• Tel: 858.663.9055
  • SeparatorEmail: info@nsjbio.com
  • Tel: 858.663.9055
  • Email: info@nsjbio.com
Home >> Antibodies >> CRTC3 Antibody / TORC3

CRTC3 Antibody / TORC3 (RQ6608)

  Catalog No Formulation Size Price (USD)  
Image RQ6608 0.5mg/ml if reconstituted with 0.2ml sterile DI water 100 ug 449
Bulk quote request
Immunofluorescent staining of FFPE human HeLa cells with CRTC3 antibody (green) and DAPI nuclear stain (blue). HIER: steam section in pH6 citrate buffer for 20 min.
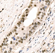
IHC staining of FFPE human breast cancer tissue with CRTC3 antibody. HIER: boil tissue sections in pH8 EDTA for 20 min and allow to cool before testing.
IHC staining of FFPE human gallbladder carcinoma tissue with CRTC3 antibody. HIER: boil tissue sections in pH8 EDTA for 20 min and allow to cool before testing.
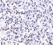
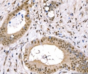
IHC staining of FFPE human colonic adenocarcinoma tissue with CRTC3 antibody. HIER: boil tissue sections in pH8 EDTA for 20 min and allow to cool before testing.
IHC staining of FFPE human liver cancer tissue with CRTC3 antibody. HIER: boil tissue sections in pH8 EDTA for 20 min and allow to cool before testing.
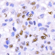
IHC staining of FFPE human lymphoma tissue with CRTC3 antibody. HIER: boil tissue sections in pH8 EDTA for 20 min and allow to cool before testing.
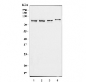
Western blot testing of 1) human HepG2, 2) HEK293, 3) monkey COS7 and 4) human HeLa cell lysate with CRTC3 antibody. Predicted molecular weight ~67 kDa but commonly observed at 70-80 kDa.
Flow cytometry testing of human A431 cells with CRTC3 antibody at 1ug/million cells (blocked with goat sera); Red=cells alone, Green=isotype control, Blue= CRTC3 antibody.
Availability 1-3 business days
Species Reactivity Human, Monkey
Format Antigen affinity purified
Host Rabbit
Clonality Polyclonal (rabbit origin)
Isotype Rabbit IgG
Purity Antigen affinity purified
Buffer Lyophilized from 1X PBS with 2% Trehalose
UniProt Q6UUV7
Localization Cytoplasmic, nuclear
Applications Western Blot : 1-2ug/ml
Immunohistochemistry (FFPE) : 2-5ug/ml
Immunofluorescence (FFPE) : 5ug/ml
Flow Cytometry : 1-3ug/million cells
Direct ELISA : 0.1-0.5ug/ml
Limitations This CRTC3 antibody is available for research use only.
Review this product on BioCompare and get a $20 Amazon gift card

Related Products

Description

CREB-regulated transcription coactivator 3 is a protein that in humans is encoded by the CRTC3 gene. This gene is a member of the CREB regulated transcription coactivator gene family. This family regulates CREB-dependent gene transcription in a phosphorylation-independent manner and may be selective for cAMP-responsive genes. The protein encoded by this gene may induce mitochondrial biogenesis and attenuate catecholamine signaling in adipose tissue. A translocation event between this gene and Notch coactivator mastermind-like gene 2, which results in a fusion protein, has been reported in mucoepidermoid carcinomas. Alternative splicing results in multiple transcript variants that encode different protein isoforms.

Application Notes

Optimal dilution of the CRTC3 antibody should be determined by the researcher.

Immunogen

Recombinant human protein (amino acids R116-L619) was used as the immunogen for the CRTC3 antibody.

Storage

After reconstitution, the CRTC3 antibody can be stored for up to one month at 4oC. For long-term, aliquot and store at -20oC. Avoid repeated freezing and thawing.

Cross
Bulk Quote Request Form
Name*:
Organization*:
Email*:
Phone Number*:
Catalog No.*:
Comments and Specifics(amount, formulation, etc.)*:
Validation code: Captchapackage Image


Can't read the image? click here to refresh.
    *required field

Your bulk quote request has been submitted successfully!

Please contact us if you have any questions.