• Tel: 858.663.9055
  • SeparatorEmail: info@nsjbio.com
  • Tel: 858.663.9055
  • Email: info@nsjbio.com
Home >> Antibodies >> COPE Antibody / Coatomer subunit epsilon

COPE Antibody / Coatomer subunit epsilon (R32959)

  Catalog No Formulation Size Price (USD)  
Image R32959 0.5mg/ml if reconstituted with 0.2ml sterile DI water 100 ug 449
Bulk quote request
Immunofluorescent staining of FFPE human MCF7 cells with COPE antibody (green) at 5ug/ml and DAPI nuclear stain (blue). HIER: steam section in pH6 citrate buffer for 20 min.
IHC testing of FFPE human breast cancer tissue with COPE antibody at 1ug/ml. Required HIER: steam section in pH6 citrate buffer for 20 min and allow to cool prior to testing.
IHC testing of FFPE mouse pancreas tissue with COPE antibody at 1ug/ml. Required HIER: steam section in pH6 citrate buffer for 20 min and allow to cool prior to testing.
IHC testing of FFPE rat pancreas tissue with COPE antibody at 1ug/ml. Required HIER: steam section in pH6 citrate buffer for 20 min and allow to cool prior to testing.
Immunofluorescent staining of FFPE human U-2 OS cells with COPE antibody (green) at 2ug/ml and DAPI nuclear stain (blue). HIER: steam section in pH6 citrate buffer for 20 min.
Flow cytometry testing of fixed and permeabilized human HepG2 cells with COPE antibody at 1ug/million cells (blocked with goat sera); Red=cells alone, Green=isotype control, Blue= COPE antibody.
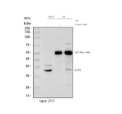
Western blot testing of human 1) HeLa, 2) human MCF7, 3) human 293T and 4) human PC-3 cell lysate with COPE antibody at 0.5ug/ml. Predicted molecular weight ~34 kDa.
Immunoprecipitation of COPE protein from 500ug of human 293T whole cell lysate with 2ug of COPE antibody.
Availability 1-3 business days
Species Reactivity Human, Mouse, Rat
Format Antigen affinity purified
Host Rabbit
Clonality Polyclonal (rabbit origin)
Isotype Rabbit IgG
Purity Antigen affinity
Buffer Lyophilized from 1X PBS with 2% Trehalose and 0.025% sodium azide
UniProt O14579
Localization Cytoplasmic
Applications Western Blot : 0.5-1ug/ml
Immunohistochemistry (FFPE) : 2-5ug/ml
Immunofluorescence (FFPE) : 5ug/ml
Flow Cytometry : 1-3ug/million cells
Immunoprecipitation : 2ug per 500ug of lysate
Limitations This COPE antibody is available for research use only.
Review this product on BioCompare and get a $20 Amazon gift card

Related Products

Description

COPE antibody is a valuable reagent for studying intracellular trafficking, vesicle formation, and protein transport. The encoded protein, coatomer subunit epsilon, is a component of the coatomer complex (COPI), a cytosolic protein complex that mediates retrograde transport from the Golgi apparatus back to the endoplasmic reticulum (ER). COPI-coated vesicles are essential for recycling resident ER proteins, maintaining Golgi structure, and regulating lipid and protein sorting. As part of this machinery, COPE ensures the fidelity of intracellular trafficking pathways that sustain cell organization and function.

The coatomer complex consists of seven subunits (alpha, beta, beta', gamma, delta, epsilon, and zeta), which assemble onto Golgi membranes to form the vesicle coat. COPE plays a structural and regulatory role within this complex, interacting with other subunits to stabilize coat formation. By participating in retrograde transport, COPE helps maintain the balance of secretory and biosynthetic pathways, ensuring that proteins are delivered to their correct compartments and that membrane composition remains stable.

Research has shown that disruption of COPE or other coatomer subunits leads to defects in vesicle trafficking, abnormal Golgi morphology, and impaired protein processing. These defects can interfere with secretion, membrane receptor recycling, and ER homeostasis. Because of its role in these fundamental processes, COPE is of interest in studies of cell biology, virology, and diseases linked to trafficking dysfunction.

Certain pathogens exploit the COPI complex for their own replication cycles, making COPE a point of interest in infectious disease research. Additionally, dysfunction of coatomer components has been associated with congenital disorders of glycosylation and neurodegenerative diseases, further emphasizing the importance of COPE in cellular physiology. Its activity supports not only basic transport but also signaling and stress response pathways linked to the ER and Golgi apparatus.

The COPE antibody is commonly applied in western blotting, immunohistochemistry, immunofluorescence, and flow cytometry to evaluate protein expression, localization, and regulation. These applications allow scientists to investigate vesicle dynamics, Golgi-ER transport, and changes in protein trafficking under disease conditions. For researchers studying intracellular transport, secretory pathways, or organelle biology, the COPE antibody provides a reliable and specific detection tool. NSJ Bioreagents supplies validated antibodies that deliver reproducibility and accuracy in advanced molecular research.

Application Notes

Optimal dilution of the COPE antibody should be determined by the researcher.

Immunogen

A recombinant human protein corresponding to amino acids E80-A308 was used as the immunogen for the COPE antibody.

Storage

After reconstitution, the COPE antibody can be stored for up to one month at 4oC. For long-term, aliquot and store at -20oC. Avoid repeated freezing and thawing.

Cross
Bulk Quote Request Form
Name*:
Organization*:
Email*:
Phone Number*:
Catalog No.*:
Comments and Specifics(amount, formulation, etc.)*:
Validation code: Captchapackage Image


Can't read the image? click here to refresh.
    *required field

Your bulk quote request has been submitted successfully!

Please contact us if you have any questions.