• Tel: 858.663.9055
  • SeparatorEmail: info@nsjbio.com
  • Tel: 858.663.9055
  • Email: info@nsjbio.com
Home >> Antibodies >> Connexin 43 Antibody / GJA1

Connexin 43 Antibody / GJA1 (RQ5532)

  Catalog No Formulation Size Price (USD)  
Image RQ5532 0.5mg/ml if reconstituted with 0.2ml sterile DI water 100 ug 449
Bulk quote request
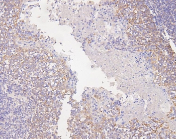
Immunohistochemical staining of FFPE human cervical cancer tissue using Connexin 43 antibody. Staining is observed in tumor epithelial cells. Visualization was performed with an HRP-conjugated secondary antibody and DAB substrate, with hematoxylin counterstaining. Heat-induced epitope retrieval was performed using EDTA buffer (pH 8.0).
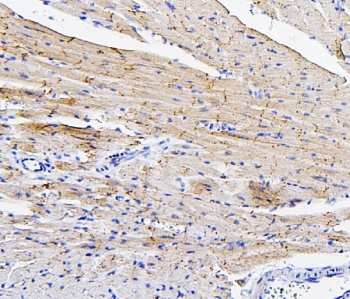
Immunohistochemical staining of FFPE mouse heart tissue with Connexin 43 antibody, HRP-secondary and DAB substrate. HIER: boil tissue sections in pH8 EDTA for 20 min and allow to cool before testing.
Immunohistochemical staining of FFPE rat heart tissue with Connexin 43 antibody, HRP-secondary and DAB substrate. HIER: boil tissue sections in pH8 EDTA for 20 min and allow to cool before testing.
Immunohistochemical staining of FFPE rat heart tissue with Connexin 43 antibody, HRP-secondary and DAB substrate. HIER: boil tissue sections in pH8 EDTA for 20 min and allow to cool before testing.
Western blot analysis using Connexin 43 antibody. Lane 1: human 293T whole cell lysates; Lane 2: human U251 whole cell lysates; Lane 3: human A549 whole cell lysates; Lane 4: rat heart tissue lysates; Lane 5: rat brain tissue lysates; Lane 6: mouse heart tissue lysates; Lane 7: mouse brain tissue lysates. The predicted molecular weight of Connexin 43 (GJA1) is ~41-43 kDa, and bands are observed at the expected size, with higher expression in heart and brain tissues.
Availability 1-3 business days
Species Reactivity Human, Mouse, Rat
Format Antigen affinity purified
Host Rabbit
Clonality Polyclonal (rabbit origin)
Isotype Rabbit IgG
Purity Affinity purified
Buffer Lyophilized from 1X PBS with 2% Trehalose
UniProt P17302
Applications Western Blot : 0.5-1ug/ml
Immunohistochemistry (FFPE) : 2-5ug/ml
Direct ELISA : 0.1-0.5ug/ml
Limitations This Connexin 43 antibody is available for research use only.
Review this product on BioCompare and get a $20 Amazon gift card

Related Products

  • Applications : WB, IHC-P, IF
    Reactivity : Human, Mouse, Rat
  • Applications : WB, IHC-P, IHC-F
    Reactivity : Human (1), Mouse, Rat
  • Applications : WB, IHC, ELISA
    Reactivity : Human, Mouse, Rat
    Pred. Reactivity : Bovine, Xenopus
  • Applications : WB, ELISA (peptide)
    Reactivity : Human, Rat
    Pred. Reactivity : Dog, Pig

Description

Connexin 43 antibody targets Connexin 43, encoded by the GJA1 gene. Connexin 43 is a member of the connexin family of gap junction proteins that mediate direct intercellular communication by forming gap junction channels between adjacent cells. These channels allow the passage of small molecules and ions, supporting coordinated cellular activity within tissues. Connexin 43 is a transmembrane protein that assembles into hexameric hemichannels, known as connexons, which dock with connexons on neighboring cells to form functional gap junctions at the plasma membrane.

Functionally, Connexin 43 plays a central role in regulating cell-cell communication, tissue homeostasis, and coordinated physiological responses. Through gap junction signaling, Connexin 43 enables the spread of electrical impulses, metabolic signals, and second messengers between cells. This function is particularly critical in electrically excitable tissues, such as the heart, where Connexin 43 supports synchronized cardiac muscle contraction. A Connexin 43 antibody supports studies focused on intercellular communication and gap junction biology.

GJA1 is widely expressed across many tissues, with especially high expression in heart, brain, and epithelial tissues. In the heart, Connexin 43 is the predominant gap junction protein in ventricular cardiomyocytes, where it localizes to intercalated discs. In the central nervous system, Connexin 43 is highly expressed in astrocytes and other glial cells, contributing to glial network communication and metabolic support of neurons. Connexin 43 expression is dynamically regulated during development, tissue remodeling, and in response to cellular stress.

From a disease-relevance perspective, altered Connexin 43 expression or function has been linked to a wide range of pathological conditions. In the cardiovascular system, disrupted Connexin 43 distribution or phosphorylation has been associated with arrhythmias and cardiac conduction abnormalities. Connexin 43 has also been implicated in cancer biology, where changes in gap junction communication can influence tumor progression, invasion, and cellular differentiation. Additionally, GJA1 mutations are associated with inherited developmental disorders affecting skeletal, cardiac, and craniofacial development.

At the molecular level, Connexin 43 has a predicted molecular weight of approximately 41 to 43 kDa, though multiple phosphorylated forms can be detected by western blotting, resulting in closely spaced bands or band broadening. The protein contains four transmembrane domains, two extracellular loops, and cytoplasmic N- and C-terminal regions that regulate channel assembly, gating, and turnover. Post-translational modifications, particularly phosphorylation of the C-terminal domain, play a major role in controlling Connexin 43 localization and function. A Connexin 43 antibody supports research applications focused on gap junction signaling, tissue physiology, and disease-associated changes in intercellular communication, with NSJ Bioreagents providing reagents intended for research use.

Application Notes

Optimal dilution of the Connexin 43 antibody should be determined by the researcher.

Immunogen

A human recombinant protein (amino acids D3-R362) was used as the immunogen for the Connexin 43 antibody.

Storage

After reconstitution, the Connexin 43 antibody can be stored for up to one month at 4oC. For long-term, aliquot and store at -20oC. Avoid repeated freezing and thawing.

Cross
Bulk Quote Request Form
Name*:
Organization*:
Email*:
Phone Number*:
Catalog No.*:
Comments and Specifics(amount, formulation, etc.)*:
Validation code: Captchapackage Image


Can't read the image? click here to refresh.
    *required field

Your bulk quote request has been submitted successfully!

Please contact us if you have any questions.