecular chaperone that stabilizes unfolded or stress-damaged proteins, preventing their aggregation under conditions such as oxidative stress, heat shock, and mechanical strain. CRYAB antibody is commonly used to study cellular stress responses and protein homeostasis mechanisms.

Alpha-crystallin B chain is localized predominantly in the cytoplasm, with additional presence in the nucleus and cytoskeleton depending on cell type and stress state. It is highly expressed in lens tissue, cardiac and skeletal muscle, and glial cells, where it contributes to structural stability and cellular resilience. In muscle and neural tissues, Alpha-crystallin B chain associates with intermediate filaments, including desmin and GFAP, supporting cytoskeletal integrity during mechanical or metabolic stress. CRYAB antibody detection is therefore relevant for studies examining cytoskeletal dynamics and stress-adaptive remodeling.

Functionally, Alpha-crystallin B chain acts as an ATP-independent chaperone that binds partially unfolded proteins, maintaining them in a refoldable state and limiting toxic aggregation. It participates in multiple signaling pathways related to apoptosis, inflammation, and cellular survival by interacting with key regulatory proteins. Through these interactions, Alpha-crystallin B chain helps modulate cell fate decisions during stress exposure, making CRYAB antibody reagents useful for investigating protective stress-response networks in both normal and diseased tissues.

Dysregulation of Alpha-crystallin B chain expression has been associated with a variety of pathological conditions. Elevated CRYAB expression is frequently observed in neurodegenerative disorders, myopathies, cardiomyopathies, and multiple cancer types, where it may contribute to tumor cell survival and therapy resistance. Conversely, loss-of-function mutations in CRYAB are linked to desmin-related myopathy and certain inherited cataracts. These disease associations highlight the value of recombinant CRYAB antibody tools for research into protein aggregation disorders, muscle disease, neurodegeneration, and cancer biology.

Clone rG2JF is designed to recognize Alpha-crystallin B chain in research applications. CRYAB antibody reagents are suitable for detecting protein expression and localization in tissue sections and cell-based models, supporting studies of stress adaptation, cytoskeletal stability, and disease-associated protein misfolding. CRYAB antibody use is particularly informative in contexts where cellular resistance to stress and apoptosis is under investigation.

For a microarray-validated reference CRYAB antibody with confirmed specificity, see clone CRYAB/4657.

Application Notes

1. Optimal dilution of the CRYAB/Alpha-crystallin B chain antibody should be determined by the researcher.

2. This CRYAB/Alpha-crystallin B chain antibody is recombinantly produced by expression in CHO cells.

Immunogen

A synthetic peptide hemocyanin conjugate corresponding to human alpha B crystallin amino acids 1 to 10 was used as the immunogen for the CRYAB/Alpha-crystallin B chain antibody.

Storage

CRYAB/Alpha-crystallin B chain antibody with sodium azide - store at 2 to 8oC; antibody without sodium azide - store at -20 to -80oC.

Cross
Bulk Quote Request Form
Name*:
Organization*:
Email*:
Phone Number*:
Catalog No.*:
Comments and Specifics(amount, formulation, etc.)*:
Validation code: Captchapackage Image


Can't read the image? click here to refresh.
    *required field

Your bulk quote request has been submitted successfully!

Please contact us if you have any questions.