• Tel: 858.663.9055
  • SeparatorEmail: info@nsjbio.com
  • Tel: 858.663.9055
  • Email: info@nsjbio.com
Home >> Antibodies >> CRM1 Antibody / XPO1 / Exportin 1 / Chromosome region maintenance 1

CRM1 Antibody / XPO1 / Exportin 1 / Chromosome region maintenance 1 (R32412)

  Catalog No Formulation Size Price (USD)  
Image R32412 0.5mg/ml if reconstituted with 0.2ml sterile DI water 100 ug 449
Bulk quote request
Immunofluorescent staining of FFPE human U-2 OS cells with CRM1 antibody (green) and DAPI nuclear stain (blue). HIER: steam section in pH6 citrate buffer for 20 min.
IHC testing of FFPE human intestinal cancer tissue with CRM1 antibody. Boil the paraffin sections in pH 6, 10mM citrate buffer for 20 minutes and allow to cool prior to testing.
IHC testing of FFPE mouse intestine with CRM1 antibody. Boil the paraffin sections in pH 6, 10mM citrate buffer for 20 minutes and allow to cool prior to testing.
IHC testing of FFPE rat testis with CRM1 antibody. Boil the paraffin sections in pH 6, 10mM citrate buffer for 20 minutes and allow to cool prior to testing.
IHC testing of frozen mouse intestine tissue with CRM1 antibody.
IHC testing of frozen rat intestine tissue with CRM1 antibody.
IHC testing of frozen rat testis tissue with CRM1 antibody.
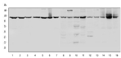
Western blot testing of 1) human HeLa, 2) human COLO-320, 3) human MCF7, 4) human A549, 5) human A431, 6) human SGC-7901, 7) human 22RV1, 8) rat heart, 9) rat skeletal muscle, 10) rat lung, 11) rat testis, 12) mouse heart, 13) mouse skeletal muscle, 14) mouse lung, 15) mouse testis and 16) mouse ovary tissue lysate with CRM1 antibody. Expected/observed molecular weight ~123 kDa.
Immunoprecipitation of CRM1 protein from 500ug of human HeLa whole cell lysate with 2ug of CRM1 antibody.
Flow cytometry analysis of fixed and permeabilized human SiHa cells with CRM1 antibody at 1ug/million cells (blocked with goat sera); Red=cells alone, Green=isotype control, Blue= CRM1 antibody.
Flow cytometry analysis of fixed and permeabilized human U-87 MG cells with CRM1 antibody at 1ug/million cells (blocked with goat sera); Red=cells alone, Green=isotype control, Blue= CRM1 antibody.
Availability 1-3 business days
Species Reactivity Human, Mouse, Rat
Format Antigen affinity purified
Host Rabbit
Clonality Polyclonal (rabbit origin)
Isotype Rabbit IgG
Purity Antigen affinity
Buffer Lyophilized from 1X PBS with 2.5% BSA, 0.025% sodium azide
UniProt O14980
Localization Nuclear, cytoplasmic
Applications Western Blot : 0.1-0.5ug/ml
Immunohistochemistry (FFPE) : 0.5-1ug/ml
Immunohistochemistry (Frozen) : 0.5-1ug/ml
Immunofluorescence : 2-4ug/ml
Flow Cytometry : 1-3ug/million cells
Limitations This CRM1 antibody is available for research use only.
Review this product on BioCompare and get a $20 Amazon gift card

Related Products

Description

CRM1 antibody recognizes Chromosome region maintenance 1, also known as Exportin 1 (XPO1), a key nuclear export receptor encoded by the XPO1 gene on chromosome 2p15. CRM1 is a central component of the karyopherin family that governs nucleocytoplasmic transport, ensuring proper trafficking of proteins and RNA species between the nucleus and cytoplasm. It recognizes leucine-rich nuclear export signals and binds cargo proteins together with Ran-GTP, forming export complexes that move through nuclear pore channels. CRM1 is essential for maintaining nuclear architecture, gene expression programs, and the spatial distribution of signaling molecules. It is expressed in a wide range of tissues and shows particularly high abundance in proliferative or metabolically active cell populations.

Chromosome region maintenance 1 participates in numerous pathways related to cell cycle progression, stress responses, immune signaling, and transcriptional regulation. CRM1 exports tumor suppressors, transcription factors, RNA-binding proteins, and regulators of apoptosis. Its cargo list includes proteins such as p53, FOXO transcription factors, STAT family members, NF-kB inhibitors, and components of ribosome biogenesis. By controlling the nuclear versus cytoplasmic distribution of these regulators, CRM1 influences cell growth, differentiation, and survival. It also plays roles in antiviral immunity by exporting viral RNA-protein complexes and participating in host defense mechanisms.

Dysregulation of CRM1 is implicated in several human diseases. Overexpression or hyperactivity of XPO1 is common in many cancers, including leukemia, lymphoma, breast cancer, ovarian cancer, and lung cancer. Elevated CRM1 levels can shift tumor suppressor proteins to the cytoplasm, diminishing their nuclear activity and contributing to oncogenesis. Pharmacologic inhibition of CRM1 has emerged as a therapeutic strategy, with several selective inhibitors undergoing clinical investigation to restore nuclear retention of critical regulatory proteins. Mutations in XPO1 have been identified in certain hematologic malignancies, further supporting its role in disease initiation and progression.

At the subcellular level, CRM1 localizes primarily to the nucleus and cytoplasm and concentrates around nuclear pore complexes where it co-localizes with importins, Ran regulators, and components of the nuclear transport machinery. Isoform variation may influence cargo specificity or regulatory interactions. CRM1 activity is tightly controlled by nucleotide binding states of Ran, post translational modifications, and interactions with nuclear pore-associated proteins. Developmentally, CRM1 expression increases during periods of rapid cell division and is essential for embryonic viability due to its role in regulating transcriptional and cell cycle networks.

This CRM1 antibody is suitable for detecting Chromosome region maintenance 1 in research focused on nuclear transport, cancer biology, stress signaling, transcriptional regulation, antiviral defense, and developmental pathways dependent on nucleocytoplasmic communication. It supports studies examining XPO1 function in tumorigenesis, nuclear export dysregulation, and gene expression control. NSJ Bioreagents provides this reagent within its nucleus and signaling-focused antibody catalog.

Application Notes

Optimal dilution of the CRM1 antibody should be determined by the researcher.

Immunogen

Amino acids N966-D1071 from the human protein were used as the immunogen for the CRM1 antibody.

Storage

After reconstitution, the CRM1 antibody can be stored for up to one month at 4oC. For long-term, aliquot and store at -20oC. Avoid repeated freezing and thawing.

Cross
Bulk Quote Request Form
Name*:
Organization*:
Email*:
Phone Number*:
Catalog No.*:
Comments and Specifics(amount, formulation, etc.)*:
Validation code: Captchapackage Image


Can't read the image? click here to refresh.
    *required field

Your bulk quote request has been submitted successfully!

Please contact us if you have any questions.