• Tel: 858.663.9055
  • SeparatorEmail: info@nsjbio.com
  • Tel: 858.663.9055
  • Email: info@nsjbio.com
Home >> Antibodies >> Coronin 1a Antibody / TACO / CORO1A

Coronin 1a Antibody / TACO / CORO1A (RQ6415)

  Catalog No Formulation Size Price (USD)  
Image RQ6415 0.5mg/ml if reconstituted with 0.2ml sterile DI water 100 ug 449
Bulk quote request
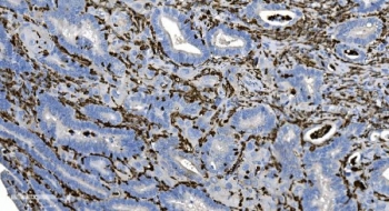
IHC staining of FFPE human gallbladder adenocarcinoma tissue with Coronin 1a antibody. HIER: boil tissue sections in pH8 EDTA for 20 min and allow to cool before testing.
IHC staining of FFPE human renal clear cell carcinoma tissue with Coronin 1a antibody. HIER: boil tissue sections in pH8 EDTA for 20 min and allow to cool before testing.
IHC staining of FFPE human lung cancer tissue with Coronin 1a antibody. HIER: boil tissue sections in pH8 EDTA for 20 min and allow to cool before testing.
IHC staining of FFPE human liver cancer tissue with Coronin 1a antibody. HIER: boil tissue sections in pH8 EDTA for 20 min and allow to cool before testing.
IHC staining of FFPE human gastric cancer tissue with Coronin 1a antibody. HIER: boil tissue sections in pH8 EDTA for 20 min and allow to cool before testing.
IHC staining of FFPE human colonic adenocarcinoma tissue with Coronin 1a antibody. HIER: boil tissue sections in pH8 EDTA for 20 min and allow to cool before testing.
IHC staining of FFPE human ovarian cancer tissue with Coronin 1a antibody. HIER: boil tissue sections in pH8 EDTA for 20 min and allow to cool before testing.
IHC staining of FFPE human ovarian serous adenocarcinoma tissue with Coronin 1a antibody. HIER: boil tissue sections in pH8 EDTA for 20 min and allow to cool before testing.
Western blot testing of 1) human Jurkat, 2) rat spleen, 3) rat thymus, 4) mouse spleen and 5) mouse thymus tissue lysate with Coronin 1a antibody. Predicted molecular weight ~51 kDa.
Flow cytometry testing of human U937 cells with Coronin 1a antibody at 1ug/million cells (blocked with goat sera); Red=cells alone, Green=isotype control, Blue= Coronin 1a antibody.
Flow cytometry testing of human ThP-1 cells with Coronin 1a antibody at 1ug/million cells (blocked with goat sera); Red=cells alone, Green=isotype control, Blue= Coronin 1a antibody.
Availability 1-3 business days
Species Reactivity Human, Mouse, Rat
Format Purified
Host Rabbit
Clonality Polyclonal (rabbit origin)
Isotype Rabbit IgG
Purity Antigen affinity purified
Buffer Lyophilized from 1X PBS with 2% Trehalose
UniProt P31146
Localization Cytoplasmic
Applications Western Blot : 0.5-1ug/ml
Immunohistochemistry (FFPE) : 2-5ug/ml
Flow Cytometry : 1-3ug/million cells
Direct ELISA : 0.1-0.5ug/ml
Limitations This Coronin 1a antibody is available for research use only.
Review this product on BioCompare and get a $20 Amazon gift card

Related Products

  • Applications : WB, IHC-P, ELISA (peptide)
    Reactivity : Human
    Pred. Reactivity : Mouse, Rat, Dog, Cow

Description

Coronin-1A, also called TACO or Tryptophan aspartate-containing coat protein, is a protein that in humans is encoded by the CORO1A gene. This gene encodes a member of the WD repeat protein family. WD repeats are minimally conserved regions of approximately 40 amino acids typically bracketed by gly-his and trp-asp (GH-WD), which may facilitate formation of heterotrimeric or multiprotein complexes. Members of this family are involved in a variety of cellular processes, including cell cycle progression, signal transduction, apoptosis, and gene regulation. Alternative splicing results in multiple transcript variants. A related pseudogene has been defined on chromosome 16.

Application Notes

Optimal dilution of the Coronin 1a antibody should be determined by the researcher.

Immunogen

Recombinant human protein (amino acids E173-K461) was used as the immunogen for the Coronin 1a antibody.

Storage

After reconstitution, the Coronin 1a antibody can be stored for up to one month at 4oC. For long-term, aliquot and store at -20oC. Avoid repeated freezing and thawing.

Cross
Bulk Quote Request Form
Name*:
Organization*:
Email*:
Phone Number*:
Catalog No.*:
Comments and Specifics(amount, formulation, etc.)*:
Validation code: Captchapackage Image


Can't read the image? click here to refresh.
    *required field

Your bulk quote request has been submitted successfully!

Please contact us if you have any questions.