• Tel: 858.663.9055
  • SeparatorEmail: info@nsjbio.com
  • Tel: 858.663.9055
  • Email: info@nsjbio.com
Home >> Antibodies >> CRYAB Antibody / Tumor Survival and Anti-Apoptotic Marker

CRYAB Antibody / Tumor Survival and Anti-Apoptotic Marker (RQ5808)

  Catalog No Formulation Size Price (USD)  
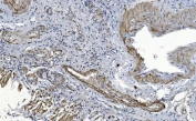
Image RQ5808 0.5mg/ml if reconstituted with 0.2ml sterile DI water 100 ug 449
Bulk quote request
CRYAB Antibody Tumor Survival IHC. Immunohistochemistry of Alpha B crystallin / CRYAB in FFPE human gastric cancer tissue using polyclonal CRYAB antibody. HRP-DAB brown staining highlights cytoplasmic labeling in malignant cells and associated stromal components, with a distribution consistent with stress-adaptive and anti-apoptotic signaling within the tumor microenvironment, while nuclei are counterstained blue. Heat induced epitope retrieval was performed by boiling tissue sections in pH 8 EDTA for 20 min followed by cooling prior to staining.
CRYAB Antibody Stromal Tumor IHC. Immunohistochemistry of Alpha B crystallin / CRYAB in FFPE human gastric cancer tissue using polyclonal CRYAB antibody. HRP-DAB brown staining highlights cytoplasmic labeling in spindle-shaped stromal cells and scattered tumor-associated cells, consistent with stress-response and survival signaling within the tumor microenvironment, while surrounding epithelial structures show comparatively lower staining and nuclei are counterstained blue. Heat induced epitope retrieval was performed by boiling tissue sections in pH 8 EDTA for 20 min followed by cooling prior to staining.
CRYAB Antibody Tumor Microenvironment IHC. Immunohistochemistry of Alpha B crystallin / CRYAB in FFPE human lung cancer tissue using polyclonal CRYAB antibody. HRP-DAB brown staining highlights cytoplasmic labeling in tumor-associated stromal cells and subsets of malignant epithelial cells, consistent with stress-adaptive and anti-apoptotic signaling within the tumor microenvironment, while adjacent non-neoplastic tissue shows reduced staining and nuclei are counterstained blue. Heat induced epitope retrieval was performed by boiling tissue sections in pH 8 EDTA for 20 min followed by cooling prior to staining.
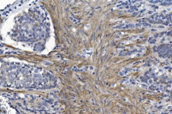
CRYAB Antibody Dermal Tumor IHC. Immunohistochemistry of Alpha B crystallin / CRYAB in FFPE human skin cancer tissue using polyclonal CRYAB antibody. HRP-DAB brown staining highlights diffuse cytoplasmic labeling in spindle-shaped tumor cells, consistent with stress-response and anti-apoptotic signaling in a mesenchymal-like tumor phenotype, while adjacent non-neoplastic epidermal regions show comparatively lower staining and nuclei are counterstained blue. Heat induced epitope retrieval was performed by boiling tissue sections in pH 8 EDTA for 20 min followed by cooling prior to staining.
CRYAB Antibody Glioma Survival IHC. Immunohistochemistry of Alpha B crystallin / CRYAB in FFPE human glioma tissue using polyclonal CRYAB antibody. HRP-DAB brown staining highlights cytoplasmic labeling in tumor cells with a diffuse and heterogeneous distribution, consistent with stress-adaptive and anti-apoptotic signaling in neural-derived malignancy, while surrounding non-neoplastic elements show lower staining and nuclei are counterstained blue. Heat induced epitope retrieval was performed by boiling tissue sections in pH 8 EDTA for 20 min followed by cooling prior to staining.
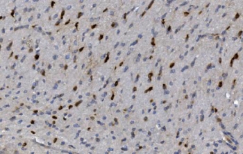
CRYAB Antibody Neural Tissue IHC. Immunohistochemistry of Alpha B crystallin / CRYAB in FFPE mouse brain tissue using polyclonal CRYAB antibody. HRP-DAB brown staining highlights scattered cytoplasmic labeling in neuronal and glial cells with a diffuse distribution, consistent with stress-response and protein stabilization functions in neural tissue, while surrounding parenchyma shows low background and nuclei are counterstained blue. Heat induced epitope retrieval was performed by boiling tissue sections in pH 8 EDTA for 20 min followed by cooling prior to staining.
CRYAB Antibody Rat Neural IHC. Immunohistochemistry of Alpha B crystallin / CRYAB in FFPE rat brain tissue using polyclonal CRYAB antibody. HRP-DAB brown staining highlights scattered cytoplasmic labeling in neuronal and glial cells with a diffuse pattern, consistent with stress-responsive and anti-apoptotic protein expression in neural tissue, while surrounding parenchyma shows low background and nuclei are counterstained blue. Heat induced epitope retrieval was performed by boiling tissue sections in pH 8 EDTA for 20 min followed by cooling prior to staining.
CRYAB Antibody Cardiac Stress IHC. Immunohistochemistry of Alpha B crystallin / CRYAB in FFPE mouse heart tissue using polyclonal CRYAB antibody. HRP-DAB brown staining highlights strong cytoplasmic labeling of cardiomyocytes with a linear and striated distribution, consistent with stress-responsive and anti-apoptotic protein expression in contractile tissue, while interstitial regions show lower staining and nuclei are counterstained blue. Heat induced epitope retrieval was performed by boiling tissue sections in pH 8 EDTA for 20 min followed by cooling prior to staining.
CRYAB Antibody Ocular Tissue IHC. Immunohistochemistry of Alpha B crystallin / CRYAB in FFPE rat eyeball tissue using polyclonal CRYAB antibody. HRP-DAB brown staining highlights cytoplasmic labeling within retinal and lens-associated cellular layers, consistent with stress-responsive and anti-apoptotic protein expression in ocular tissue, while surrounding structures show lower background staining and nuclei are counterstained blue. Heat induced epitope retrieval was performed by boiling tissue sections in pH 8 EDTA for 20 min followed by cooling prior to staining.
CRYAB Antibody Cytoplasmic IF. Immunofluorescence analysis of Alpha B crystallin / CRYAB in FFPE human U-2 OS cells using polyclonal CRYAB antibody. Red fluorescence highlights cytoplasmic distribution of CRYAB consistent with stress-responsive chaperone and anti-apoptotic function, while nuclei are counterstained with DAPI (blue). Heat induced epitope retrieval was performed by steaming sections in pH 6 citrate buffer for 20 min prior to staining.
CRYAB Antibody Multi-Species Tissue WB. Western blot analysis of Alpha B crystallin / CRYAB in lysates from rat eyeball (Lane 1), mouse eyeball (Lane 2), rat heart (Lane 3), mouse heart (Lane 4), and monkey heart (Lane 5) using polyclonal CRYAB antibody. A band is detected at approximately 20 kDa across all lanes, consistent with the predicted molecular weight of CRYAB, supporting conserved expression of this stress-responsive and anti-apoptotic protein in ocular and cardiac tissues across species.
CRYAB Antibody Cell Population FACS. Flow cytometry analysis of Alpha B crystallin / CRYAB in human THP-1 cells using polyclonal CRYAB antibody. The blue histogram shows a clear rightward shift compared to the green isotype control and red unstained cells, indicating detectable CRYAB expression under the conditions tested.
Availability 1-3 business days
Species Reactivity Human, Mouse, Rat
Format Antigen affinity purified
Host Rabbit
Clonality Polyclonal (rabbit origin)
Isotype Rabbit IgG
Purity Affinity purified
Buffer Lyophilized from 1X PBS with 2% Trehalose and 0.025% sodium azide
UniProt P02511
Applications Western Blot : 0.5-1ug/ml
Immunofluorescence : 2-4ug/ml
Flow Cytometry : 1-3ug/million cells
Immunohistochemistry : 1-2ug/ml
Direct ELISA : 0.1-0.5ug/ml
Limitations This CRYAB Antibody / Tumor Survival and Anti-Apoptotic Marker is available for research use only.
Review this product on BioCompare and get a $20 Amazon gift card

Related Products

Description

Alpha B crystallin (CRYAB), also known as heat shock protein beta-5 (HSPB5), is a small heat shock protein that plays a key role in tumor cell survival and resistance to stress-induced apoptosis. CRYAB Antibody / Tumor Survival and Anti-Apoptotic Marker is optimized for studies examining CRYAB expression in cancer, where it contributes to cell survival, stress adaptation, and tumor progression. CRYAB antibody, also referred to as Alpha B crystallin antibody in the literature, is widely used in research focused on oncogenic signaling and tumor biology.

CRYAB is frequently upregulated in a variety of malignancies, where it supports tumor growth by stabilizing proteins and preventing aggregation under conditions of cellular stress. Its chaperone activity allows tumor cells to tolerate hypoxia, oxidative stress, and metabolic disruption, all of which are common features of the tumor microenvironment. This protective function contributes to increased tumor cell viability and resistance to therapeutic stress.

In addition to its role in protein stabilization, CRYAB has been shown to modulate apoptotic signaling pathways. It can interact with key regulators of apoptosis, suppressing programmed cell death and promoting survival signaling. These interactions are important in cancer progression, where evasion of apoptosis is a hallmark of malignant cells.

CRYAB also contributes to tumor cell migration and invasion through its effects on cytoskeletal organization and cellular dynamics. By stabilizing intermediate filaments and interacting with structural proteins, it supports the mechanical adaptability required for tumor dissemination.

In immunohistochemistry, CRYAB is observed as cytoplasmic staining in tumor cells, often with variable intensity reflecting tumor heterogeneity. This expression pattern provides insight into stress-related signaling and survival mechanisms within malignant tissues. Western blot analysis detects CRYAB at approximately 20 kDa, consistent with its predicted molecular weight.

The recombinant rabbit monoclonal antibody provides reliable detection of CRYAB across multiple applications, including immunohistochemistry, immunofluorescence, western blot, and flow cytometry. Its emphasis on tumor-associated expression and survival signaling makes it particularly useful for studies of cancer biology, therapeutic resistance, and cellular stress adaptation.

For a microarray-validated reference CRYAB antibody with confirmed specificity, see clone CRYAB/4657.

Application Notes

Optimal dilution of the CRYAB Antibody / Tumor Survival and Anti-Apoptotic Marker should be determined by the researcher.

Immunogen

Recombinant human protein (amino acids E30-Q151) was used as the immunogen for the CRYAB antibody.

Storage

After reconstitution, the CRYAB antibody can be stored for up to one month at 4oC. For long-term, aliquot and store at -20oC. Avoid repeated freezing and thawing.

Alternate Names

CRYAB antibody, Alpha B crystallin antibody, HSPB5 antibody, Heat shock protein beta 5 antibody, Anti-apoptotic protein antibody

Cross
Bulk Quote Request Form
Name*:
Organization*:
Email*:
Phone Number*:
Catalog No.*:
Comments and Specifics(amount, formulation, etc.)*:
Validation code: Captchapackage Image


Can't read the image? click here to refresh.
    *required field

Your bulk quote request has been submitted successfully!

Please contact us if you have any questions.