• Tel: 858.663.9055
  • SeparatorEmail: info@nsjbio.com
  • Tel: 858.663.9055
  • Email: info@nsjbio.com
Home >> Antibodies >> COX-2 Antibody / PTGS2

COX-2 Antibody / PTGS2 (R30815)

  Catalog No Formulation Size Price (USD)  
Image R30815 0.5mg/ml if reconstituted with 0.2ml sterile DI water 100 ug 449
Bulk quote request
IHC testing of FFPE differentiated adenocarcinoma in human appendix tissue with COX-2 antibody. HIER: boil tissue sections in pH8 EDTA for 20 min and allow to cool before testing.
IHC testing of FFPE human liver cancer tissue with COX-2 antibody. HIER: boil tissue sections in pH8 EDTA for 20 min and allow to cool before testing.
IHC testing of FFPE human lung adenocarcinoma tissue with COX-2 antibody. HIER: boil tissue sections in pH8 EDTA for 20 min and allow to cool before testing.
IHC testing of FFPE human colonic adenocarcinoma tissue with COX-2 antibody. HIER: boil tissue sections in pH8 EDTA for 20 min and allow to cool before testing.
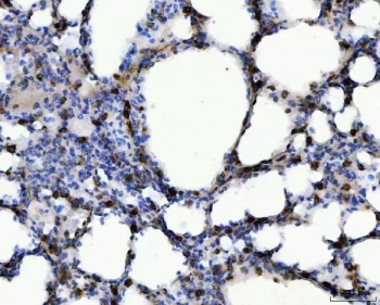
IHC testing of FFPE mouse lung tissue with COX-2 antibody. HIER: boil tissue sections in pH8 EDTA for 20 min and allow to cool before testing.
Western blot testing of 1) human HeLa, 2) mouse thymus and 3) LPS-stimulated mouse RAW264.7 cell lysate with COX-2 antibody. Predicted molecular weight ~69 kDa.
Availability 1-3 business days
Species Reactivity Human, Mouse
Format Antigen affinity purified
Host Rabbit
Clonality Polyclonal (rabbit origin)
Isotype Rabbit IgG
Purity Antigen affinity
Buffer Lyophilized from 1X PBS with 2.5% BSA and 0.025% sodium azide/thimerosal
UniProt P35354
Localization Cytoplasmic, nuclear
Applications Western Blot : 0.5-1ug/ml
Immunohistochemistry (FFPE) : 2-5ug/ml
Limitations This COX-2 antibody is available for research use only.
Review this product on BioCompare and get a $20 Amazon gift card

Related Products

Description

Cyclooxygenase (COX) is the key enzyme in conversion of arachidonic acid to PGs. The COX2 gene encodes an inducible prostaglandin synthase enzyme that is overexpressed in adenocarcinomas and other tumors. Deletion of the murine gene in Min mice reduced the incidence of intestinal tumors, suggesting that it is required for tumorigenesis.

Application Notes

Titration of the COX-2 antibody may be required due to differences in protocols and secondary/substrate sensitivity.

Immunogen

Amino acids 589-604 (DDINPTVLLKERSTEL-human) were used as the immunogen for this COX-2 antibody.

Storage

The lyophilized COX-2 antibody can be stored at 4oC to -20oC. After reconstitution, aliquot and store at -20oC. Avoid repeated freezing and thawing.

Cross
Bulk Quote Request Form
Name*:
Organization*:
Email*:
Phone Number*:
Catalog No.*:
Comments and Specifics(amount, formulation, etc.)*:
Validation code: Captchapackage Image


Can't read the image? click here to refresh.
    *required field

Your bulk quote request has been submitted successfully!

Please contact us if you have any questions.