• Tel: 858.663.9055
  • SeparatorEmail: info@nsjbio.com
  • Tel: 858.663.9055
  • Email: info@nsjbio.com
Home >> Antibodies >> CPAMD8 Antibody / C3 and PZP-like alpha-2-macroglobulin domain-containing protein 8

CPAMD8 Antibody / C3 and PZP-like alpha-2-macroglobulin domain-containing protein 8 (RQ4937)

  Catalog No Formulation Size Price (USD)  
Image RQ4937 0.5mg/ml if reconstituted with 0.2ml sterile DI water 100 ug 449
Bulk quote request
Western blot testing of human 1) placenta, 2) T-47D, 3) U-2 OS, 4) K562, 5) ThP-1 and 6) monkey COS-7 lysate with CPAMD8 antibody at 0.5ug/ml. Predicted molecular weight ~207 kDa.
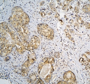
IHC staining of FFPE human breast cancer with CPAMD8 antibody at 1ug/ml. HIER: boil tissue sections in pH6, 10mM citrate buffer, for 10-20 min and allow to cool before testing.
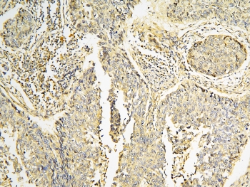
IHC staining of FFPE human lung cancer with CPAMD8 antibody at 1ug/ml. HIER: boil tissue sections in pH6, 10mM citrate buffer, for 10-20 min and allow to cool before testing.
Availability 1-3 business days
Species Reactivity Human, Monkey
Format Antigen affinity purified
Host Rabbit
Clonality Polyclonal (rabbit origin)
Isotype Rabbit IgG
Purity Antigen affinity purified
Buffer Lyophilized from 1X PBS with 2% Trehalose and 0.025% sodium azide
UniProt Q8IZJ3
Localization Cytoplasmic
Applications Western Blot : 0.5-1ug/ml
Immunohistochemistry (FFPE) : 1-2ug/ml
Direct ELISA : 0.1-0.5ug/ml
Limitations This CPAMD8 antibody is available for research use only.
Review this product on BioCompare and get a $20 Amazon gift card

Description

CPAMD8 antibody detects C3 and PZP-like alpha-2-macroglobulin domain-containing protein 8, a secreted and membrane-associated protein belonging to the complement C3, C4, and C5 alpha-2-macroglobulin family. The UniProt recommended name is Complement component C3 and PZP-like alpha-2-macroglobulin domain-containing protein 8. Although less extensively characterized than other complement-related proteins, CPAMD8 has emerged as an important regulator of ocular development, extracellular matrix organization, and tissue patterning. Its expression and functional relevance have been highlighted in genetic studies linking CPAMD8 variants to congenital eye disorders, making it a growing focus of research in developmental biology and extracellular matrix signaling.

CPAMD8 is a large multidomain glycoprotein that contains conserved alpha-2-macroglobulin family motifs, including domains associated with protease interaction, structural flexibility, and potential involvement in extracellular protein turnover. While the precise biochemical role of CPAMD8 is still being defined, its family membership suggests possible participation in protease regulation, tissue remodeling, and developmental signaling pathways. CPAMD8 is predicted to undergo post-translational modifications such as glycosylation, contributing to its extracellular stability and association with matrix-rich tissues.

The CPAMD8 gene is located on chromosome 19p13.11 and expresses strongly in ocular tissues, including the anterior segment of the developing eye. Transcriptomic and developmental studies have found CPAMD8 expression in the ciliary body, iris stroma, and lens epithelium. This expression pattern aligns with its established role in eye formation and anterior segment morphogenesis. Outside the eye, CPAMD8 expression has been observed in kidney, reproductive tissues, and select epithelial cell populations, though at lower levels. These distributions suggest potential broader roles in organ development and matrix organization.

Functionally, CPAMD8 contributes to structural development of the anterior eye chamber. Genetic disruption of CPAMD8 has been linked to congenital glaucoma, iris hypoplasia, and anterior segment dysgenesis. These disorders arise from impaired organization of neural crest-derived tissues responsible for drainage structures, iris differentiation, and lens support. Loss-of-function mutations in CPAMD8 disrupt these processes and lead to elevated intraocular pressure, progressive optic nerve damage, and vision loss. Because of this strong genotype-phenotype relationship, CPAMD8 is widely studied in ocular genetics, developmental eye biology, and congenital glaucoma research.

Beyond ocular phenotypes, CPAMD8 may influence extracellular matrix structure and protease interactions. Proteins in its family often function as protease modulators or scaffolding molecules that shape tissue composition and signaling. Although the specific protease partners of CPAMD8 have not been fully established, its structural similarity to complement and macroglobulin proteins suggests potential involvement in proteolytic balance and matrix remodeling. Current research is exploring these possibilities in epithelial development, renal biology, and stromal organization.

In disease research, CPAMD8 is primarily recognized for its role in autosomal recessive ocular disorders. Variants identified through genetic sequencing have demonstrated high penetrance for congenital glaucoma and anterior segment anomalies. CPAMD8-linked disease phenotypes often present early in life, making the gene a strong candidate for early diagnostic panels for congenital eye disease. Additional studies are assessing whether CPAMD8 participates in broader congenital syndromes involving neural crest-derived structures or extracellular tissue patterning.

CPAMD8 antibody supports studies targeting its developmental and structural roles. Researchers use CPAMD8 antibody to examine expression patterns within ocular tissues, to characterize mutant or misregulated protein in disease models, and to explore potential roles in extracellular matrix biology. CPAMD8 antibody is validated for use in relevant research applications to detect CPAMD8 expression in cells and tissues. NSJ Bioreagents provides CPAMD8 antibody reagents suitable for ocular development research, extracellular matrix studies, and genetic disease investigation.

Application Notes

Optimal dilution of the CPAMD8 antibody should be determined by the researcher.

Immunogen

Amino acids R58-D234 from the human protein were used as the immunogen for the CPAMD8 antibody.

Storage

After reconstitution, the CPAMD8 antibody can be stored for up to one month at 4oC. For long-term, aliquot and store at -20oC. Avoid repeated freezing and thawing.

Cross
Bulk Quote Request Form
Name*:
Organization*:
Email*:
Phone Number*:
Catalog No.*:
Comments and Specifics(amount, formulation, etc.)*:
Validation code: Captchapackage Image


Can't read the image? click here to refresh.
    *required field

Your bulk quote request has been submitted successfully!

Please contact us if you have any questions.