• Tel: 858.663.9055
  • SeparatorEmail: info@nsjbio.com
  • Tel: 858.663.9055
  • Email: info@nsjbio.com
Home >> Antibodies >> CPT1B Antibody

CPT1B Antibody (R33478)

  Catalog No Formulation Size Price (USD)  
Image R33478-100UG 0.5 mg/ml in 1X TBS, pH7.3, with 0.5% BSA (US sourced) and 0.02% sodium azide 100 ug 475
Bulk quote request
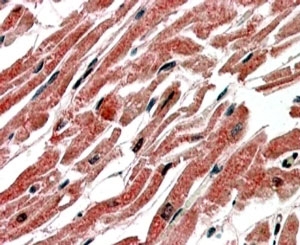
IHC testing of FFPE human heart with CPT1B antibody at 4ug/ml. HIER: steamed with pH6 citrate buffer, AP-staining.
Availability 1-3 business days
Species Reactivity Human
Format Antigen affinity purified
Host Goat
Clonality Polyclonal (goat origin)
Isotype Goat Ig
Purity Antigen affinity
Gene ID 1375
Localization Cytoplasmic
Applications Immunohistochemistry (FFPE) : 3-5ug/ml
ELISA (peptide) LOD : 1:16000
Limitations This CPT1B antibody is available for research use only.
Review this product on BioCompare and get a $20 Amazon gift card

Related Products

  • Applications : WB, ELISA
    Reactivity : Human
  • Applications : WB, IHC, ELISA
    Reactivity : Human
  • Applications : WB, IHC-P, IHC-F, IF
    Reactivity : Human, Mouse, Rat

Description

Additional name(s) for this target protein: Carnitine palmitoyltransferase 1B

Application Notes

Optimal dilution of the CPT1B antibody should be determined by the researcher.

1. This CPT1B antibody will detect human isoforms a and c/d.

Immunogen

Amino acids DIADLFQVPKAYS were used as the immunogen for this CPT1B antibody.

Storage

Aliquot and store the CPT1B antibody at -20oC.

Cross
Bulk Quote Request Form
Name*:
Organization*:
Email*:
Phone Number*:
Catalog No.*:
Comments and Specifics(amount, formulation, etc.)*:
Validation code: Captchapackage Image


Can't read the image? click here to refresh.
    *required field

Your bulk quote request has been submitted successfully!

Please contact us if you have any questions.