• Tel: 858.663.9055
  • SeparatorEmail: info@nsjbio.com
  • Tel: 858.663.9055
  • Email: info@nsjbio.com
Home >> Antibodies >> CRTR1 Antibody / TFCP2L1

CRTR1 Antibody / TFCP2L1 (F54285)

  Catalog No Formulation Size Price (USD)  
Image F54285-0.4ML In 1X PBS, pH 7.4, with 0.09% sodium azide 0.4 ml 439
Image
F54285-0.08ML In 1X PBS, pH 7.4, with 0.09% sodium azide 0.08 ml 205
Bulk quote request
Western blot testing of 1) human kidney, 2) human placenta, 3) mouse kidney and 4) rat kidney lysate with CRTR1 antibody. Predicted molecular weight ~55 kDa.
Western blot testing of human WiDr cell lysate with CRTR1 antibody. Predicted molecular weight ~55 kDa.
Western blot testing of mouse stomach lysate with CRTR1 antibody. Predicted molecular weight ~55 kDa.
Immunofluorescent staining of fixed and permeabilized human U-2 OS cells with CRTR1 antibody (green) and anti-Actin (red).
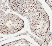
IHC testing of FFPE human testis tissue with CRTR1 antibody.
Flow cytometry testing of fixed and permeabilized human U-2 OS cells with CRTR1 antibody; Blue=isotype control, Green= CRTR1 antibody.
Availability 1-3 business days
Species Reactivity Human, Mouse, Rat
Format Purified
Host Rabbit
Clonality Polyclonal (rabbit origin)
Isotype Rabbit Ig
Purity Antigen affinity purified
UniProt Q9NZI6
Applications Western Blot : 1:500-1:2000
Flow Cytometry : 1:25 (1x10e6 cells)
Immunofluorescence : 1:25
Immunohistochemistry (FFPE) : 1:25
Limitations This CRTR1 antibody is available for research use only.
Review this product on BioCompare and get a $20 Amazon gift card

Related Products

  • Applications : FACS, IHC-P, WB
    Reactivity : Human, Mouse

Description

Transcriptional suppressor. CRTRT1 may suppress UBP1-mediated transcriptional activation. Modulates the placental expression of CYP11A1.

Application Notes

The stated application concentrations are suggested starting points. Titration of the CRTR1 antibody may be required due to differences in protocols and secondary/substrate sensitivity.

Immunogen

A portion of amino acids 14-44 from the human protein were used as the immunogen for the CRTR1 antibody.

Storage

Aliquot the CRTR1 antibody and store frozen at -20oC or colder. Avoid repeated freeze-thaw cycles.

Cross
Bulk Quote Request Form
Name*:
Organization*:
Email*:
Phone Number*:
Catalog No.*:
Comments and Specifics(amount, formulation, etc.)*:
Validation code: Captchapackage Image


Can't read the image? click here to refresh.
    *required field

Your bulk quote request has been submitted successfully!

Please contact us if you have any questions.