• Tel: 858.663.9055
  • SeparatorEmail: info@nsjbio.com
  • Tel: 858.663.9055
  • Email: info@nsjbio.com
Home >> Antibodies >> Cox8a Antibody

Cox8a Antibody (RQ6090)

  Catalog No Formulation Size Price (USD)  
Image RQ6090 0.5mg/ml if reconstituted with 0.2ml sterile DI water 100 ug 449
Bulk quote request
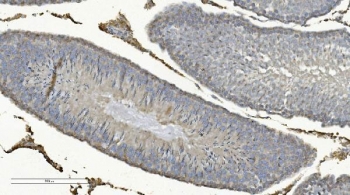
IHC staining of FFPE rat testis with Cox8a antibody. HIER: boil tissue sections in pH8 EDTA for 20 min and allow to cool before testing.
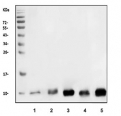
Western blot testing of 1) rat brain, 2) rat stomach, 3) rat kidney, 4) mouse brain and 5) mouse kidney lysate with Cox8a antibody. Predicted molecular weight ~8 kDa.
Flow cytometry testing of mouse spleen cells with Cox8a antibody at 1ug/million cells (blocked with goat sera); Red=cells alone, Green=isotype control, Blue= Cox8a antibody.
Availability 1-3 business days
Species Reactivity Mouse, Rat
Format Antigen affinity purified
Host Rabbit
Clonality Polyclonal (rabbit origin)
Isotype Rabbit IgG
Purity Affinity purified
Buffer Lyophilized from 1X PBS with 2% Trehalose and 0.025% sodium azide
UniProt Q64445
Localization Cytoplasmic
Applications Western Blot : 1-2ug/ml
Immunohistochemistry (FFPE) : 2-5ug/ml
Flow Cytometry : 1-3ug/million cells
Limitations This Cox8a antibody is available for research use only.
Review this product on BioCompare and get a $20 Amazon gift card

Description

The protein encoded by this gene is the terminal enzyme of the respiratory chain, coupling the transfer of electrons from cytochrome c to molecular oxygen, with the concomitant production of a proton electrochemical gradient across the inner mitochondrial membrane. In addition to 3 mitochondrially encoded subunits, which perform the catalytic function, the eukaryotic enzyme contains nuclear-encoded smaller subunits, ranging in number from 4 in some organisms to 10 in mammals. It has been proposed that nuclear-encoded subunits may be involved in the modulation of the catalytic function. This gene encodes one of the nuclear-encoded subunits.

Application Notes

Optimal dilution of the Cox8a antibody should be determined by the researcher.

Immunogen

Amino acids AGWILSHLETYRRPE from the mouse protein were used as the immunogen for the Cox8a antibody.

Storage

After reconstitution, the Cox8a antibody can be stored for up to one month at 4oC. For long-term, aliquot and store at -20oC. Avoid repeated freezing and thawing.

Cross
Bulk Quote Request Form
Name*:
Organization*:
Email*:
Phone Number*:
Catalog No.*:
Comments and Specifics(amount, formulation, etc.)*:
Validation code: Captchapackage Image


Can't read the image? click here to refresh.
    *required field

Your bulk quote request has been submitted successfully!

Please contact us if you have any questions.