• Tel: 858.663.9055
  • SeparatorEmail: info@nsjbio.com
  • Tel: 858.663.9055
  • Email: info@nsjbio.com
Home >> Antibodies >> CRISP2 Antibody

CRISP2 Antibody (R35298)

  Catalog No Formulation Size Price (USD)  
Image R35298-100UG 0.5 mg/ml in 1X TBS, pH7.3, with 0.5% BSA (US sourced) and 0.02% sodium azide 100 ug 475
Bulk quote request
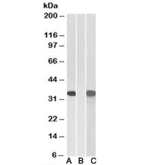
Western blot of HEK293 transfected with human CRISP2-MYC tested with CRISP2 antibody (0.1ug/ml) in Lane A and anti-MYC (1/1000) in lane C. Mock-transfected HEK293 probed with CRISP2 (1ug/ml) in Lane B. Predicted molecular weight: ~27/31kDa (isoforms 1/2).
Availability 1-3 business days
Species Reactivity Human
Predicted Reactivity Dog, Pig
Format Antigen affinity purified
Host Goat
Clonality Polyclonal (goat origin)
Isotype Goat Ig
Purity Antigen affinity
Gene ID 7180
Applications Western Blot : 1-3ug/ml
ELISA (peptide) LOD : 1:8000
Limitations This CRISP2 antibody is available for research use only.
Review this product on BioCompare and get a $20 Amazon gift card

Related Products

  • Applications : WB (transfected), ELISA (peptide)
    Reactivity : Human
    Pred. Reactivity : Cow, Dog, Pig

Description

Additional name(s) for this target protein: Cysteine-rich secretory protein 2

Application Notes

Optimal dilution of the CRISP2 antibody should be determined by the researcher.

1. A 55kDa band was observed in human testis (27-31kDa is expected).

Immunogen

Amino acids QHSDPEDRKTSTR were used as the immunogen for this CRISP2 antibody.

Storage

Aliquot and store the CRISP2 antibody at -20oC.

Cross
Bulk Quote Request Form
Name*:
Organization*:
Email*:
Phone Number*:
Catalog No.*:
Comments and Specifics(amount, formulation, etc.)*:
Validation code: Captchapackage Image


Can't read the image? click here to refresh.
    *required field

Your bulk quote request has been submitted successfully!

Please contact us if you have any questions.