• Tel: 858.663.9055
  • SeparatorEmail: info@nsjbio.com
  • Tel: 858.663.9055
  • Email: info@nsjbio.com
Home >> Antibodies >> COQ8B Antibody / Coenzyme Q8B

COQ8B Antibody / Coenzyme Q8B (FY13313)

  Catalog No Formulation Size Price (USD)  
Image FY13313 Adding 0.2 ml of distilled water will yield a concentration of 500 ug/ml 100 ug 449
Bulk quote request
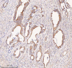
Immunohistochemical staining of COQ8B using anti-COQ8B antibody. COQ8B was detected in a paraffin-embedded section of human ovarian cancer tissue. Heat mediated antigen retrieval was performed in EDTA buffer (pH 8.0, epitope retrieval solution). The tissue section was blocked with 10% goat serum. The tissue section was then incubated with 2 ug/ml rabbit anti-COQ8B antibody overnight at 4oC. Peroxidase Conjugated Goat Anti-rabbit IgG was used as secondary antibody and incubated for 30 minutes at 37oC. The tissue section was developed using an HRP secondary and DAB substrate.
Western blot analysis of COQ8B using anti-COQ8B antibody. Lane 1: human Hela whole cell lysates, Lane 2: human HepG2 whole cell lysates, Lane 3: human whole cell lysates, Lane 4: human U20S whole cell lysates, Lane 5: rat stomach tissue lysates, Lane 6: rat thymus tissue lysates, Lane 7: mouse stomach tissue lysates, Lane 8: mouse thymus tissue lysates. After electrophoresis, proteins were transferred to a nitrocellulose membrane at 150 mA for 50-90 minutes. Blocked the membrane with 5% non-fat milk/TBS for 1.5 hour at RT. The membrane was incubated with rabbit anti-COQ8B antibody at 0.25 ug/ml overnight at 4oC, then washed with TBS-0.1%Tween 3 times with 5 minutes each and probed with a goat anti-rabbit IgG-HRP secondary antibody at a dilution of 1:5000 for 1.5 hour at RT. The signal was developed using enhanced chemiluminescent. The expected molecular weight of COQ8B is ~60 kDa.
Immunohistochemical staining of COQ8B using anti-COQ8B antibody. COQ8B was detected in a paraffin-embedded section of human ovarian cancer tissue. Heat mediated antigen retrieval was performed in EDTA buffer (pH 8.0, epitope retrieval solution). The tissue section was blocked with 10% goat serum. The tissue section was then incubated with 2 ug/ml rabbit anti-COQ8B antibody overnight at 4oC. Peroxidase Conjugated Goat Anti-rabbit IgG was used as secondary antibody and incubated for 30 minutes at 37oC. The tissue section was developed using an HRP secondary and DAB substrate.
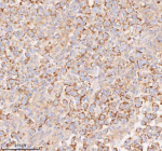
Immunohistochemical staining of COQ8B using anti-COQ8B antibody. COQ8B was detected in a paraffin-embedded section of human rectum adenocarcinoma tissue. Heat mediated antigen retrieval was performed in EDTA buffer (pH 8.0, epitope retrieval solution). The tissue section was blocked with 10% goat serum. The tissue section was then incubated with 2 ug/ml rabbit anti-COQ8B antibody overnight at 4oC. Peroxidase Conjugated Goat Anti-rabbit IgG was used as secondary antibody and incubated for 30 minutes at 37oC. The tissue section was developed using an HRP secondary and DAB substrate.
Immunohistochemical staining of COQ8B using anti-COQ8B antibody. COQ8B was detected in a paraffin-embedded section of human rectum adenocarcinoma tissue. Heat mediated antigen retrieval was performed in EDTA buffer (pH 8.0, epitope retrieval solution). The tissue section was blocked with 10% goat serum. The tissue section was then incubated with 2 ug/ml rabbit anti-COQ8B antibody overnight at 4oC. Peroxidase Conjugated Goat Anti-rabbit IgG was used as secondary antibody and incubated for 30 minutes at 37oC. The tissue section was developed using an HRP secondary and DAB substrate.
Immunohistochemical staining of COQ8B using anti-COQ8B antibody. COQ8B was detected in a paraffin-embedded section of human testicular seminoma tissue. Heat mediated antigen retrieval was performed in EDTA buffer (pH 8.0, epitope retrieval solution). The tissue section was blocked with 10% goat serum. The tissue section was then incubated with 2 ug/ml rabbit anti-COQ8B antibody overnight at 4oC. Peroxidase Conjugated Goat Anti-rabbit IgG was used as secondary antibody and incubated for 30 minutes at 37oC. The tissue section was developed using an HRP secondary and DAB substrate.
Immunohistochemical staining of COQ8B using anti-COQ8B antibody. COQ8B was detected in a paraffin-embedded section of human testicular seminoma tissue. Heat mediated antigen retrieval was performed in EDTA buffer (pH 8.0, epitope retrieval solution). The tissue section was blocked with 10% goat serum. The tissue section was then incubated with 2 ug/ml rabbit anti-COQ8B antibody overnight at 4oC. Peroxidase Conjugated Goat Anti-rabbit IgG was used as secondary antibody and incubated for 30 minutes at 37oC. The tissue section was developed using an HRP secondary and DAB substrate.
Immunohistochemical staining of COQ8B using anti-COQ8B antibody. COQ8B was detected in a paraffin-embedded section of mouse ovary tissue. Heat mediated antigen retrieval was performed in EDTA buffer (pH 8.0, epitope retrieval solution). The tissue section was blocked with 10% goat serum. The tissue section was then incubated with 2 ug/ml rabbit anti-COQ8B antibody overnight at 4oC. Peroxidase Conjugated Goat Anti-rabbit IgG was used as secondary antibody and incubated for 30 minutes at 37oC. The tissue section was developed using an HRP secondary and DAB substrate.
Immunohistochemical staining of COQ8B using anti-COQ8B antibody. COQ8B was detected in a paraffin-embedded section of mouse ovary tissue. Heat mediated antigen retrieval was performed in EDTA buffer (pH 8.0, epitope retrieval solution). The tissue section was blocked with 10% goat serum. The tissue section was then incubated with 2 ug/ml rabbit anti-COQ8B antibody overnight at 4oC. Peroxidase Conjugated Goat Anti-rabbit IgG was used as secondary antibody and incubated for 30 minutes at 37oC. The tissue section was developed using an HRP secondary and DAB substrate.
Immunohistochemical staining of COQ8B using anti-COQ8B antibody. COQ8B was detected in a paraffin-embedded section of rat ovary tissue. Heat mediated antigen retrieval was performed in EDTA buffer (pH 8.0, epitope retrieval solution). The tissue section was blocked with 10% goat serum. The tissue section was then incubated with 2 ug/ml rabbit anti-COQ8B antibody overnight at 4oC. Peroxidase Conjugated Goat Anti-rabbit IgG was used as secondary antibody and incubated for 30 minutes at 37oC. The tissue section was developed using an HRP secondary and DAB substrate.
Availability 1-2 days
Species Reactivity Human, Mouse, Rat
Format Lyophilized
Host Rabbit
Clonality Polyclonal (rabbit origin)
Isotype Rabbit IgG
Purity Immunogen affinity purified
Buffer Each vial contains 4 mg Trehalose, 0.9 mg NaCl, 0.2 mg Na2HPO4.
UniProt Q96D53
Localization Cytoplasm, Mitochondria, Cell membrane
Applications Western Blot : 0.25-0.5ug/ml
Immunohistochemistry : 2-5ug/ml
Immunocytochemistry : 5ug/ml
Immunofluorescence : 5ug/ml
ELISA : 0.1-0.5ug/ml
Limitations This COQ8B antibody is available for research use only.
Review this product on BioCompare and get a $20 Amazon gift card

Description

COQ8B antibody detects Coenzyme Q8B, a mitochondrial inner membrane protein encoded by the COQ8B gene on chromosome 19q13.2. COQ8B, also known as ADCK4 (AarF domain-containing kinase 4), belongs to the atypical protein kinase-like (PKL) family and plays a vital role in the biosynthesis of coenzyme Q (ubiquinone), a key component of the mitochondrial respiratory chain. The COQ8B protein localizes to mitochondria, where it stabilizes the coenzyme Q biosynthetic complex and regulates redox homeostasis. Structurally, COQ8B possesses a kinase-like fold with an ATP-binding domain and transmembrane segment that anchors it to the inner mitochondrial membrane.

COQ8B antibody identifies a protein essential for maintaining efficient oxidative phosphorylation and ATP production. Although it contains a kinase-like domain, COQ8B functions primarily as a regulatory or scaffolding enzyme rather than a classical kinase. It interacts with other coenzyme Q biosynthesis enzymes such as COQ6, COQ7, and COQ9 to ensure proper assembly and function of the multiprotein COQ complex. Loss of COQ8B activity leads to coenzyme Q deficiency, impaired electron transport, and reduced ATP generation.

Clinically, mutations in COQ8B are associated with primary coenzyme Q10 deficiency type 9 (COQ10D9), a mitochondrial disorder characterized by steroid-resistant nephrotic syndrome, progressive kidney failure, and neurological symptoms. Patients with COQ8B mutations show mitochondrial structural abnormalities and decreased oxidative capacity. Early diagnosis and coenzyme Q10 supplementation can partially restore mitochondrial function and improve clinical outcomes. The COQ8B gene is highly expressed in kidney, heart, and skeletal muscle, correlating with tissues that have high energy demands.

Structurally, COQ8B belongs to the UbiB family of atypical kinases that share sequence similarity with the AarF domain-containing proteins involved in lipid and isoprenoid metabolism. Its conserved nucleotide-binding pocket and regulatory loop regions support ATP binding, suggesting an evolutionary link between metabolic sensing and lipid biosynthesis regulation. In addition to coenzyme Q production, COQ8B may influence mitochondrial morphology and stress signaling pathways related to ROS detoxification.

Functional studies demonstrate that COQ8B deficiency alters mitochondrial membrane potential and triggers compensatory upregulation of antioxidant enzymes. The protein�s dual role in coenzyme Q biosynthesis and mitochondrial quality control underscores its importance for cellular energy metabolism and redox balance. In renal physiology, COQ8B maintains podocyte mitochondrial function, and loss of function leads to glomerular injury and nephrotic syndrome. This disease relevance makes COQ8B antibody a valuable tool for both mitochondrial research and renal pathology studies.

Immunohistochemical staining using COQ8B antibody shows mitochondrial localization in kidney, heart, and skeletal muscle tissues. COQ8B antibody from NSJ Bioreagents enables reliable detection of this essential coenzyme Q biosynthesis factor in studies of mitochondrial disease and metabolic regulation.

Application Notes

Optimal dilution of the COQ8B antibody should be determined by the researcher.

Immunogen

E.coli-derived human COQ8B recombinant protein (Position: Q204-A527) was used as the immunogen for the COQ8B antibody.

Storage

After reconstitution, the COQ8B antibody can be stored for up to one month at 4oC. For long-term, aliquot and store at -20oC. Avoid repeated freezing and thawing.

Cross
Bulk Quote Request Form
Name*:
Organization*:
Email*:
Phone Number*:
Catalog No.*:
Comments and Specifics(amount, formulation, etc.)*:
Validation code: Captchapackage Image


Can't read the image? click here to refresh.
    *required field

Your bulk quote request has been submitted successfully!

Please contact us if you have any questions.